Department of Rheumatology and Immunology, The First Affiliated Hospital of Anhui Medical University, Hefei, China.
Division of Rheumatology/Allergy and Clinical Immunology, University of California, Davis, Davis, CA, United States.
Front Immunol. 2021 Jun 7;12:684699. doi: 10.3389/fimmu.2021.684699. eCollection 2021.
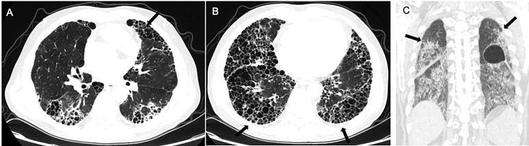
Connective tissue disease (CTD) related interstitial lung disease (CTD-ILD) is one of the leading causes of morbidity and mortality of CTD. Clinically, CTD-ILD is highly heterogenous and involves rheumatic immunity and multiple manifestations of respiratory complications affecting the airways, vessels, lung parenchyma, pleura, and respiratory muscles. The major pathological features of CTD are chronic inflammation of blood vessels and connective tissues, which can affect any organ leading to multi-system damage. The human lung is particularly vulnerable to such damage because anatomically it is abundant with collagen and blood vessels. The complex etiology of CTD-ILD includes genetic risks, epigenetic changes, and dysregulated immunity, which interact leading to disease under various ill-defined environmental triggers. CTD-ILD exhibits a broad spectra of clinical manifestations: from asymptomatic to severe dyspnea; from single-organ respiratory system involvement to multi-organ involvement. The disease course is also featured by remissions and relapses. It can range from stability or slow progression over several years to rapid deterioration. It can also present clinically as highly progressive from the initial onset of disease. Currently, the diagnosis of CTD-ILD is primarily based on distinct pathology subtype(s), imaging, as well as related CTD and autoantibodies profiles. Meticulous comprehensive clinical and laboratory assessment to improve the diagnostic process and management strategies are much needed. In this review, we focus on examining the pathogenesis of CTD-ILD with respect to genetics, environmental factors, and immunological factors. We also discuss the current state of knowledge and elaborate on the clinical characteristics of CTD-ILD, distinct pathohistological subtypes, imaging features, and related autoantibodies. Furthermore, we comment on the identification of high-risk patients and address how to stratify patients for precision medicine management approaches.
结缔组织病(CTD)相关间质性肺疾病(CTD-ILD)是 CTD 发病率和死亡率的主要原因之一。临床上,CTD-ILD 高度异质性,涉及风湿免疫和多种呼吸道并发症表现,影响气道、血管、肺实质、胸膜和呼吸肌。CTD 的主要病理特征是血管和结缔组织的慢性炎症,可影响任何导致多系统损伤的器官。由于解剖上富含胶原和血管,人类肺部特别容易受到这种损伤。CTD-ILD 的复杂病因包括遗传风险、表观遗传变化和失调的免疫,这些因素相互作用导致在各种定义不明确的环境触发因素下发生疾病。CTD-ILD 表现出广泛的临床表现:从无症状到严重呼吸困难;从单一器官呼吸系统受累到多器官受累。疾病过程还以缓解和复发为特征。它可以从数年的稳定或缓慢进展到快速恶化。它也可以从疾病的初始发作就表现为高度进展。目前,CTD-ILD 的诊断主要基于不同的病理亚型、影像学以及相关的 CTD 和自身抗体特征。需要进行细致的综合临床和实验室评估,以改善诊断过程和管理策略。在这篇综述中,我们重点研究了 CTD-ILD 的发病机制,包括遗传、环境和免疫因素。我们还讨论了目前的知识状况,并详细阐述了 CTD-ILD 的临床特征、不同的病理组织学亚型、影像学特征和相关自身抗体。此外,我们还评论了高危患者的识别,并讨论了如何对患者进行分层以采用精准医学管理方法。