Suppr超能文献

三级医疗中心子宫切除标本的组织病理学分析:一项回顾性研究。

Histopathological Analysis of Hysterectomy Specimens in a Tertiary Care Centre: A Retrospective Study.

作者信息

Wankhade Rashmi, Dawande Pratibha

机构信息

Pathology, Datta Meghe Medical College, Datta Meghe Institute of Higher Education and Research, Nagpur, IND.

出版信息

Cureus. 2023 Dec 14;15(12):e50497. doi: 10.7759/cureus.50497. eCollection 2023 Dec.

Abstract

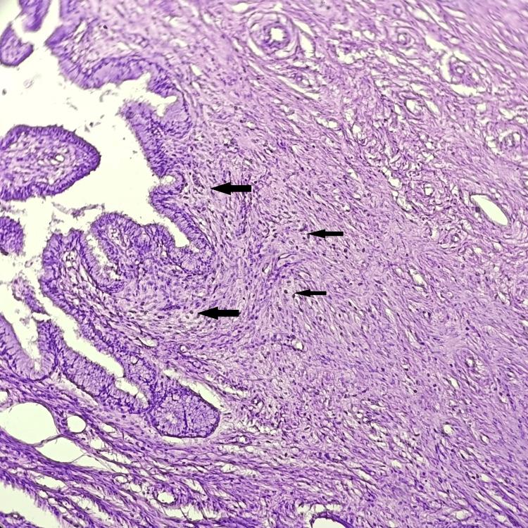
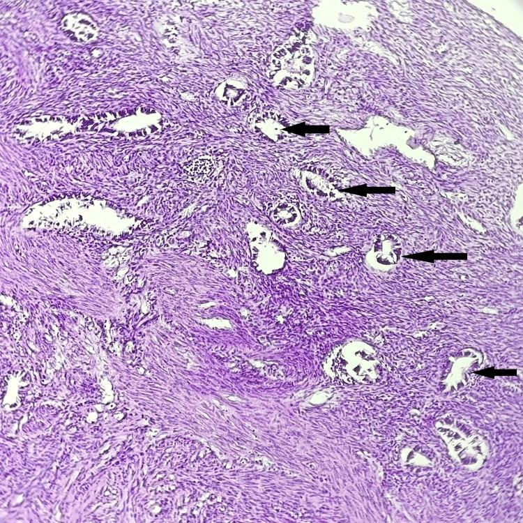
Introduction The uterus is a crucial reproductive organ that is susceptible to the development of several non-neoplastic and neoplastic diseases in women, greatly increasing morbidity and mortality. Although there are various therapeutic options, hysterectomy is still a popular treatment option throughout the world. Abnormal uterine bleeding, pelvic pain, pelvic inflammatory disease (PID), prolapse of the uterus, adenomyosis, endometriosis, fibroids, gynecological malignancies, and obstetric problems that require hysterectomy, all samples must be examined histopathologically. Histopathological examination of the specimens obtained after hysterectomy is important for both diagnosis and treatment. The current work aimed to identify the various clinical indications, analyze the clinicopathological correlation in hysterectomy specimens, and analyze the patterns of lesions in hysterectomy specimens. Materials and methods This study was conducted in the Department of Pathology at the Datta Meghe Medical College, Wanadongari, Nagpur, from February 2022 to January 2023. All types of hysterectomy specimens received during this year were examined, and the tissues were processed and stained with H&E. Histopathological examination was performed, and various lesions in the hysterectomy specimens were examined. The study included all forms of hysterectomy, including abdominal, vaginal, laparoscopic, and total abdominal hysterectomy. Results An analysis of 110 cases of hysterectomy revealed that abdominal hysterectomy was the type of hysterectomy in 79 (71.82%) cases, with a maximum age range of 35 to 45 years (42.72%). The proliferative phase endometrium was the most common endometrial pathology, accounting for 43 (39.09%) cases, followed by the atrophic endometrium in 35 (31.82%) cases. Leiomyoma was the most prevalent myometrial lesion, accounting for 52 (47.28%) cases, followed by adenomyosis, accounting for 23 (20.91%) cases. Chronic cervicitis was the most common incidental finding in the hysterectomy samples, accounting for 85 (77.28%) cases. Follicular cysts, representing 22 (20%) cases, were the most common ovarian lesions, followed by serous cystadenoma in seven (6.37%) cases. Two cases of malignant tumors were noted: one case of endometrial carcinoma and one case of mucinous cystadenocarcinoma of the ovary. In most cases, ranging from 70% to 100%, the final histopathological diagnosis supports the preoperative clinical diagnosis. Conclusion Hysterectomy is the most common major gynecological surgery performed under elective conditions. Although histological studies and clinical diagnoses are closely correlated, several lesions, including chronic cervicitis and adenomyosis, were discovered incidentally. Therefore, every hysterectomy specimen must undergo a thorough histological investigation, even if it appears superficially normal, to confirm the diagnosis and improve postoperative care.

摘要

引言

子宫是一个关键的生殖器官,女性易患多种非肿瘤性和肿瘤性疾病,这大大增加了发病率和死亡率。尽管有多种治疗选择,但子宫切除术仍是全球流行的治疗方法。异常子宫出血、盆腔疼痛、盆腔炎(PID)、子宫脱垂、子宫腺肌病、子宫内膜异位症、子宫肌瘤、妇科恶性肿瘤以及需要子宫切除术的产科问题,所有样本都必须进行组织病理学检查。子宫切除术后获得的标本进行组织病理学检查对诊断和治疗都很重要。当前的工作旨在确定各种临床适应症,分析子宫切除标本中的临床病理相关性,并分析子宫切除标本中的病变模式。

材料和方法

本研究于2022年2月至2023年1月在那格浦尔瓦纳东加里的达塔·梅赫医学院病理学系进行。检查了该年收到的所有类型的子宫切除标本,并对组织进行处理,用苏木精和伊红染色。进行了组织病理学检查,并检查了子宫切除标本中的各种病变。该研究包括所有形式的子宫切除术,包括腹部、阴道、腹腔镜和全腹子宫切除术。

结果

对110例子宫切除术病例的分析显示,79例(71.82%)为腹部子宫切除术,最大年龄范围为35至45岁(42.72%)。增殖期子宫内膜是最常见的子宫内膜病理类型,占43例(39.09%),其次是萎缩性子宫内膜35例(31.82%)。平滑肌瘤是最常见的肌层病变,占52例(47.28%),其次是子宫腺肌病,占23例(20.91%)。慢性宫颈炎是子宫切除标本中最常见的偶然发现,占85例(77.28%)。滤泡囊肿占22例(20%),是最常见的卵巢病变,其次是浆液性囊腺瘤7例(6.37%)。发现2例恶性肿瘤:1例子宫内膜癌和1例卵巢黏液性囊腺癌。在大多数情况下,从70%到100%,最终的组织病理学诊断支持术前临床诊断。

结论

子宫切除术是在择期情况下进行的最常见的大型妇科手术。尽管组织学研究和临床诊断密切相关,但仍偶然发现了包括慢性宫颈炎和子宫腺肌病在内 的几种病变。因此,即使子宫切除标本表面看起来正常,也必须进行全面的组织学检查,以确认诊断并改善术后护理。

https://cdn.ncbi.nlm.nih.gov/pmc/blobs/dd55/10788238/a536d1f0445e/cureus-0015-00000050497-i01.jpg

文献检索

告别复杂PubMed语法,用中文像聊天一样搜索,搜遍4000万医学文献。AI智能推荐,让科研检索更轻松。

立即免费搜索

文件翻译

保留排版,准确专业,支持PDF/Word/PPT等文件格式,支持 12+语言互译。

免费翻译文档

深度研究

AI帮你快速写综述,25分钟生成高质量综述,智能提取关键信息,辅助科研写作。

立即免费体验