Suppr超能文献

穹窿高剂量照射导致间变性少突胶质细胞瘤患者出现症状性放射性坏死。

High Radiation Dose to the Fornix Causes Symptomatic Radiation Necrosis in Patients with Anaplastic Oligodendroglioma.

机构信息

Department of Radiation Oncology, Yonsei Cancer Center, Yonsei University College of Medicine, Seoul, Korea.

Department of Radiation Oncology, Nowon Eulji Medical Center, Eulji University School of Medicine, Seoul, Korea.

出版信息

Yonsei Med J. 2024 Jan;65(1):1-9. doi: 10.3349/ymj.2023.0112.

Abstract

PURPOSE

Surgery, radiotherapy (RT), and chemotherapy have prolonged the survival of patients with anaplastic oligodendroglioma. However, whether RT induces long-term toxicity remains unknown. We analyzed the relationship between the RT dose to the fornix and symptomatic radiation necrosis (SRN).

MATERIALS AND METHODS

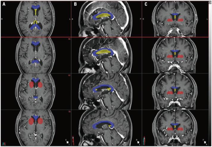
A total of 67 patients treated between 2009 and 2019 were analyzed. SRN was defined according to the following three criteria: 1) radiographic findings, 2) symptoms attributable to the lesion, and 3) treatment resulting in symptom improvement. Various contours, including the fornix, were delineated. Univariate and multivariate analyses of the relationship between RT dose and SRN, as well as receiver operating characteristic curve analysis for cut-off values, were performed.

RESULTS

The most common location was the frontal lobe (n=40, 60%). Gross total resection was performed in 38 patients (57%), and 42 patients (63%) received procarbazine, lomustine, and vincristine chemotherapy. With a median follow-up of 42 months, the median overall and progression-free survival was 74 months. Sixteen patients (24%) developed SRN. In multivariate analysis, age and maximum dose to the fornix were associated with the development of SRN. The cut-off values for the maximum dose to the fornix and age were 59 Gy (equivalent dose delivered in 2 Gy fractions) and 46 years, respectively. The rate of SRN was higher in patients whose maximum dose to the fornix was >59 Gy (13% vs. 43%, =0.005).

CONCLUSION

The maximum dose to the fornix was a significant factor for SRN development. While fornix sparing may help maintain neurocognitive function, additional studies are needed.

摘要

目的

手术、放疗(RT)和化疗延长了间变性少突胶质细胞瘤患者的生存期。然而,RT 是否会引起长期毒性仍不清楚。我们分析了穹窿 RT 剂量与症状性放射性坏死(SRN)之间的关系。

材料与方法

分析了 2009 年至 2019 年间治疗的 67 例患者。根据以下三个标准定义 SRN:1)影像学发现,2)归因于病变的症状,3)治疗导致症状改善。对包括穹窿在内的各种轮廓进行了描绘。进行了 RT 剂量与 SRN 之间的单变量和多变量分析,以及截断值的受试者工作特征曲线分析。

结果

最常见的部位是额叶(n=40,60%)。38 例患者(57%)行大体全切除,42 例患者(63%)接受洛莫司汀、丙卡巴肼和长春新碱化疗。中位随访 42 个月,中位总生存期和无进展生存期为 74 个月。16 例患者(24%)发生 SRN。多变量分析显示,年龄和穹窿最大剂量与 SRN 的发生有关。穹窿最大剂量和年龄的截断值分别为 59 Gy(2 Gy 剂量等效)和 46 岁。穹窿最大剂量>59 Gy 的患者 SRN 发生率较高(13%比 43%,=0.005)。

结论

穹窿最大剂量是 SRN 发生的重要因素。虽然穹窿保留可能有助于维持神经认知功能,但仍需要进一步研究。

https://cdn.ncbi.nlm.nih.gov/pmc/blobs/68c7/10774647/29bd96820054/ymj-65-1-g001.jpg

文献AI研究员

20分钟写一篇综述,助力文献阅读效率提升50倍。

立即体验

用中文搜PubMed

大模型驱动的PubMed中文搜索引擎

马上搜索

文档翻译

学术文献翻译模型,支持多种主流文档格式。

立即体验