Suppr超能文献

白塞病继发淀粉样变甲状腺肿:一例报告及文献复习

Amyloid Goiter Secondary to Behcet's Disease: A Case Report and Literature Review.

作者信息

Khader Abdellatif, Abed Rajaa N, Rabee Aysha R, Ayasa Laith A, Khrishi Rose H, Judeh Khaled A, Janazreh Mohammad J, Ibrahim Dima O

机构信息

General Surgery, Palestine Medical Complex, Ramallah, PSE.

Internal Medicine, Al-Quds University, Jerusalem, PSE.

出版信息

Cureus. 2023 Nov 29;15(11):e49650. doi: 10.7759/cureus.49650. eCollection 2023 Nov.

Abstract

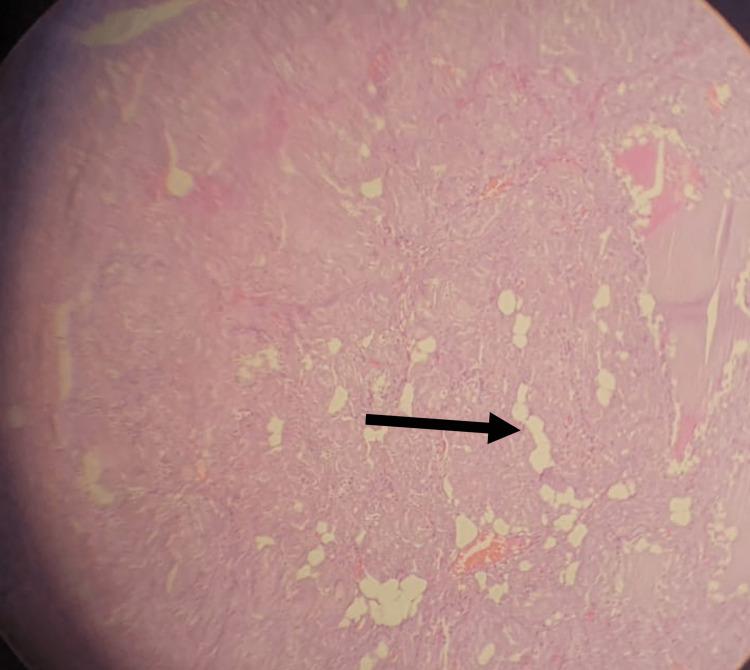
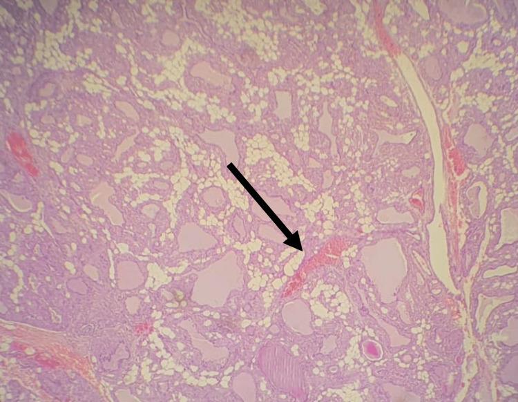
Amyloid deposition in the thyroid gland is a common presentation, yet amyloid goiter remains relatively rare. Proper differentiation of this condition from other goiter types and malignancies is essential. Although amyloid extensively invades the thyroid gland, patients are usually euthyroid, and many different presentations may occur. We report a case of a 42-year-old male patient who was diagnosed with secondary amyloidosis due to Behcet's disease. He presented with clinical manifestations of hyperthyroidism and systemic amyloidosis complicated by chronic kidney disease, which is the first case of such an entity to be reported in Palestine.

摘要

甲状腺中的淀粉样沉积是一种常见表现,但淀粉样甲状腺肿仍然相对罕见。将这种情况与其他类型的甲状腺肿和恶性肿瘤进行正确区分至关重要。尽管淀粉样物质广泛侵犯甲状腺,但患者通常甲状腺功能正常,并且可能出现许多不同的表现。我们报告一例42岁男性患者,其因白塞病被诊断为继发性淀粉样变性。他表现为甲状腺功能亢进和系统性淀粉样变性的临床表现,并伴有慢性肾病,这是巴勒斯坦报道的首例此类病例。

https://cdn.ncbi.nlm.nih.gov/pmc/blobs/c0ef/10756166/a854c1a3c88f/cureus-0015-00000049650-i01.jpg

文献AI研究员

20分钟写一篇综述,助力文献阅读效率提升50倍。

立即体验

用中文搜PubMed

大模型驱动的PubMed中文搜索引擎

马上搜索

文档翻译

学术文献翻译模型,支持多种主流文档格式。

立即体验