Suppr超能文献

基于双能计算机断层扫描的新型生物标志物用于结直肠癌术后极早期远处转移的风险分层

Novel biomarkers based on dual-energy computed tomography for risk stratification of very early distant metastasis in colorectal cancer after surgery.

作者信息

Peng Wenjing, Wan Lijuan, Zhao Rui, Chen Shuang, Dong Shushan, Li Lin, Zhang Hongmei

机构信息

Department of Radiology, National Cancer Center/National Clinical Research Center for Cancer/Cancer Hospital, Chinese Academy of Medical Sciences and Peking Union Medical College, Beijing, China.

Clinical Science, Philips Healthcare, Beijing, China.

出版信息

Quant Imaging Med Surg. 2024 Jan 3;14(1):618-632. doi: 10.21037/qims-23-861. Epub 2024 Jan 2.

Abstract

BACKGROUND

Very early distant metastasis (VEDM) for patients with colorectal cancer (CRC) following surgery suggests failure of local treatment strategy and few biomarkers are available for its effective risk stratification. This study aimed to explore the potential of quantitative dual-energy computed tomography (DECT) spectral parameters and build models to predict VEDM.

METHODS

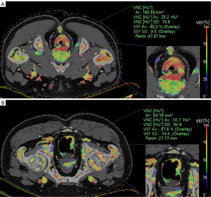
Consecutive patients suspected of having CRC and with a clinical indication for enhanced CT from April 2021 to July 2022 at a single institution were prospectively enrolled to undertake spectral CT scanning. The spectral features were extracted by two reviewers and intraclass correlation coefficient (ICC) was used for interobserver agreement evaluation. A total of 16 spectral parameters, including unenhanced effective atomic number, triphasic iodine concentrations (ICs)/normalized ICs (NICs)-/1/NIC-/spectral curve slopes (λ-), two arterial enhancement fractions (AEFs), and venous enhancement fraction (VEF), were determined for analysis. Patients with and without VEDM after surgery were matched using propensity score matching (PSM). The diagnostic performance was assessed using the area under the curve (AUC). Models of multiple modalities were generated.

RESULTS

In total, 222 patients were included (141 males, age range, 32-83 years) and 13 patients developed VEDM. Interobserver agreement ranged from good to excellent (ICC, 0.773-0.964). A total of three spectral parameters (VEF, λ-, and 1/NIC-) exhibited significant discriminatory ability (P<0.05) in predicting VEDM, with AUCs of 0.822 [95% confidence interval (CI): 0.667-0.926], 0.738 (95% CI: 0.573-0.866), and 0.713 (95% CI: 0.546-0.846) and optimal cutoff points of 67.16%, 2.46, and 2.44, respectively. The performance of these spectral parameters was validated in the entire cohort; the combined spectral model showed comparable efficiency to the combined clinical model [AUC, 0.771 (95% CI: 0.622-0.919) 0.779 (95% CI: 0.663-0.894), P>0.05]; the clinical-spectral model achieved further improved AUC of 0.887 (95% CI: 0.812-0.962), which was significantly higher than the combined clinical model (P=0.015), yet not superior to the combined spectral model (P=0.078).

CONCLUSIONS

Novel spectral parameters showed potential in predicting VEDM in CRC following surgery in this preliminary study, which were closely related with spectral perfusion in the venous phase. However, further studies with larger samples are warranted.

摘要

背景

结直肠癌(CRC)患者术后出现极早期远处转移(VEDM)提示局部治疗策略失败,且几乎没有生物标志物可用于有效的风险分层。本研究旨在探索定量双能计算机断层扫描(DECT)光谱参数的潜力,并建立预测VEDM的模型。

方法

前瞻性纳入2021年4月至2022年7月在单一机构疑似患有CRC且有增强CT临床指征的连续患者,进行光谱CT扫描。由两名审阅者提取光谱特征,并使用组内相关系数(ICC)评估观察者间的一致性。共确定16个光谱参数进行分析,包括平扫有效原子序数、三相碘浓度(ICs)/标准化ICs(NICs)-/1/NIC-/光谱曲线斜率(λ-)、两个动脉增强分数(AEFs)和静脉增强分数(VEF)。术后有和没有VEDM的患者使用倾向评分匹配(PSM)进行匹配。使用曲线下面积(AUC)评估诊断性能。生成多模态模型。

结果

共纳入222例患者(141例男性,年龄范围32 - 83岁),13例发生VEDM。观察者间一致性从良好到优秀(ICC,0.773 - 0.964)。共有三个光谱参数(VEF、λ-和1/NIC-)在预测VEDM方面表现出显著的鉴别能力(P<0.05),AUC分别为0.822 [95%置信区间(CI):0.667 - 0.926]、0.738(95% CI:0.573 - 0.866)和0.713(95% CI:0.546 - 0.846),最佳截断点分别为67.16%、2.46和2.44。这些光谱参数的性能在整个队列中得到验证;联合光谱模型显示出与联合临床模型相当的效率[AUC,0.771(95% CI:0.622 - 0.919) 0.779(95% CI:0.663 - 0.894),P>0.05];临床 - 光谱模型的AUC进一步提高至0.887(95% CI:0.812 - 0.962),显著高于联合临床模型(P = 0.015),但不优于联合光谱模型(P = 0.078)。

结论

在这项初步研究中,新的光谱参数在预测CRC术后VEDM方面显示出潜力,这些参数与静脉期的光谱灌注密切相关。然而,需要进一步进行更大样本量的研究。

https://cdn.ncbi.nlm.nih.gov/pmc/blobs/6c91/10784072/8b577e1e489b/qims-14-01-618-f1.jpg

文献AI研究员

20分钟写一篇综述,助力文献阅读效率提升50倍。

立即体验

用中文搜PubMed

大模型驱动的PubMed中文搜索引擎

马上搜索

文档翻译

学术文献翻译模型,支持多种主流文档格式。

立即体验