Kocsis J, Karácsony G, Karcsú S, László F A
Br J Exp Pathol. 1987 Feb;68(1):35-43.
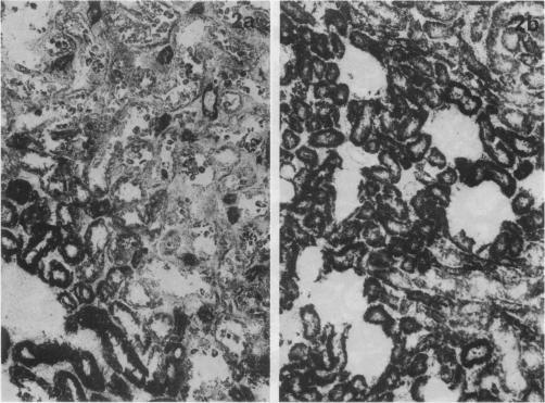
Renal cortical necrosis was induced by the administration of vasopressin to oestrogen-pretreated rats. Histochemical (succinic dehydrogenase, trichrome, perjod acid Schiff) and electronmicroscopic methods were applied to examine how the vasopressin antagonist d(CH2)5Tyr(Met)AVP influences the development of this renal cortical necrosis. The experiments revealed that vasopressin did not induce hypoxia or necrosis in the renal tubules if the antagonist was administered simultaneously, even after oestrogen pretreatment. The conclusion is drawn that this pressor antagonist may be of value for the prevention of renal cortical necrosis in rats or in human beings.