Suppr超能文献

对于可能需要中心静脉通路端口的患者,起搏器导线可能是问题的一个潜在来源。

Pacemaker leads as a potential source of problems in patients who might need a central venous access port.

作者信息

Czajkowski Marek, Polewczyk Anna, Jacheć Wojciech, Nowosielecka Dorota, Tułecki Łukasz, Stefańczyk Paweł, Kutarski Andrzej

机构信息

Department of Cardiac Surgery, Medical University of Lublin, Lublin, Poland.

Department of Physiology, Pathophysiology and Clinical Immunology, Institute of Medical Sciences, Jan Kochanowski University, Kielce, Poland.

出版信息

Cardiovasc Diagn Ther. 2023 Dec 15;13(6):1068-1079. doi: 10.21037/cdt-23-104. Epub 2023 Oct 27.

Abstract

BACKGROUND

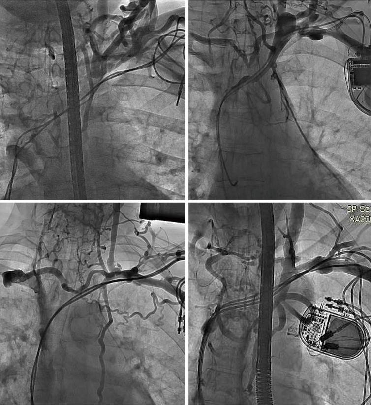
Lead-dependent venous occlusion may impede the insertion of a central venous access device (CVAD). The aim of this retrospective, cohort study was to assess the chance of implantation of CVAD in patients with cardiac implantable electronic devices (CIEDs).

METHODS

We reviewed and analyzed 3,075 venograms of patients with CIEDs undergoing transvenous lead extraction (TLE) between June 2008 and July 2021. Relationship between venous patency and the chance of CVAD placement was estimated.

RESULTS

In 2,318 (75.38%) patients, venography showed no potential obstacles to venous port implantation on the ipsilateral side. In patients with leads on the left side, significant narrowing more often affected the subclavian vein than the brachiocephalic vein [1,595 (55.29%) 830 (28.63%), respectively] or the superior vena cava (SVC) [21 (0.73%) cases]. Furthermore, the subclavian and brachiocephalic veins on the opposite side were also narrowed [35 (2.35%) and 27 (1.24%), respectively]. The chances of port insertion were assessed as easy on CIED side or opposite side in 2,318 (75.38%) and 2,291 (97.91%) patients, respectively), as difficult insertion/questionable performance in 246 (8.00%) and 22 (0.94% patients) and doubtful or impossible insertion/questionable performance in 511 (16.62%)/27 (1.15%) patients with CIED.

CONCLUSIONS

(I) Varying degrees of lead-dependent venous obstruction (LDVO) is a frequent finding in patients with CIEDs; (II) the major thoracic veins on the opposite side of the chest may also be significantly narrowed; (III) venography should be considered before attempted CVAD insertion in patients with long lead dwell times or in patients after CIED removal, including planned contralateral port placement.

摘要

背景

铅依赖性静脉闭塞可能会妨碍中心静脉通路装置(CVAD)的置入。这项回顾性队列研究的目的是评估心脏植入式电子设备(CIED)患者植入CVAD的可能性。

方法

我们回顾并分析了2008年6月至2021年7月期间接受经静脉导线拔除(TLE)的CIED患者的3075份静脉造影图像。评估了静脉通畅情况与CVAD置入可能性之间的关系。

结果

在2318例(75.38%)患者中,静脉造影显示同侧静脉端口植入无潜在障碍。在左侧有导线的患者中,锁骨下静脉比头臂静脉[分别为1595例(55.29%)和830例(28.63%)]或上腔静脉(SVC)[21例(0.73%)]更常出现明显狭窄。此外,对侧的锁骨下静脉和头臂静脉也变窄了[分别为35例(2.35%)和27例(1.24%)]。在2318例(75.38%)和2291例(97.91%)患者中,分别评估在CIED侧或对侧进行端口插入的可能性为容易,在246例(8.00%)和22例(0.94%)患者中为插入困难/操作可疑,在511例(16.62%)/27例(1.15%)CIED患者中为可疑或无法插入/操作可疑。

结论

(I)不同程度的铅依赖性静脉阻塞(LDVO)在CIED患者中很常见;(II)胸部对侧的主要胸段静脉也可能明显变窄;(III)对于导线留置时间长的患者或CIED移除后的患者,包括计划进行对侧端口置入的患者,在尝试置入CVAD之前应考虑进行静脉造影。

https://cdn.ncbi.nlm.nih.gov/pmc/blobs/7859/10753236/faabf6614749/cdt-13-06-1068-f1.jpg

相似文献

1
Pacemaker leads as a potential source of problems in patients who might need a central venous access port.
Cardiovasc Diagn Ther. 2023 Dec 15;13(6):1068-1079. doi: 10.21037/cdt-23-104. Epub 2023 Oct 27.
2
Severity and Extent of Lead-Related Venous Obstruction in More Than 3000 Patients Undergoing Transvenous Lead Extraction.
Vasc Health Risk Manag. 2022 Aug 17;18:629-642. doi: 10.2147/VHRM.S369342. eCollection 2022.
3
Incidence of central vein stenosis and occlusion following upper extremity PICC and port placement.
Cardiovasc Intervent Radiol. 2003 Mar-Apr;26(2):123-7. doi: 10.1007/s00270-002-2628-z. Epub 2003 Mar 6.
6
How does a CIED presence influence chances and safety of haemodialysis access? Conclusions from over 3000 thoracic venografies.
Clin Physiol Funct Imaging. 2023 Jan;43(1):47-57. doi: 10.1111/cpf.12792. Epub 2022 Oct 28.
8
Types of left brachiocephalic vein aberrations detected during cardiac implantable electronic device implantation procedures.
Folia Morphol (Warsz). 2021;80(2):317-323. doi: 10.5603/FM.a2020.0069. Epub 2020 Jul 8.

本文引用的文献

1
How does a CIED presence influence chances and safety of haemodialysis access? Conclusions from over 3000 thoracic venografies.
Clin Physiol Funct Imaging. 2023 Jan;43(1):47-57. doi: 10.1111/cpf.12792. Epub 2022 Oct 28.
3
Shanghai expert consensus on totally implantable access ports 2019.
J Interv Med. 2019 Nov 2;2(4):141-145. doi: 10.1016/j.jimed.2019.10.008. eCollection 2019 Nov.
4
Risk factors for unsuccessful removal of central venous access ports implanted in the forearm of adult oncologic patients.
Jpn J Radiol. 2022 Apr;40(4):412-418. doi: 10.1007/s11604-021-01214-5. Epub 2021 Nov 15.
6
Risk factors assessment for radiographically guided port implantations with forearm access.
PLoS One. 2021 Oct 26;16(10):e0259127. doi: 10.1371/journal.pone.0259127. eCollection 2021.
7
The Influence of Lead-Related Venous Obstruction on the Complexity and Outcomes of Transvenous Lead Extraction.
Int J Environ Res Public Health. 2021 Sep 13;18(18):9634. doi: 10.3390/ijerph18189634.
10
Ultrasound guidance for Port-A-Cath insertion in children; a comparative study.
Int J Pediatr Adolesc Med. 2021 Sep;8(3):181-185. doi: 10.1016/j.ijpam.2020.08.002. Epub 2020 Aug 26.

文献AI研究员

20分钟写一篇综述,助力文献阅读效率提升50倍。

立即体验

用中文搜PubMed

大模型驱动的PubMed中文搜索引擎

马上搜索

文档翻译

学术文献翻译模型,支持多种主流文档格式。

立即体验