• 文献检索
  • 文档翻译
  • 深度研究
  • 学术资讯
  • Suppr Zotero 插件Zotero 插件
  • 邀请有礼
  • 套餐&价格
  • 历史记录
应用&插件
Suppr Zotero 插件Zotero 插件浏览器插件Mac 客户端Windows 客户端微信小程序
定价
高级版会员购买积分包购买API积分包
服务
文献检索文档翻译深度研究API 文档MCP 服务
关于我们
关于 Suppr公司介绍联系我们用户协议隐私条款
关注我们

Suppr 超能文献

核心技术专利:CN118964589B侵权必究
粤ICP备2023148730 号-1Suppr @ 2026

文献检索

告别复杂PubMed语法,用中文像聊天一样搜索,搜遍4000万医学文献。AI智能推荐,让科研检索更轻松。

立即免费搜索

文件翻译

保留排版,准确专业,支持PDF/Word/PPT等文件格式,支持 12+语言互译。

免费翻译文档

深度研究

AI帮你快速写综述,25分钟生成高质量综述,智能提取关键信息,辅助科研写作。

立即免费体验

葡萄牙综合征性视网膜炎的遗传特征。

Genetic profile of syndromic retinitis pigmentosa in Portugal.

机构信息

Department of Ophthalmology, Centro Hospitalar e Universitário de Coimbra (CHUC), Coimbra, Portugal.

Instituto de Oftalmologia Dr. Gama Pinto (IOGP), Lisboa, Portugal.

出版信息

Graefes Arch Clin Exp Ophthalmol. 2024 Jun;262(6):1883-1897. doi: 10.1007/s00417-023-06360-2. Epub 2024 Jan 8.

DOI:10.1007/s00417-023-06360-2
PMID:38189974
原文链接:https://pmc.ncbi.nlm.nih.gov/articles/PMC11106148/
Abstract

PURPOSE

Retinitis pigmentosa (RP) comprises a genetically and clinically heterogeneous group of inherited retinal degenerations, where 20-30% of patients exhibit extra-ocular manifestations (syndromic RP). Understanding the genetic profile of RP has important implications for disease prognosis and genetic counseling. This study aimed to characterize the genetic profile of syndromic RP in Portugal.

METHODS

Multicenter, retrospective cohort study. Six Portuguese healthcare providers identified patients with a clinical diagnosis of syndromic RP and available genetic testing results. All patients had been previously subjected to a detailed ophthalmologic examination and clinically oriented genetic testing. Genetic variants were classified according to the American College of Medical Genetics and Genomics; only likely pathogenic or pathogenic variants were considered relevant for disease etiology.

RESULTS

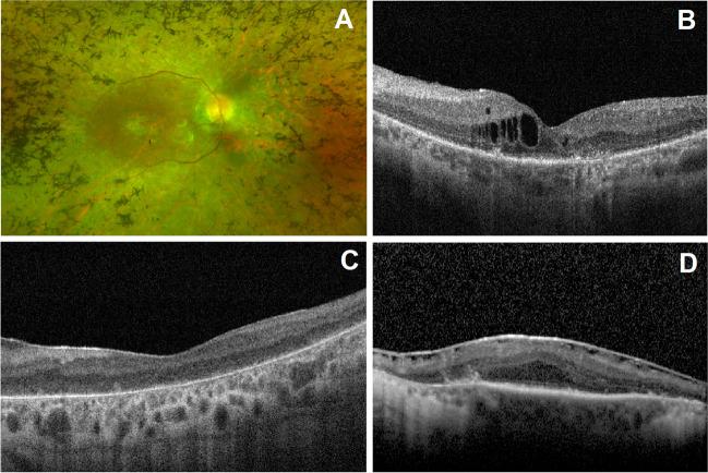
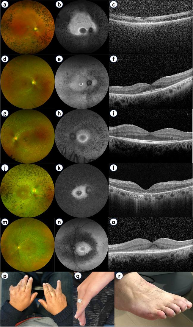
One hundred and twenty-two patients (53.3% males) from 100 families were included. Usher syndrome was the most frequent diagnosis (62.0%), followed by Bardet-Biedl (19.0%) and Senior-Løken syndromes (7.0%). Deleterious variants were identified in 86/100 families for a diagnostic yield of 86.0% (87.1% for Usher and 94.7% for Bardet-Biedl). A total of 81 genetic variants were identified in 25 different genes, 22 of which are novel. USH2A and MYO7A were responsible for most type II and type I Usher syndrome cases, respectively. BBS1 variants were the cause of Bardet-Biedl syndrome in 52.6% of families. Best-corrected visual acuity (BCVA) records were available at baseline and last visit for 99 patients (198 eyes), with a median follow-up of 62.0 months. The mean BCVA was 56.5 ETDRS letters at baseline (Snellen equivalent ~ 20/80), declining to 44.9 ETDRS letters (Snellen equivalent ~ 20/125) at the last available follow-up (p < 0.001).

CONCLUSION

This is the first multicenter study depicting the genetic profile of syndromic RP in Portugal, thus contributing toward a better understanding of this heterogeneous disease group. Usher and Bardet-Biedl syndromes were found to be the most common types of syndromic RP in this large Portuguese cohort. A high diagnostic yield was obtained, highlighting current genetic testing capabilities in providing a molecular diagnosis to most affected individuals. This has major implications in determining disease-related prognosis and providing targeted genetic counseling for syndromic RP patients in Portugal.

摘要

目的

色素性视网膜炎(RP)是一组具有遗传异质性的遗传性视网膜变性,其中 20-30%的患者存在眼外表现(综合征性 RP)。了解 RP 的遗传特征对疾病预后和遗传咨询具有重要意义。本研究旨在描述葡萄牙综合征性 RP 的遗传特征。

方法

多中心回顾性队列研究。六名葡萄牙医疗保健提供者鉴定了具有综合征性 RP 临床诊断和可用基因检测结果的患者。所有患者均接受了详细的眼科检查和临床导向的基因检测。根据美国医学遗传学与基因组学学院的标准对遗传变异进行分类;仅考虑可能致病或致病的变异与疾病病因有关。

结果

共纳入 100 个家庭的 122 名患者(53.3%为男性)。最常见的诊断是 Usher 综合征(62.0%),其次是 Bardet-Biedl 综合征(19.0%)和 Senior-Løken 综合征(7.0%)。在 100 个家庭中,有 86 个家庭发现了有害变异,诊断率为 86.0%(Usher 为 87.1%,Bardet-Biedl 为 94.7%)。在 25 个不同基因中发现了 81 个遗传变异,其中 22 个是新的。USH2A 和 MYO7A 分别导致大多数 II 型和 I 型 Usher 综合征病例。BBS1 变异是 Bardet-Biedl 综合征 52.6%家庭的病因。在 99 名患者(198 只眼)的基线和最后一次就诊时获得了最佳矫正视力(BCVA)记录,中位随访时间为 62.0 个月。基线时平均 BCVA 为 56.5 ETDRS 字母(Snellen 等效值约为 20/80),在最后一次可获得的随访时降至 44.9 ETDRS 字母(Snellen 等效值约为 20/125)(p<0.001)。

结论

这是葡萄牙首例多中心研究,描述了综合征性 RP 的遗传特征,从而更好地了解了这一异质性疾病群体。在这个大型葡萄牙队列中,Usher 和 Bardet-Biedl 综合征被发现是最常见的综合征性 RP 类型。获得了高的诊断率,突出了当前基因检测能力在为大多数受影响个体提供分子诊断方面的优势。这对确定疾病相关预后和为葡萄牙综合征性 RP 患者提供有针对性的遗传咨询具有重要意义。

https://cdn.ncbi.nlm.nih.gov/pmc/blobs/7373/11106148/58cebb09d769/417_2023_6360_Fig4_HTML.jpg
https://cdn.ncbi.nlm.nih.gov/pmc/blobs/7373/11106148/0b33dce990f6/417_2023_6360_Fig1_HTML.jpg
https://cdn.ncbi.nlm.nih.gov/pmc/blobs/7373/11106148/b5f183786a94/417_2023_6360_Fig2_HTML.jpg
https://cdn.ncbi.nlm.nih.gov/pmc/blobs/7373/11106148/725029fb788f/417_2023_6360_Fig3_HTML.jpg
https://cdn.ncbi.nlm.nih.gov/pmc/blobs/7373/11106148/58cebb09d769/417_2023_6360_Fig4_HTML.jpg
https://cdn.ncbi.nlm.nih.gov/pmc/blobs/7373/11106148/0b33dce990f6/417_2023_6360_Fig1_HTML.jpg
https://cdn.ncbi.nlm.nih.gov/pmc/blobs/7373/11106148/b5f183786a94/417_2023_6360_Fig2_HTML.jpg
https://cdn.ncbi.nlm.nih.gov/pmc/blobs/7373/11106148/725029fb788f/417_2023_6360_Fig3_HTML.jpg
https://cdn.ncbi.nlm.nih.gov/pmc/blobs/7373/11106148/58cebb09d769/417_2023_6360_Fig4_HTML.jpg

相似文献

1
Genetic profile of syndromic retinitis pigmentosa in Portugal.葡萄牙综合征性视网膜炎的遗传特征。
Graefes Arch Clin Exp Ophthalmol. 2024 Jun;262(6):1883-1897. doi: 10.1007/s00417-023-06360-2. Epub 2024 Jan 8.
2
Correlation between Genotype and Phenotype in 69 Chinese Patients with USH2A Mutations: A comparative study of the patients with Usher Syndrome and Nonsyndromic Retinitis Pigmentosa.69例USH2A基因突变中国患者的基因型与表型相关性:Usher综合征与非综合征性视网膜色素变性患者的比较研究
Acta Ophthalmol. 2021 Jun;99(4):e447-e460. doi: 10.1111/aos.14626. Epub 2020 Oct 29.
3
Visual Outcomes in Japanese Patients with Retinitis Pigmentosa and Usher Syndrome Caused by USH2A Mutations.USH2A 基因突变导致的日本色素性视网膜炎和 Usher 综合征患者的视觉预后
Semin Ophthalmol. 2018;33(4):560-565. doi: 10.1080/08820538.2017.1340487. Epub 2017 Jul 5.
4
variants in Chinese patients with Usher syndrome type II and non-syndromic retinitis pigmentosa.中国 Usher 综合征 II 型和非综合征性视网膜色素变性患者的变异。
Br J Ophthalmol. 2021 May;105(5):694-703. doi: 10.1136/bjophthalmol-2019-315786. Epub 2020 Jul 16.
5
Visual Prognosis in USH2A-Associated Retinitis Pigmentosa Is Worse for Patients with Usher Syndrome Type IIa Than for Those with Nonsyndromic Retinitis Pigmentosa.USH2A 相关性视网膜色素变性的视觉预后对 Usher 综合征 IIa 型患者比非综合征性视网膜色素变性患者更差。
Ophthalmology. 2016 May;123(5):1151-60. doi: 10.1016/j.ophtha.2016.01.021. Epub 2016 Feb 27.
6
Comprehensive molecular diagnosis of a large cohort of Japanese retinitis pigmentosa and Usher syndrome patients by next-generation sequencing.通过下一代测序对大量日本视网膜色素变性和Usher综合征患者进行综合分子诊断。
Invest Ophthalmol Vis Sci. 2014 Oct 16;55(11):7369-75. doi: 10.1167/iovs.14-15458.
7
Molecular Epidemiology in 591 Italian Probands With Nonsyndromic Retinitis Pigmentosa and Usher Syndrome.591 名意大利非综合征性视网膜色素变性和 Usher 综合征先证者的分子流行病学研究。
Invest Ophthalmol Vis Sci. 2021 Feb 1;62(2):13. doi: 10.1167/iovs.62.2.13.
8
Genetic analysis of patients with nonsyndromic and syndromic retinitis pigmentosa in Puerto Rico: a genetic legacy.波多黎各非综合征性和综合征性色素性视网膜炎患者的基因分析:遗传遗产。
Ophthalmic Genet. 2022 Aug;43(4):454-461. doi: 10.1080/13816810.2022.2050764. Epub 2022 Mar 23.
9
Identification of 13 novel USH2A mutations in Chinese retinitis pigmentosa and Usher syndrome patients by targeted next-generation sequencing.通过靶向下一代测序鉴定中国视网膜色素变性和 Usher 综合征患者中的 13 种新型 USH2A 突变。
Biosci Rep. 2020 Jan 31;40(1). doi: 10.1042/BSR20193536.
10
mutational spectrum causing syndromic and non-syndromic retinal dystrophies in a large cohort of Mexican patients.导致墨西哥大样本患者综合征性和非综合征性视网膜营养不良的突变谱。
Mol Vis. 2023 Apr 29;29:31-38. eCollection 2023.

引用本文的文献

1
Neuroprotection provided by polyphenols and flavonoids in photoreceptor degenerative diseases.多酚和黄酮类化合物在光感受器退行性疾病中的神经保护作用。
Neural Regen Res. 2026 Mar 1;21(3):908-922. doi: 10.4103/NRR.NRR-D-24-01638. Epub 2025 May 6.
2
Clinical and genetic landscape of IRD in Portugal: pooled data from the nationwide IRD-PT registry.葡萄牙IRD的临床和遗传概况:来自全国IRD-PT登记处的汇总数据。
NPJ Genom Med. 2025 Feb 12;10(1):11. doi: 10.1038/s41525-025-00475-7.
3
Unraveling the genetic spectrum of inherited deaf-blindness in Portugal.

本文引用的文献

1
The first genetic landscape of inherited retinal dystrophies in Portuguese patients identifies recurrent homozygous mutations as a frequent cause of pathogenesis.葡萄牙患者遗传性视网膜营养不良的首个基因图谱确定了纯合子复发性突变是发病机制的常见原因。
PNAS Nexus. 2023 Feb 13;2(3):pgad043. doi: 10.1093/pnasnexus/pgad043. eCollection 2023 Mar.
2
Eyes Shut Homolog-Associated Retinal Degeneration: Natural History, Genetic Landscape, and Phenotypic Spectrum.闭眼同源物相关视网膜变性:自然病史、遗传格局及表型谱
Ophthalmol Retina. 2023 Jul;7(7):628-638. doi: 10.1016/j.oret.2023.02.001. Epub 2023 Feb 9.
3
Genetic epidemiology of inherited retinal diseases in a large patient cohort followed at a single center in Italy.
解析葡萄牙遗传性聋哑失明的基因谱。
Orphanet J Rare Dis. 2025 Jan 14;20(1):22. doi: 10.1186/s13023-025-03542-5.
4
Expanding the genetic landscape of Usher syndrome type IV caused by pathogenic ARSG variants.扩展由致病性 ARSG 变异引起的 Usher 综合征 IV 型的遗传图谱。
Clin Genet. 2025 Jan;107(1):44-55. doi: 10.1111/cge.14614. Epub 2024 Aug 28.
意大利单中心大样本队列研究遗传性视网膜疾病的遗传流行病学。
Sci Rep. 2022 Dec 2;12(1):20815. doi: 10.1038/s41598-022-24636-1.
4
New clinical and molecular evidence linking mutations in ARSG to Usher syndrome type IV.将ARSG基因突变与IV型Usher综合征相联系的新临床和分子证据。
Hum Mutat. 2022 Dec;43(12):2326-2327. doi: 10.1002/humu.24496. Epub 2022 Nov 7.
5
Genetic spectrum, retinal phenotype, and peripapillary RNFL thickness in RPGR heterozygotes.RPGR杂合子的基因谱、视网膜表型及视乳头周围视网膜神经纤维层厚度
Graefes Arch Clin Exp Ophthalmol. 2023 Mar;261(3):867-878. doi: 10.1007/s00417-022-05809-0. Epub 2022 Sep 2.
6
Frequency of cystoid macular edema and vitreomacular interface disorders in genetically solved syndromic and non-syndromic retinitis pigmentosa.遗传性综合征性和非综合征性色素性视网膜炎中囊样黄斑水肿和玻璃体黄斑界面疾病的频率。
Graefes Arch Clin Exp Ophthalmol. 2022 Sep;260(9):2859-2866. doi: 10.1007/s00417-022-05649-y. Epub 2022 Apr 7.
7
Clinical/Demographic Functional Testing and Multimodal Imaging Differences between Genetically Solved and Unsolved Retinitis Pigmentosa.遗传性视网膜色素变性的临床/人口统计学功能测试和多模态成像差异。
Ophthalmologica. 2022;245(2):134-143. doi: 10.1159/000520305. Epub 2021 Oct 25.
8
EYS-Associated Sector Retinitis Pigmentosa.与 EYS 相关的扇形部脉络膜视网膜炎。
Graefes Arch Clin Exp Ophthalmol. 2022 Apr;260(4):1405-1413. doi: 10.1007/s00417-021-05411-w. Epub 2021 Sep 27.
9
Usher Syndrome: Genetics of a Human Ciliopathy.Usher 综合征:人类纤毛病的遗传学。
Int J Mol Sci. 2021 Jun 23;22(13):6723. doi: 10.3390/ijms22136723.
10
Inherited Retinal Degenerations in Portugal: Addressing the Unmet Needs.葡萄牙的遗传性视网膜变性:满足未被满足的需求。
Acta Med Port. 2021 May 2;34(5):332-334. doi: 10.20344/amp.15802. Epub 2021 Apr 8.