Suppr超能文献

诱导型一氧化氮合酶(iNOS)活性在糖尿病大鼠同时给予酒精和联合抗逆转录病毒疗法(cART)后睾丸功能障碍中的潜在作用:一项免疫组织化学研究

Potential role of inducible nitric oxide synthase (iNOS) activity in testicular dysfunction following co-administration of alcohol and combination antiretroviral therapy (cART) in diabetic rats: an immunohistochemistry study.

作者信息

Owembabazi Elna, Nkomozepi Pilani, Mbajiorgu Ejikeme F

机构信息

School of Anatomical Sciences, University of the Witwatersrand, Johannesburg, 2193 South Africa.

Department of Human Anatomy, Kampala International University, Western Campus, P.O. Box 71, Ishaka-Bushenyi, Uganda.

出版信息

Toxicol Res. 2023 Aug 3;40(1):31-43. doi: 10.1007/s43188-023-00200-5. eCollection 2024 Jan.

Abstract

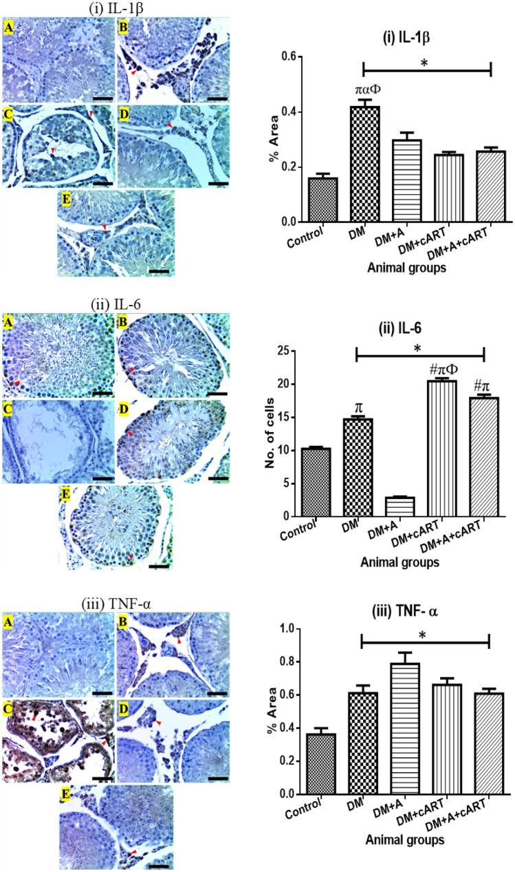
Diabetes, alcohol abuse, and combination antiretroviral therapy (cART) use have been reported to cause multi-organ complications via induction of oxidative stress and inflammation. Moreover, these are the most common factors implicated in male reproductive dysfunctions. This study evaluated testicular oxidative stress, inflammation, apoptosis, and germ cell proliferation in diabetic rats receiving alcohol or cART and their combination. Thirty adult male Sprague Dawley rats were divided into five groups, each consisting of six rats; control, diabetic only (DM), diabetic treated with alcohol (DM + A), diabetic treated with cART (DM + cART), and diabetic treated with both alcohol and cART (DM + A + cART). After 90 days of treatment, the rats were terminated, and the testes were extracted and processed for immunohistochemistry analysis for oxidative stress, inflammatory cytokines, apoptosis, and cell proliferation marker. In comparison to the control, oxidative stress markers, inducible nitric oxide synthase (iNOS), malondialdehyde (MDA), and 8-hydroxydeoxyguanosine (8-OHDG) increased significantly in all treated groups. Expression of testicular proinflammatory cytokines, interleukin-1β, and tumor necrosis factor-α was upregulated in all treated groups, but interleukin-6 was upregulated in DM, DM + cART, and DM + A + cART treated groups and was downregulated in the DM + A treated group. All treated animal groups showed an upregulation of apoptotic marker (caspase 3) and a downregulation of proliferation marker (Ki-67). However, Ki-67 staining intensity significantly increased in treated animals compared to the control. These findings suggest that diabetes, alcohol abuse, cART use, and their combination via iNOS activity upregulation can induce inflammation and oxidative stress in testicular tissue, stimulating germ cell apoptosis and proliferation inhibition leading to failure of spermatogenesis.

摘要

据报道,糖尿病、酗酒和联合抗逆转录病毒疗法(cART)的使用会通过诱导氧化应激和炎症反应引发多器官并发症。此外,这些也是导致男性生殖功能障碍的最常见因素。本研究评估了接受酒精或cART及其联合治疗的糖尿病大鼠的睾丸氧化应激、炎症、细胞凋亡和生殖细胞增殖情况。将30只成年雄性Sprague Dawley大鼠分为五组,每组六只;分别为对照组、仅患糖尿病组(DM)、酒精治疗糖尿病组(DM + A)、cART治疗糖尿病组(DM + cART)以及酒精和cART联合治疗糖尿病组(DM + A + cART)。治疗90天后,处死大鼠,取出睾丸并进行处理,用于氧化应激、炎性细胞因子、细胞凋亡和细胞增殖标志物的免疫组织化学分析。与对照组相比,所有治疗组的氧化应激标志物、诱导型一氧化氮合酶(iNOS)、丙二醛(MDA)和8-羟基脱氧鸟苷(8-OHDG)均显著增加。所有治疗组睾丸促炎细胞因子白细胞介素-1β和肿瘤坏死因子-α的表达均上调,但白细胞介素-6在DM、DM + cART和DM + A + cART治疗组中上调,而在DM + A治疗组中下调。所有治疗动物组均显示凋亡标志物(半胱天冬酶3)上调,增殖标志物(Ki-67)下调。然而,与对照组相比,治疗动物组中Ki-67染色强度显著增加。这些研究结果表明,糖尿病、酗酒、cART的使用及其联合作用通过上调iNOS活性可诱导睾丸组织炎症和氧化应激,刺激生殖细胞凋亡并抑制增殖,导致精子发生失败。

https://cdn.ncbi.nlm.nih.gov/pmc/blobs/4730/10787109/b4be471f9c02/43188_2023_200_Fig1_HTML.jpg

文献AI研究员

20分钟写一篇综述,助力文献阅读效率提升50倍。

立即体验

用中文搜PubMed

大模型驱动的PubMed中文搜索引擎

马上搜索

文档翻译

学术文献翻译模型,支持多种主流文档格式。

立即体验