• 文献检索
  • 文档翻译
  • 深度研究
  • 学术资讯
  • Suppr Zotero 插件Zotero 插件
  • 邀请有礼
  • 套餐&价格
  • 历史记录
应用&插件
Suppr Zotero 插件Zotero 插件浏览器插件Mac 客户端Windows 客户端微信小程序
定价
高级版会员购买积分包购买API积分包
服务
文献检索文档翻译深度研究API 文档MCP 服务
关于我们
关于 Suppr公司介绍联系我们用户协议隐私条款
关注我们

Suppr 超能文献

核心技术专利:CN118964589B侵权必究
粤ICP备2023148730 号-1Suppr @ 2026

文献检索

告别复杂PubMed语法,用中文像聊天一样搜索,搜遍4000万医学文献。AI智能推荐,让科研检索更轻松。

立即免费搜索

文件翻译

保留排版,准确专业,支持PDF/Word/PPT等文件格式,支持 12+语言互译。

免费翻译文档

深度研究

AI帮你快速写综述,25分钟生成高质量综述,智能提取关键信息,辅助科研写作。

立即免费体验

雄性斯普拉格-道利大鼠中酒精与联合抗逆转录病毒疗法(cART)的共同给药:关于睾丸形态、氧化和细胞因子扰动的研究

Co-administration of alcohol and combination antiretroviral therapy (cART) in male Sprague Dawley rats: A study on testicular morphology, oxidative and cytokines perturbations.

作者信息

Owembabazi Elna, Nkomozepi Pilani, Calvey Tanya, Mbajiorgu Ejikeme Felix

机构信息

School of Anatomical Sciences, University of the Witwatersrand, Johannesburg, South Africa.

Department of Human Anatomy, Kampala International University, Western Campus, Uganda.

出版信息

Anat Cell Biol. 2023 Jun 30;56(2):236-251. doi: 10.5115/acb.22.229. Epub 2023 Feb 10.

DOI:10.5115/acb.22.229
PMID:36759974
原文链接:https://pmc.ncbi.nlm.nih.gov/articles/PMC10319480/
Abstract

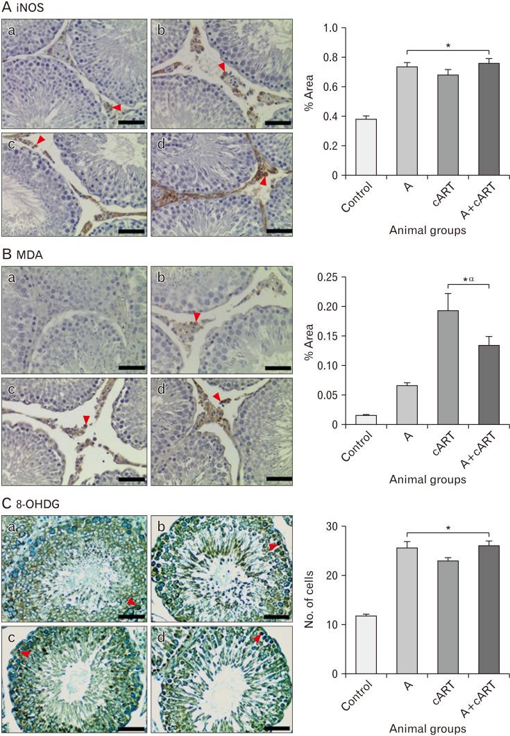
Alcohol consumption alongside combination antiretroviral therapy (cART) has attracted research interest, especially because of increasing male infertility. This study investigated the combined effects of alcohol and cART on testicular morphology, biomarkers of oxidative stress, inflammation, and apoptosis. Rats, weighing 330-370 g, were divided into four groups of six animals each; control, alcohol treated (A), cART, and alcohol plus cART treated (A+cART). Following 90 days treatment period, animals were euthanized, testis extracted, and routinely processed for histology and immunohistochemical analysis. Significantly decreased epithelial area fraction, increased luminal and connective tissue area fractions, and reduction of epithelial height and spermatocyte number, were recorded in the treated groups compared to control. Extensive seminiferous epithelial lesions including widened intercellular space, karyolysis, and sloughing of germinal epithelium were recorded in all the treated groups. Furthermore, upregulation of inducible nitric oxide synthase and 8-hydroxydeoxyguanosine, interleukin-6, and caspase 3 recorded in treated animals, was more significant in A+cART group. Also, the levels of interleukin-1β and tumor necrosis factor-α were more elevated in A and cART treated groups than in A+cART, while MDA was significantly elevated in cART and A+cART treated groups compared to control group. Altogether, the results indicate testicular toxicity of the treatments. It is concluded that consuming alcohol or cART induces oxidative stress, inflammation, and apoptosis in testis of rats, which lead to testicular structural and functional derangements, which are exacerbated when alcohol and cART are consumed concurrently. The result will invaluably assist clinicians in management of reproductive dysfunctions in male HIV/AIDS-alcoholic patients on cART.

摘要

抗逆转录病毒联合疗法(cART)与饮酒问题引发了研究兴趣,尤其是考虑到男性不育问题日益严重。本研究调查了酒精和cART对睾丸形态、氧化应激生物标志物、炎症及细胞凋亡的联合影响。体重330 - 370克的大鼠被分为四组,每组六只;分别为对照组、酒精处理组(A)、cART处理组以及酒精加cART处理组(A + cART)。经过90天的治疗期后,对动物实施安乐死,取出睾丸,并进行常规组织学和免疫组化分析。与对照组相比,处理组的上皮面积分数显著降低,管腔和结缔组织面积分数增加,上皮高度和精母细胞数量减少。所有处理组均出现广泛的生精上皮病变,包括细胞间隙增宽、核溶解以及生精上皮脱落。此外,处理组动物中诱导型一氧化氮合酶、8 - 羟基脱氧鸟苷、白细胞介素 - 6和半胱天冬酶3的上调在A + cART组更为显著。同时,白细胞介素 - 1β和肿瘤坏死因子 - α的水平在A组和cART处理组中比A + cART组更高,而丙二醛(MDA)在cART组和A + cART处理组中相比对照组显著升高。总体而言,结果表明这些处理具有睾丸毒性。研究得出结论,饮酒或使用cART会在大鼠睾丸中诱导氧化应激、炎症和细胞凋亡,并导致睾丸结构和功能紊乱,而同时饮酒和使用cART时这种紊乱会加剧。该结果将为临床医生管理接受cART治疗的男性HIV/AIDS - 酒精成瘾患者的生殖功能障碍提供宝贵帮助。

https://cdn.ncbi.nlm.nih.gov/pmc/blobs/a35f/10319480/f5914aa14210/acb-56-2-236-f5.jpg
https://cdn.ncbi.nlm.nih.gov/pmc/blobs/a35f/10319480/7bc12fc2d078/acb-56-2-236-f1.jpg
https://cdn.ncbi.nlm.nih.gov/pmc/blobs/a35f/10319480/5ed6022ef89d/acb-56-2-236-f2.jpg
https://cdn.ncbi.nlm.nih.gov/pmc/blobs/a35f/10319480/102b58e572fa/acb-56-2-236-f3.jpg
https://cdn.ncbi.nlm.nih.gov/pmc/blobs/a35f/10319480/9c9ae517fde9/acb-56-2-236-f4.jpg
https://cdn.ncbi.nlm.nih.gov/pmc/blobs/a35f/10319480/f5914aa14210/acb-56-2-236-f5.jpg
https://cdn.ncbi.nlm.nih.gov/pmc/blobs/a35f/10319480/7bc12fc2d078/acb-56-2-236-f1.jpg
https://cdn.ncbi.nlm.nih.gov/pmc/blobs/a35f/10319480/5ed6022ef89d/acb-56-2-236-f2.jpg
https://cdn.ncbi.nlm.nih.gov/pmc/blobs/a35f/10319480/102b58e572fa/acb-56-2-236-f3.jpg
https://cdn.ncbi.nlm.nih.gov/pmc/blobs/a35f/10319480/9c9ae517fde9/acb-56-2-236-f4.jpg
https://cdn.ncbi.nlm.nih.gov/pmc/blobs/a35f/10319480/f5914aa14210/acb-56-2-236-f5.jpg

相似文献

1
Co-administration of alcohol and combination antiretroviral therapy (cART) in male Sprague Dawley rats: A study on testicular morphology, oxidative and cytokines perturbations.雄性斯普拉格-道利大鼠中酒精与联合抗逆转录病毒疗法(cART)的共同给药:关于睾丸形态、氧化和细胞因子扰动的研究
Anat Cell Biol. 2023 Jun 30;56(2):236-251. doi: 10.5115/acb.22.229. Epub 2023 Feb 10.
2
Potential role of inducible nitric oxide synthase (iNOS) activity in testicular dysfunction following co-administration of alcohol and combination antiretroviral therapy (cART) in diabetic rats: an immunohistochemistry study.诱导型一氧化氮合酶(iNOS)活性在糖尿病大鼠同时给予酒精和联合抗逆转录病毒疗法(cART)后睾丸功能障碍中的潜在作用:一项免疫组织化学研究
Toxicol Res. 2023 Aug 3;40(1):31-43. doi: 10.1007/s43188-023-00200-5. eCollection 2024 Jan.
3
Interactions of alcohol and combination antiretroviral (cART) drug in diabetic male Sprague Dawley rats: Hippocampal perturbations and toxicosis.酒精与抗逆转录病毒联合药物(cART)在糖尿病雄性斯普拉格-道利大鼠中的相互作用:海马扰动与中毒
Toxicol Rep. 2023 Jan 20;10:155-170. doi: 10.1016/j.toxrep.2023.01.009. eCollection 2023.
4
Combination Antiretroviral Therapy (cART) in Diabetes Exacerbates Diabetogenic Effects on Hippocampal Microstructure, Neurogenesis and Cytokine Perturbation in Male Sprague Dawley Rats.糖尿病中的联合抗逆转录病毒疗法(cART)会加剧对雄性斯普拉格-道利大鼠海马体微结构、神经发生和细胞因子紊乱的致糖尿病作用。
Diagnostics (Basel). 2022 Apr 5;12(4):905. doi: 10.3390/diagnostics12040905.
5
Hyperbaric oxygen therapy in rats attenuates ischemia-reperfusion testicular injury through blockade of oxidative stress, suppression of inflammation, and reduction of nitric oxide formation.高压氧疗法可通过阻断氧化应激、抑制炎症和减少一氧化氮形成来减轻大鼠缺血再灌注睾丸损伤。
Urology. 2013 Aug;82(2):489.e9-489.e15. doi: 10.1016/j.urology.2013.04.016. Epub 2013 Jun 13.
6
Combination antiretroviral therapy (cART)-induced hippocampal disorders: Highlights on therapeutic potential of Naringenin and Quercetin.联合抗逆转录病毒疗法(cART)诱发的海马体紊乱:柚皮素和槲皮素的治疗潜力要点
IBRO Rep. 2019 Apr 24;6:137-146. doi: 10.1016/j.ibror.2019.04.002. eCollection 2019 Jun.
7
Obesity-induced testicular oxidative stress, inflammation and apoptosis: Protective and therapeutic effects of orlistat.肥胖诱导的睾丸氧化应激、炎症和细胞凋亡:奥利司他的保护和治疗作用。
Reprod Toxicol. 2020 Aug;95:113-122. doi: 10.1016/j.reprotox.2020.05.009. Epub 2020 May 22.
8
Zinc protects against lead-induced testicular damage via modulation of steroidogenic and xanthine oxidase/uric acid/caspase 3-mediated apoptotic signaling in male Wistar rats.锌通过调节雄性 Wistar 大鼠类固醇生成和黄嘌呤氧化酶/尿酸/半胱天冬酶 3 介导的凋亡信号通路来防止铅诱导的睾丸损伤。
Aging Male. 2023 Dec;26(1):2224428. doi: 10.1080/13685538.2023.2224428.
9
Evaluation of tenofovir disoproxil fumarate loaded silver nanoparticle on testicular morphology in experimental type-2 diabetic rats.评价富马酸替诺福韦二吡呋酯负载银纳米粒子对实验性 2 型糖尿病大鼠睾丸形态的影响。
Artif Cells Nanomed Biotechnol. 2022 Dec;50(1):71-80. doi: 10.1080/21691401.2022.2042009.
10
Virgin coconut oil extract mitigates testicular-induced toxicity of alcohol use in antiretroviral therapy.椰油提取物可减轻抗逆转录病毒疗法中酒精使用引起的睾丸毒性。
Andrology. 2018 Jul;6(4):616-626. doi: 10.1111/andr.12490. Epub 2018 Apr 14.

引用本文的文献

1
Yamabushitake Mushroom ( (Bull.) Pers. 1797) Mycelium Improves Reproductive System Dysfunction in Male Rats Induced by Polystyrene Microplastics.山伏茸((Bull.) Pers. 1797)菌丝体改善聚苯乙烯微塑料诱导的雄性大鼠生殖系统功能障碍。
Int J Mol Sci. 2025 Jun 15;26(12):5735. doi: 10.3390/ijms26125735.
2
Edible mushroom () extract vs. glibenclamide on alloxan induced diabetes: sub-acute study of Nrf2 expression and renal toxicity.食用蘑菇()提取物与格列本脲对四氧嘧啶诱导糖尿病的影响:Nrf2表达和肾毒性的亚急性研究
Anat Cell Biol. 2024 Sep 30;57(3):446-458. doi: 10.5115/acb.24.054. Epub 2024 Jul 5.
3
Phycocyanin alleviates alcohol-induced testicular injury in male Wistar rats.

本文引用的文献

1
The correlation between cell and nucleus size is explained by an eukaryotic cell growth model.细胞和细胞核大小之间的相关性可以用真核细胞生长模型来解释。
PLoS Comput Biol. 2022 Feb 18;18(2):e1009400. doi: 10.1371/journal.pcbi.1009400. eCollection 2022 Feb.
2
Oxidative Stress, Testicular Inflammatory Pathways, and Male Reproduction.氧化应激、睾丸炎症途径与男性生殖
Int J Mol Sci. 2021 Sep 17;22(18):10043. doi: 10.3390/ijms221810043.
3
Knowledge and Use of PEP and PrEP Among Key Populations Tested in Community Centers in Portugal.
藻蓝蛋白减轻雄性Wistar大鼠酒精诱导的睾丸损伤。
Clin Exp Reprod Med. 2024 Jun;51(2):102-111. doi: 10.5653/cerm.2023.06422. Epub 2024 Jan 17.
4
Potential role of inducible nitric oxide synthase (iNOS) activity in testicular dysfunction following co-administration of alcohol and combination antiretroviral therapy (cART) in diabetic rats: an immunohistochemistry study.诱导型一氧化氮合酶(iNOS)活性在糖尿病大鼠同时给予酒精和联合抗逆转录病毒疗法(cART)后睾丸功能障碍中的潜在作用:一项免疫组织化学研究
Toxicol Res. 2023 Aug 3;40(1):31-43. doi: 10.1007/s43188-023-00200-5. eCollection 2024 Jan.
在葡萄牙社区中心接受检测的重点人群中,关于 PEP 和 PrEP 的知识和使用情况。
Front Public Health. 2021 Jul 23;9:673959. doi: 10.3389/fpubh.2021.673959. eCollection 2021.
4
HAART exacerbates testicular damage and impaired spermatogenesis in anti-Koch-treated rats via dysregulation of lactate transport and glutathione content.高效抗逆转录病毒疗法通过调节乳酸转运和谷胱甘肽含量加剧抗-Koch 处理大鼠的睾丸损伤和精子发生障碍。
Reprod Toxicol. 2021 Aug;103:96-107. doi: 10.1016/j.reprotox.2021.06.007. Epub 2021 Jun 9.
5
Male infertility.男性不育症。
Lancet. 2021 Jan 23;397(10271):319-333. doi: 10.1016/S0140-6736(20)32667-2. Epub 2020 Dec 10.
6
Excessive unilateral proliferation of spermatogonia in a patient with non-obstructive azoospermia - adverse effect of clomiphene citrate pre-treatment?非梗阻性无精子症患者精原细胞单侧过度增殖——枸橼酸氯米芬预处理的不良影响?
Basic Clin Androl. 2020 Sep 1;30:13. doi: 10.1186/s12610-020-00111-7. eCollection 2020.
7
Alcohol consumption and alcohol policy.饮酒与酒政策。
Turk J Med Sci. 2020 Aug 26;50(5):1197-1202. doi: 10.3906/sag-2002-237.
8
Long-Term Adverse Effects of Oxidative Stress on Rat Epididymis and Spermatozoa.氧化应激对大鼠附睾和精子的长期不良影响
Antioxidants (Basel). 2020 Feb 19;9(2):170. doi: 10.3390/antiox9020170.
9
Global, regional, and national prevalence and disability-adjusted life-years for infertility in 195 countries and territories, 1990-2017: results from a global burden of disease study, 2017.1990 - 2017年195个国家和地区不孕症的全球、区域和国家患病率及伤残调整生命年:全球疾病负担研究的结果,2017年
Aging (Albany NY). 2019 Dec 2;11(23):10952-10991. doi: 10.18632/aging.102497.
10
Bicuspid valve aortopathy is associated with distinct patterns of matrix degradation.二叶式主动脉瓣病变与基质降解的特定模式相关。
J Thorac Cardiovasc Surg. 2020 Dec;160(6):e239-e257. doi: 10.1016/j.jtcvs.2019.08.094. Epub 2019 Sep 25.