Suppr超能文献

口腔罗萨伊-多夫曼病

Rosai-Dorfman disease of the oral cavity.

作者信息

Charfeddine Abir, Omami Mounir, Garma Marwa, Bellalah Ahlem, Sioud Sameh, Selmi Jamil

机构信息

University Clinic of Dental Medicine, Oral Surgery Department, Oral Medicine, Monastir, Tunisia.

University of Monastir, Faculty of Dental Medicine, Oral Health and Oro-Facial Rehabilitation Laboratory, Monastir, Tunisia.

出版信息

Autops Case Rep. 2023 Dec 5;13:e2023463. doi: 10.4322/acr.2023.463. eCollection 2023.

Abstract

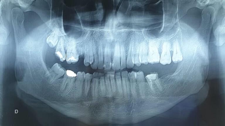
First described by J Rosai and R F Dorfman in 1969, Rosai-Dorfman disease (RDD) is a benign, self-limiting histiocytosis of unknown etiology. It is usually seen in the first two decades of life. The most frequent clinical presentation is painless, bilateral cervical lymphadenopathy accompanied by fever, weight loss, and an elevated ESR. However, RDD without nodal involvement is extremely rare, and the most common extranodal location is the head and neck region, mainly affecting the nasal cavity, pharynx, and paranasal sinuses. Oral location of RDD is occasional; according to our knowledge, only 17 cases of oral Rosai-Dorfman disease without lymph node involvement have been found in the literature. Because of the rarity of these isolated oral presentations, the clinical and radiological aspects need to be more studied. This article aims to present a rare case of oral Rosai-Dorfman disease without nodal involvement, detail the clinical and radiological signs, and the treatment strategy used in our patient.

摘要

罗萨伊-多夫曼病(RDD)于1969年由J·罗萨伊和R·F·多夫曼首次描述,是一种病因不明的良性、自限性组织细胞增多症。它通常见于生命的前二十年。最常见的临床表现是无痛性双侧颈部淋巴结病,伴有发热、体重减轻和血沉升高。然而,无淋巴结受累的RDD极为罕见,最常见的结外部位是头颈部区域,主要累及鼻腔、咽部和鼻窦。RDD发生于口腔的情况较为少见;据我们所知,文献中仅发现17例无淋巴结受累的口腔罗萨伊-多夫曼病病例。由于这些孤立的口腔表现罕见,其临床和影像学方面需要更多研究。本文旨在介绍1例罕见的无淋巴结受累的口腔罗萨伊-多夫曼病病例,详述其临床和影像学表现以及我们对该患者采用的治疗策略。

https://cdn.ncbi.nlm.nih.gov/pmc/blobs/c30f/10750829/4cdcfa4db270/autopsy-13-e2023463-g01.jpg

文献AI研究员

20分钟写一篇综述,助力文献阅读效率提升50倍。

立即体验

用中文搜PubMed

大模型驱动的PubMed中文搜索引擎

马上搜索

文档翻译

学术文献翻译模型,支持多种主流文档格式。

立即体验