Suppr超能文献

一种针对脂肪肥大和增生的纳米乳剂在雌性小鼠中显示出抗肥胖功效。

A nanoemulsion targeting adipose hypertrophy and hyperplasia shows anti-obesity efficiency in female mice.

机构信息

College of Pharmaceutical Sciences, Zhejiang University, 866 Yuhangtang Road, Hangzhou, Zhejiang, 310058, PR China.

State Key Laboratory for Diagnosis and Treatment of Infectious Diseases, 79 Qingchun Road, Shangcheng District, Hangzhou, Zhejiang, 310006, PR China.

出版信息

Nat Commun. 2024 Jan 2;15(1):72. doi: 10.1038/s41467-023-44416-3.

Abstract

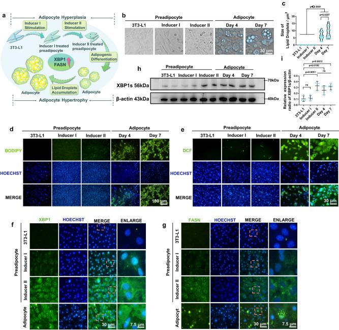
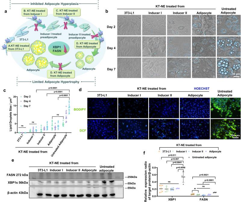
Obesity often leads to severe medical complications. However, existing FDA-approved medications to combat obesity have limited effectiveness in reducing adiposity and often cause side effects. These medications primarily act on the central nervous system or disrupt fat absorption through the gastrointestinal tract. Adipose tissue enlargement involves adipose hyperplasia and hypertrophy, both of which correlate with increased reactive oxygen species (ROS) and hyperactivated X-box binding protein 1 (XBP1) in (pre)adipocytes. In this study, we demonstrate that KT-NE, a nanoemulsion loaded with the XBP1 inhibitor KIRA6 and α-Tocopherol, simultaneously alleviates aberrant endoplasmic reticulum stress and oxidative stress in (pre)adipocytes. As a result, KT-NE significantly inhibits abnormal adipogenic differentiation, reduces lipid droplet accumulation, restricts lipid droplet transfer, impedes obesity progression, and lowers the risk of obesity-associated non-alcoholic fatty liver disease in female mice with obesity. Furthermore, diverse administration routes of KT-NE impact its in vivo biodistribution and contribute to localized and/or systemic anti-obesity effectiveness.

摘要

肥胖症常导致严重的医疗并发症。然而,现有的经美国食品和药物管理局批准用于治疗肥胖症的药物在减少脂肪堆积方面效果有限,且常伴有副作用。这些药物主要通过作用于中枢神经系统或通过胃肠道干扰脂肪吸收来发挥作用。脂肪组织的增大涉及脂肪细胞的增生和肥大,这两者都与(前)脂肪细胞中活性氧(ROS)和过度激活的 X 盒结合蛋白 1(XBP1)的增加有关。在这项研究中,我们证明了 KT-NE,一种负载 XBP1 抑制剂 KIRA6 和 α-生育酚的纳米乳液,同时缓解了(前)脂肪细胞中异常的内质网应激和氧化应激。结果,KT-NE 显著抑制异常的脂肪生成分化,减少脂滴积累,限制脂滴转移,阻止肥胖进展,并降低肥胖雌性小鼠患肥胖相关非酒精性脂肪性肝病的风险。此外,KT-NE 的不同给药途径影响其体内的生物分布,并有助于局部和/或全身的抗肥胖效果。

https://cdn.ncbi.nlm.nih.gov/pmc/blobs/9b6c/10761889/61a5f307f233/41467_2023_44416_Fig1_HTML.jpg

文献AI研究员

20分钟写一篇综述,助力文献阅读效率提升50倍。

立即体验

用中文搜PubMed

大模型驱动的PubMed中文搜索引擎

马上搜索

文档翻译

学术文献翻译模型,支持多种主流文档格式。

立即体验