• 文献检索
  • 文档翻译
  • 深度研究
  • 学术资讯
  • Suppr Zotero 插件Zotero 插件
  • 邀请有礼
  • 套餐&价格
  • 历史记录
应用&插件
Suppr Zotero 插件Zotero 插件浏览器插件Mac 客户端Windows 客户端微信小程序
定价
高级版会员购买积分包购买API积分包
服务
文献检索文档翻译深度研究API 文档MCP 服务
关于我们
关于 Suppr公司介绍联系我们用户协议隐私条款
关注我们

Suppr 超能文献

核心技术专利:CN118964589B侵权必究
粤ICP备2023148730 号-1Suppr @ 2026

文献检索

告别复杂PubMed语法,用中文像聊天一样搜索,搜遍4000万医学文献。AI智能推荐,让科研检索更轻松。

立即免费搜索

文件翻译

保留排版,准确专业,支持PDF/Word/PPT等文件格式,支持 12+语言互译。

免费翻译文档

深度研究

AI帮你快速写综述,25分钟生成高质量综述,智能提取关键信息,辅助科研写作。

立即免费体验

ZnS 和 CdS 量子点在多糖载体(淀粉/壳聚糖)中的体外毒性特征。

The In Vitro Toxicity Profile of ZnS and CdS Quantum Dots in Polysaccharide Carriers (Starch/Chitosan).

机构信息

Faculty of Animal Science, University of Agriculture in Krakow, Al. Mickiewicza 21, 31-120 Krakow, Poland.

Faculty of Biotechnology and Horticulture, University of Agriculture in Krakow, Al. Mickiewicza 21, 31-120 Krakow, Poland.

出版信息

Int J Mol Sci. 2023 Dec 27;25(1):361. doi: 10.3390/ijms25010361.

DOI:10.3390/ijms25010361
PMID:38203532
原文链接:https://pmc.ncbi.nlm.nih.gov/articles/PMC10778649/
Abstract

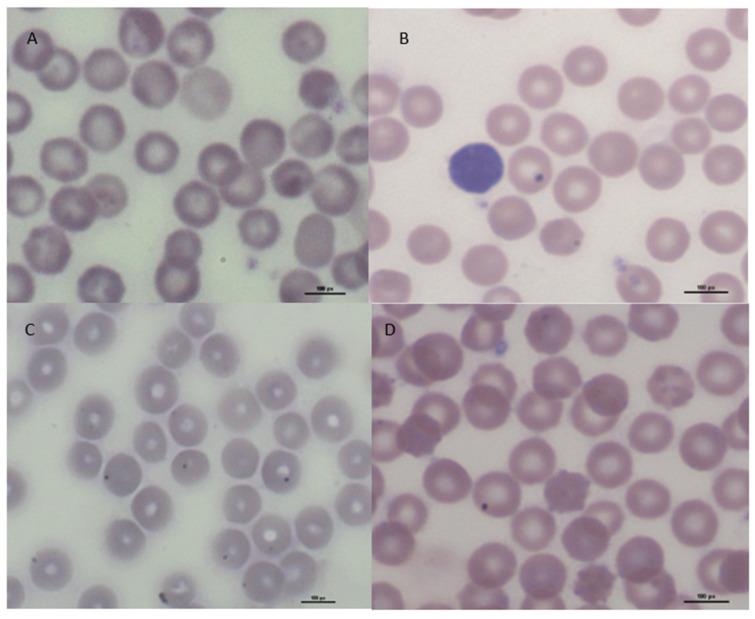
Nanocomposites are an emerging technology for ensuring food safety and quality. Their unique properties, attributed to nanoparticle presence, facilitate the development of sophisticated sensors and biosensors for detecting harmful substances, microbial growth, and environmental changes in food products. Smart and/or active food packaging development also benefits from the use of nanocomposites. This packaging, or portions of it, provide active protection for its contents and serve as sensors to promptly, simply, and safely identify any detrimental changes in stored food, without elaborate techniques or analyses. Films made from potato starch and chitosan were produced and quantum dots of zinc sulfide (ZnS) and cadmium sulfide (CdS)were synthesized in them for this study. The presence and dimensions of the QDs (quantum dots) were examined with scanning electron microscopy (SEM) and ultraviolet-visible (UV-VIS) spectroscopy. The study aimed to establish the toxicity profile of a starch-chitosan bionanocomposite integrated with ZnS and CdS quantum dots. Cytotoxic and genotoxic features were assessed through cytogenetic instability assessments, consisting of the alkaline comet assay, erythrocyte micronucleus assay, and peripheral blood cell viability analysis of a laboratory mouse model.

摘要

纳米复合材料是确保食品安全和质量的新兴技术。其独特的性能归因于纳米颗粒的存在,有助于开发用于检测有害物质、微生物生长和食品产品环境变化的复杂传感器和生物传感器。智能和/或活性食品包装的发展也受益于纳米复合材料的使用。这种包装或其部分为其内容物提供了主动保护,并作为传感器,能够快速、简单、安全地识别储存食品中的任何不利变化,而无需复杂的技术或分析。本研究中,在马铃薯淀粉和壳聚糖制成的薄膜中合成了硫化锌(ZnS)和硫化镉(CdS)量子点,并利用扫描电子显微镜(SEM)和紫外可见(UV-VIS)光谱对 QD(量子点)的存在和尺寸进行了检测。该研究旨在建立与 ZnS 和 CdS 量子点集成的淀粉-壳聚糖生物纳米复合材料的毒性概况。通过细胞遗传不稳定性评估,包括碱性彗星试验、红细胞微核试验和实验小鼠模型外周血细胞活力分析,评估了细胞毒性和遗传毒性特征。

https://cdn.ncbi.nlm.nih.gov/pmc/blobs/d7f4/10778649/86f686691e10/ijms-25-00361-g006.jpg
https://cdn.ncbi.nlm.nih.gov/pmc/blobs/d7f4/10778649/5cfa0faa483b/ijms-25-00361-g001.jpg
https://cdn.ncbi.nlm.nih.gov/pmc/blobs/d7f4/10778649/0ca467775ba5/ijms-25-00361-g002.jpg
https://cdn.ncbi.nlm.nih.gov/pmc/blobs/d7f4/10778649/7481c64e7477/ijms-25-00361-g003.jpg
https://cdn.ncbi.nlm.nih.gov/pmc/blobs/d7f4/10778649/e1b537a201af/ijms-25-00361-g004.jpg
https://cdn.ncbi.nlm.nih.gov/pmc/blobs/d7f4/10778649/159c7c5c8201/ijms-25-00361-g005.jpg
https://cdn.ncbi.nlm.nih.gov/pmc/blobs/d7f4/10778649/86f686691e10/ijms-25-00361-g006.jpg
https://cdn.ncbi.nlm.nih.gov/pmc/blobs/d7f4/10778649/5cfa0faa483b/ijms-25-00361-g001.jpg
https://cdn.ncbi.nlm.nih.gov/pmc/blobs/d7f4/10778649/0ca467775ba5/ijms-25-00361-g002.jpg
https://cdn.ncbi.nlm.nih.gov/pmc/blobs/d7f4/10778649/7481c64e7477/ijms-25-00361-g003.jpg
https://cdn.ncbi.nlm.nih.gov/pmc/blobs/d7f4/10778649/e1b537a201af/ijms-25-00361-g004.jpg
https://cdn.ncbi.nlm.nih.gov/pmc/blobs/d7f4/10778649/159c7c5c8201/ijms-25-00361-g005.jpg
https://cdn.ncbi.nlm.nih.gov/pmc/blobs/d7f4/10778649/86f686691e10/ijms-25-00361-g006.jpg

相似文献

1
The In Vitro Toxicity Profile of ZnS and CdS Quantum Dots in Polysaccharide Carriers (Starch/Chitosan).ZnS 和 CdS 量子点在多糖载体(淀粉/壳聚糖)中的体外毒性特征。
Int J Mol Sci. 2023 Dec 27;25(1):361. doi: 10.3390/ijms25010361.
2
The Preparation and Characterization of Quantum Dots in Polysaccharide Carriers (Starch/Chitosan) as Elements of Smart Packaging and Their Impact on the Growth of Microorganisms in Food.多糖载体(淀粉/壳聚糖)中量子点作为智能包装元素的制备与表征及其对食品中微生物生长的影响
Materials (Basel). 2021 Dec 15;14(24):7732. doi: 10.3390/ma14247732.
3
In vitro and In vivo toxicity analysis of zinc selenium/zinc sulfide (ZnSe/ZnS) quantum dots.锌硒/硫化锌(ZnSe/ZnS)量子点的体外和体内毒性分析
Food Chem Toxicol. 2020 Nov;145:111718. doi: 10.1016/j.fct.2020.111718. Epub 2020 Sep 3.
4
Cytotoxicity tests of water soluble ZnS and CdS quantum dots.水溶性硫化锌和硫化镉量子点的细胞毒性测试。
J Nanosci Nanotechnol. 2011 Apr;11(4):3543-51. doi: 10.1166/jnn.2011.3803.
5
Cyto-/genotoxic effect of CdSe/ZnS quantum dots in human lung adenocarcinoma cells for potential photodynamic UV therapy applications.CdSe/ZnS量子点对人肺腺癌细胞的细胞/遗传毒性效应及其在潜在光动力紫外线治疗中的应用
J Nanosci Nanotechnol. 2012 Mar;12(3):2160-8. doi: 10.1166/jnn.2012.5781.
6
CdS/ZnS nanocomposites: from mechanochemical synthesis to cytotoxicity issues.硫化镉/硫化锌纳米复合材料:从机械化学合成到细胞毒性问题
Mater Sci Eng C Mater Biol Appl. 2016 Jan 1;58:1016-23. doi: 10.1016/j.msec.2015.09.040. Epub 2015 Sep 10.
7
Investigation of biocompatible and protein sensitive highly luminescent quantum dots/nanocrystals of CdSe, CdSe/ZnS and CdSe/CdS.研究具有生物相容性和蛋白质敏感性的高亮度量子点/纳米晶体 CdSe、CdSe/ZnS 和 CdSe/CdS。
Spectrochim Acta A Mol Biomol Spectrosc. 2017 May 15;179:201-210. doi: 10.1016/j.saa.2017.02.028. Epub 2017 Feb 16.
8
Cadmium sulfide quantum dot/chitosan nanocomposites for latent fingermark detection.用于潜在指纹检测的硫化镉量子点/壳聚糖纳米复合材料
Forensic Sci Int. 2009 May 30;187(1-3):97-102. doi: 10.1016/j.forsciint.2009.03.006. Epub 2009 Apr 8.
9
Facile synthesis and characterization of water soluble ZnSe/ZnS quantum dots for cellar imaging.水溶性 ZnSe/ZnS 量子点的简便合成与表征及其在细胞成像中的应用。
Spectrochim Acta A Mol Biomol Spectrosc. 2013 Mar;104:143-9. doi: 10.1016/j.saa.2012.11.083. Epub 2012 Dec 5.
10
CdSe/ZnS quantum dots exhibited nephrotoxicity through mediating oxidative damage and inflammatory response.硒化镉/硫化锌量子点通过介导氧化损伤和炎症反应表现出肾毒性。
Aging (Albany NY). 2020 Nov 16;13(8):12194-12206. doi: 10.18632/aging.103774.

引用本文的文献

1
Forensic implication of Zinc sulfide and Zinc sulfide Nanoparticles toxicity on muscle histopathology and postmortem changes in rats.硫化锌及硫化锌纳米颗粒毒性对大鼠肌肉组织病理学及死后变化的法医学意义
Forensic Sci Med Pathol. 2025 Aug 23. doi: 10.1007/s12024-025-01072-x.

本文引用的文献

1
Bioactive chitosan/poly(ethyleneoxide)/CuFeO nanofibers for potential wound healing.用于潜在伤口愈合的生物活性壳聚糖/聚(氧化乙烯)/CuFeO 纳米纤维
Environ Res. 2023 Dec 15;239(Pt 2):117448. doi: 10.1016/j.envres.2023.117448. Epub 2023 Oct 18.
2
Exploring the Effects of Various Capping Agents on Zinc Sulfide Quantum Dot Characteristics and In-vitro Fate.探索各种封端剂对硫化锌量子点特性和体外命运的影响。
ChemistryOpen. 2023 Oct;12(10):e202300094. doi: 10.1002/open.202300094.
3
Starch Nanoparticles: Preparation, Properties and Applications.
淀粉纳米颗粒:制备、性质及应用
Polymers (Basel). 2023 Feb 25;15(5):1167. doi: 10.3390/polym15051167.
4
Quantum Dots and Their Interaction with Biological Systems.量子点及其与生物系统的相互作用。
Int J Mol Sci. 2022 Sep 15;23(18):10763. doi: 10.3390/ijms231810763.
5
Recent Trends in the Preparation of Nano-Starch Particles.纳米淀粉颗粒的制备新趋势。
Molecules. 2022 Aug 26;27(17):5497. doi: 10.3390/molecules27175497.
6
Study on the genetic damage caused by cadmium sulfide quantum dots in human lymphocytes.硫化镉量子点对人淋巴细胞遗传损伤的研究
Open Life Sci. 2022 May 11;17(1):463-472. doi: 10.1515/biol-2022-0054. eCollection 2022.
7
Development of GO/Co/Chitosan-Based Nano-Biosensor for Real-Time Detection of D-Glucose.基于 GO/Co/壳聚糖的纳米生物传感器的研制及其用于 D-葡萄糖的实时检测。
Biosensors (Basel). 2022 Jun 27;12(7):464. doi: 10.3390/bios12070464.
8
The Functional and Application Possibilities of Starch/Chitosan Polymer Composites Modified by Graphene Oxide.氧化石墨烯改性淀粉/壳聚糖聚合物复合材料的功能及应用可能性。
Int J Mol Sci. 2022 May 25;23(11):5956. doi: 10.3390/ijms23115956.
9
The Preparation and Characterization of Quantum Dots in Polysaccharide Carriers (Starch/Chitosan) as Elements of Smart Packaging and Their Impact on the Growth of Microorganisms in Food.多糖载体(淀粉/壳聚糖)中量子点作为智能包装元素的制备与表征及其对食品中微生物生长的影响
Materials (Basel). 2021 Dec 15;14(24):7732. doi: 10.3390/ma14247732.
10
A Review on Conventional and Advanced Methods for Nanotoxicology Evaluation of Engineered Nanomaterials.纳米毒理学评价工程纳米材料的常规与先进方法综述。
Molecules. 2021 Oct 29;26(21):6536. doi: 10.3390/molecules26216536.