Suppr超能文献

局部注射英夫利昔单抗治疗幼年皮肌炎患者的钙质沉着症:一项临床试验。

Local injection of infliximab into calcinosis lesions in patients with juvenile dermatomyositis (JDM): a clinical trial.

机构信息

Research Institute for Children's Health, Shahid Beheshti University of Medical Sciences, Tehran, Iran.

Dental Sciences Research Center, Department of Oral and Maxillofacial Medicine, School of Dentistry, Guilan University of Medical Sciences, Rasht, Iran.

出版信息

Pediatr Rheumatol Online J. 2024 Jan 2;22(1):2. doi: 10.1186/s12969-023-00941-5.

Abstract

BACKGROUND

Juvenile Dermatomyositis (JDM) is a rare autoimmune disorder that primarily affects muscles and skin. One of the severe complications associated with JDM is calcinosis, and treating this condition presents significant challenges. This study aimed to evaluate the efficacy and safety of local injection of infliximab into calcinosis lesions in patients with JDM.

METHODS

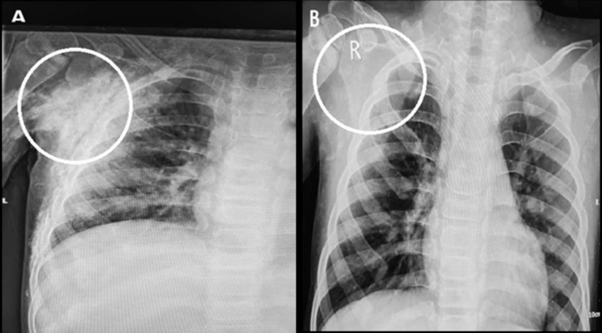
In this clinical trial, five patients diagnosed with JDM and calcinosis lesions were enrolled. The primary treatment consisted of weekly infliximab injections for 16 weeks, targeting all four sides of each lesion. Lesion dimensions, including length and width, were documented and monitored weekly. Before the intervention, patients underwent radiographic imaging. After the final injection in week 16, a follow-up radiographic assessment was performed. Data were analyzed using the Generalized Estimating Equation (GEE) method.

RESULTS

The lesions' size significantly decreased in both length and width during each visit. On average, the lesion length reduced by 2.66%, and the width shrank by 3.32% per visit. Based on radiographic findings, the average length and width of lesions at the initial visit were 12.09 ± 5.05 mm (range: 6.00-25.50 mm) and 6.35 ± 3.00 mm (range: 2.00-16.00 mm), respectively. The average length and width at the last visit were 5.59 ± 7.05 mm (range: 0-23.00 mm) and 3.41 ± 4.05 mm (range: 0-13.00 mm), respectively. No specific side effects related to the treatment were reported.

CONCLUSIONS

The results suggest that the direct administration of infliximab into the calcinosis lesions of patients with JDM could be a safe and effective treatment approach.

TRIAL REGISTRATION

Name of the registry: The effect of infliximab injection into calcinosis lesions on patients with juvenile dermatomyositis (JDM), Trial registration number: IRCT20210808052107N1, Registration date: 2022-07-22, URL of trial registry record: https://en.irct.ir/trial/58329 .

摘要

背景

幼年型皮肌炎(JDM)是一种罕见的自身免疫性疾病,主要影响肌肉和皮肤。JDM 相关的严重并发症之一是钙质沉着症,治疗这种疾病具有很大的挑战性。本研究旨在评估英夫利昔单抗局部注射治疗 JDM 患者钙质沉着症病变的疗效和安全性。

方法

在这项临床试验中,纳入了 5 名诊断为 JDM 合并钙质沉着症病变的患者。主要治疗方法为每周进行英夫利昔单抗注射,共 16 周,针对每个病变的四个面。每周记录并监测病变的尺寸,包括长度和宽度。在干预前,患者进行了影像学检查。在第 16 周最后一次注射后,进行了随访的影像学评估。使用广义估计方程(GEE)方法分析数据。

结果

每个就诊时,病变的长度和宽度均显著缩小。平均而言,病变长度每就诊缩小 2.66%,宽度每就诊缩小 3.32%。根据影像学结果,初始就诊时病变的平均长度和宽度分别为 12.09 ± 5.05mm(范围:6.00-25.50mm)和 6.35 ± 3.00mm(范围:2.00-16.00mm)。最后一次就诊时的平均长度和宽度分别为 5.59 ± 7.05mm(范围:0-23.00mm)和 3.41 ± 4.05mm(范围:0-13.00mm)。未报告与治疗相关的特定不良反应。

结论

结果表明,将英夫利昔单抗直接注射到 JDM 患者的钙质沉着症病变中可能是一种安全有效的治疗方法。

试验注册

注册名称:英夫利昔单抗注射治疗幼年型皮肌炎患者钙质沉着症的疗效,试验注册编号:IRCT20210808052107N1,注册日期:2022 年 7 月 22 日,试验注册网址:https://en.irct.ir/trial/58329。

https://cdn.ncbi.nlm.nih.gov/pmc/blobs/2f31/10759742/024d199262c8/12969_2023_941_Fig1_HTML.jpg

文献AI研究员

20分钟写一篇综述,助力文献阅读效率提升50倍。

立即体验

用中文搜PubMed

大模型驱动的PubMed中文搜索引擎

马上搜索

文档翻译

学术文献翻译模型,支持多种主流文档格式。

立即体验