Suppr超能文献

慢性嗜酸性粒细胞性肺炎:一名有特应性家族史女性患者反复出现胸部感染的解析

Chronic Eosinophilic Pneumonia: Unraveling Recurrent Chest Infections in a Female Patient With a Family History of Atopy.

作者信息

Aslam Zaheer, Chowdhary Omer, Zhou Yuhui, Razik Anjana, Negmeldin Mostafa

机构信息

Respiratory Medicine, Bedfordshire Hospitals NHS Foundation Trust, Bedford, GBR.

General/Internal Medicine, Luton and Dunstable University Hospital, NHS Foundation Trust, Luton, GBR.

出版信息

Cureus. 2023 Nov 30;15(11):e49743. doi: 10.7759/cureus.49743. eCollection 2023 Nov.

Abstract

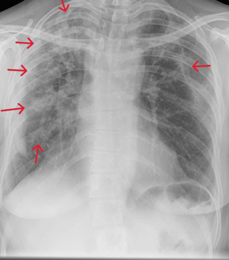
Eosinophilic pneumonia is a rare condition characterized by the infiltration of eosinophils in the lungs. We present a case of eosinophilic pneumonia in a 51-year-old British Caucasian female with a history of lichen sclerosus, deranged liver function tests, and a family history of atopy. The patient presented with fever, shortness of breath, lethargy, dry cough, and weight loss over a three-month period. Initial treatment with antibiotics did not yield improvement, and further investigations revealed marked eosinophilia on blood count. Bronchoscopy and biopsies confirmed the diagnosis of eosinophilic pneumonia, and the patient responded well to a tapering dose of prednisolone. This study highlights the importance of considering eosinophilic pneumonia in patients with unexplained respiratory symptoms and eosinophilia and emphasizes the role of bronchoscopy in establishing a definitive diagnosis.

摘要

嗜酸性粒细胞性肺炎是一种罕见疾病,其特征为嗜酸性粒细胞在肺部浸润。我们报告一例51岁英国白种女性嗜酸性粒细胞性肺炎病例,该患者有硬化性苔藓病史、肝功能检查异常以及特应性家族史。患者在三个月内出现发热、气短、乏力、干咳和体重减轻。最初使用抗生素治疗未见改善,进一步检查发现血常规显示明显嗜酸性粒细胞增多。支气管镜检查和活检确诊为嗜酸性粒细胞性肺炎,患者对逐渐减量的泼尼松龙治疗反应良好。本研究强调了在有不明原因呼吸道症状和嗜酸性粒细胞增多的患者中考虑嗜酸性粒细胞性肺炎的重要性,并强调了支气管镜检查在确立明确诊断中的作用。

https://cdn.ncbi.nlm.nih.gov/pmc/blobs/c80b/10757597/571a2cee5461/cureus-0015-00000049743-i01.jpg

文献AI研究员

20分钟写一篇综述,助力文献阅读效率提升50倍。

立即体验

用中文搜PubMed

大模型驱动的PubMed中文搜索引擎

马上搜索

文档翻译

学术文献翻译模型,支持多种主流文档格式。

立即体验