Department of Gastroenterology, Digestive Disease Hospital, The First Affiliated Hospital, Jiangxi Medical College, Nanchang University, 17 Yongwaizheng Street, Donghu District, Nanchang, 330006, Jiangxi Province, China.
Jiangxi Clinical Research Center for Gastroenterology, Nanchang, Jiangxi Province, China.
Ann Clin Microbiol Antimicrob. 2024 Jan 12;23(1):4. doi: 10.1186/s12941-024-00666-7.
Helicobacter pylori (H. pylori) infection is the most common etiology of chronic gastric. H. pylori gastritis would gradually evolve into gastric atrophy, intestinal metaplasia, dysplasia and malignant lesions. Herein, this study aimed to investigate the potential impact of H. pylori colonization density and depth on the severity of histological parameters of gastritis.
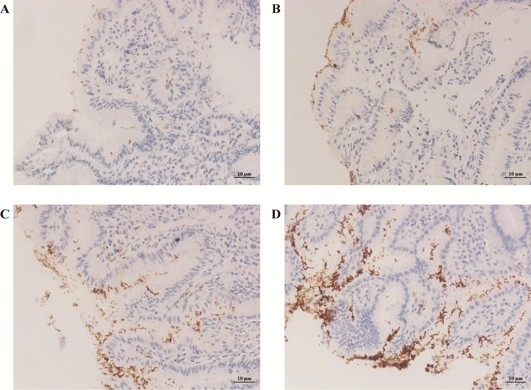
A prospective monocentric study was conducted from December 2019 to July 2022, enrolling patients with confirmed chronic H. pylori infection via histopathological evaluation. H. pylori colonization status was detected by immunohistochemical staining, pathological changes of gastric specimens were detected by hematoxylin eosin staining. Epidemiological, endoscopic and histopathological data were collected.
A total of 1120 patients with a mean age of 45.8 years were included. Regardless of the previous history of H. pylori eradication treatment, significant correlations were observed between the density and depth of H. pylori colonization and the intensity of gastritis activity (all P < 0.05). Patients with the lowest level of H. pylori colonization density and depth exhibited the highest level of mild activity. In whole participants and anti-H. pylori treatment-naive participants, H. pylori colonization density and depth were markedly correlated with the severity of chronic gastritis and gastric atrophy (all P < 0.05). H. pylori colonization density (P = 0.001) and depth (P = 0.047) were significantly associated with ulcer formation in patients naive to any anti-H. pylori treatment. No significant associations were observed between the density and depth of H. pylori colonization and other histopathological findings including lymphadenia, lymphoid follicle formation and dysplasia.
As the density and depth of H. pylori colonization increased, so did the activity and severity of gastritis, along with an elevated risk of ulcer formation.
幽门螺杆菌(H. pylori)感染是慢性胃的最常见病因。H. pylori 胃炎会逐渐演变为胃萎缩、肠化生、异型增生和恶性病变。在此,本研究旨在探讨 H. pylori 定植密度和深度对胃炎组织学参数严重程度的潜在影响。
一项前瞻性单中心研究于 2019 年 12 月至 2022 年 7 月进行,通过组织病理学评估确认患有慢性 H. pylori 感染的患者入组。通过免疫组织化学染色检测 H. pylori 定植状态,通过苏木精-伊红染色检测胃标本的病理变化。收集流行病学、内镜和组织病理学数据。
共纳入 1120 例平均年龄为 45.8 岁的患者。无论先前是否进行过 H. pylori 根除治疗,H. pylori 定植密度和深度与胃炎活动强度之间均存在显著相关性(均 P<0.05)。H. pylori 定植密度和深度最低的患者表现出最高水平的轻度活动。在所有参与者和未接受抗 H. pylori 治疗的参与者中,H. pylori 定植密度和深度与慢性胃炎和胃萎缩的严重程度显著相关(均 P<0.05)。在未接受任何抗 H. pylori 治疗的患者中,H. pylori 定植密度(P=0.001)和深度(P=0.047)与溃疡形成显著相关。H. pylori 定植密度和深度与其他组织病理学发现(包括淋巴滤泡形成和异型增生)之间无显著相关性。
随着 H. pylori 定植密度和深度的增加,胃炎的活动度和严重度增加,溃疡形成的风险增加。