Division of Fish Health, Department of Farm Animals and Veterinary Public Health, University of Veterinary Medicine, 1210 Vienna, Austria.
Int J Mol Sci. 2023 Dec 12;24(24):17392. doi: 10.3390/ijms242417392.
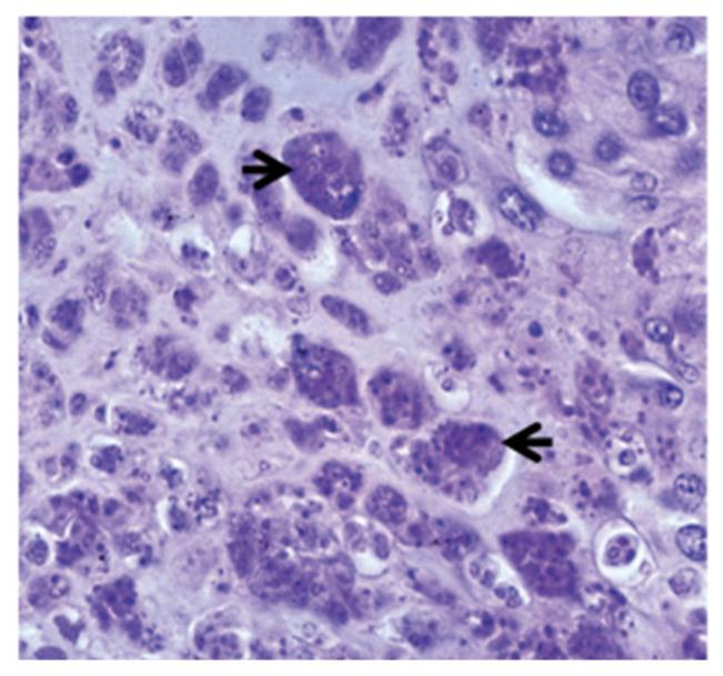
Salmonids are affected by the economically significant whirling disease (WD) caused by the myxozoan parasite . In the past, it was endemic to Eurasia, but it has now spread to different regions of North America, Europe, New Zealand, and South Africa. Among salmonids, rainbow trout is considered the most highly susceptible host. Upon entering to the host's body, the parasite invades the spine and cranium, resulting in whirling behaviour, a blackened tail, and destruction of cartilage. The disease is characterized by the infiltration of numerous inflammatory cells, primarily lymphocytes and macrophages, with the onset of fibrous tissue infiltration. Several efforts have been undertaken to investigate the role of various immune modulatory molecules and immune regulatory genes using advanced molecular methods including flow cytometry and transcriptional techniques. Investigation of the molecular and cellular responses, the role of STAT3 in Th17 cell differentiation, and the inhibitory actions of suppressors of cytokine signaling (SOCS) on interferons and interleukins, as well as the role of natural resistance-associated macrophage proteins (Nramp) in WD have significantly contributed to our understanding of the immune regulation mechanism in salmonids against . This review thoroughly highlights previous research and discusses potential future directions for understanding the molecular immune response of salmonids and the possible development of prophylactic approaches against WD.
鲑鱼受到经济上重要的旋毛虫病(WD)的影响,这种疾病是由粘孢子虫寄生虫引起的。过去,它在欧亚大陆流行,但现在已经传播到北美、欧洲、新西兰和南非的不同地区。在鲑鱼中,虹鳟被认为是最易感染的宿主。寄生虫进入宿主的身体后,会侵入脊柱和颅骨,导致旋转行为、尾巴变黑和软骨破坏。这种疾病的特征是大量炎症细胞的浸润,主要是淋巴细胞和巨噬细胞,伴随着纤维组织的浸润。已经采取了多种措施,利用流式细胞术和转录技术等先进的分子方法,研究各种免疫调节分子和免疫调节基因的作用。研究分子和细胞反应、STAT3 在 Th17 细胞分化中的作用、细胞因子信号转导抑制因子(SOCS)对干扰素和白细胞介素的抑制作用以及天然抗性相关巨噬细胞蛋白(Nramp)在 WD 中的作用,极大地促进了我们对鲑鱼免疫调节机制的理解。这篇综述全面地强调了以前的研究,并讨论了理解鲑鱼的分子免疫反应以及针对 WD 可能开发预防性方法的潜在未来方向。