• 文献检索
  • 文档翻译
  • 深度研究
  • 学术资讯
  • Suppr Zotero 插件Zotero 插件
  • 邀请有礼
  • 套餐&价格
  • 历史记录
应用&插件
Suppr Zotero 插件Zotero 插件浏览器插件Mac 客户端Windows 客户端微信小程序
定价
高级版会员购买积分包购买API积分包
服务
文献检索文档翻译深度研究API 文档MCP 服务
关于我们
关于 Suppr公司介绍联系我们用户协议隐私条款
关注我们

Suppr 超能文献

核心技术专利:CN118964589B侵权必究
粤ICP备2023148730 号-1Suppr @ 2026

文献检索

告别复杂PubMed语法,用中文像聊天一样搜索,搜遍4000万医学文献。AI智能推荐,让科研检索更轻松。

立即免费搜索

文件翻译

保留排版,准确专业,支持PDF/Word/PPT等文件格式,支持 12+语言互译。

免费翻译文档

深度研究

AI帮你快速写综述,25分钟生成高质量综述,智能提取关键信息,辅助科研写作。

立即免费体验

口服LB-P9可促进小鼠毛发再生。

Oral Administration of LB-P9 Promotes Hair Regeneration in Mice.

作者信息

Song Mikyung, Shim Jaeseok, Song Kyoungsub

机构信息

R&D Center, LISCure Biosciences Inc., Seongnam 13486, Korea.

出版信息

Food Sci Anim Resour. 2024 Jan;44(1):204-215. doi: 10.5851/kosfa.2023.e74. Epub 2024 Jan 1.

DOI:10.5851/kosfa.2023.e74
PMID:38229856
原文链接:https://pmc.ncbi.nlm.nih.gov/articles/PMC10789551/
Abstract

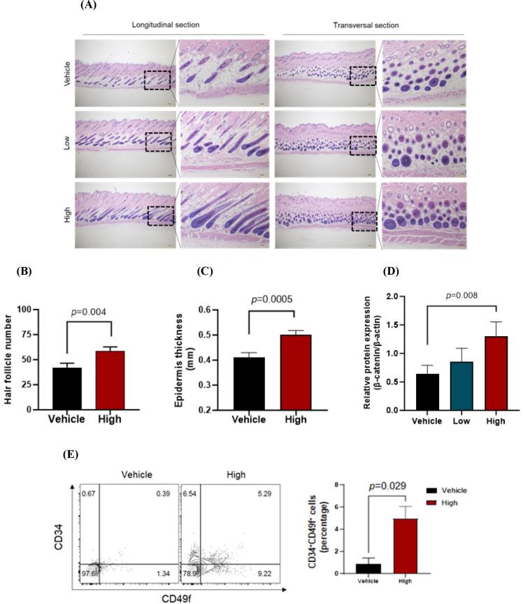
This study was designed to examine the effect of LB-P9 on hair regeneration. The treatment of LB-P9 conditioned medium increased the proliferation of both hair follicle dermal papilla cells and hair germinal matrix cells (hGMCs). Moreover, the expression levels of hair growth factors such as vascular endothelial growth factor (VEGF) and fibroblast growth factor 7 were significantly elevated in hGMCs co-cultured with LB-P9. After time-synchronized depilation, mice were orally administered with either 4×10 colony forming unit (CFU) of LB-P9 (low dose) or 4×10 CFU of LB-P9 (high dose), once daily for 4 weeks. Compared with the vehicle (phosphate-buffered saline)-administrated group, the LB-P9-treated groups exhibited accelerated hair regrowth rate and enhanced hair thickness in a dose-dependent manner. Supporting this observation, both hair follicle numbers and the dermal thickness in skin tissues of the LB-P9-treated groups were increased, compared to those of the vehicle-treated group. These results might be explained by the increased level of β-catenin and number of hair follicle stem cells (CD34CD49f cells) in the skin tissues of mice administered with LB-P9, compared to the vehicle-treated mice. Also, increased serum levels of hair growth factors such as VEGF and insulin-like growth factor-1, and superoxide dismutase were found in the LB-P9-treated groups, compared to those of the vehicle-treated group. Taken together, these results might demonstrate that the oral administration of LB-P9 promotes hair regeneration by the enhancement of dermal papilla proliferation through the stimulation of hair growth factor production.

摘要

本研究旨在检测LB - P9对毛发再生的影响。用LB - P9条件培养基处理可增加毛囊真皮乳头细胞和毛发生殖基质细胞(hGMCs)的增殖。此外,在与LB - P9共培养的hGMCs中,血管内皮生长因子(VEGF)和成纤维细胞生长因子7等毛发生长因子的表达水平显著升高。在进行时间同步脱毛后,给小鼠口服4×10菌落形成单位(CFU)的LB - P9(低剂量)或4×10 CFU的LB - P9(高剂量),每日一次,持续4周。与给予赋形剂(磷酸盐缓冲盐水)的组相比,LB - P9处理组的毛发再生速度加快,毛发厚度增加,呈剂量依赖性。支持这一观察结果的是,与赋形剂处理组相比,LB - P9处理组皮肤组织中的毛囊数量和真皮厚度均增加。这些结果可能是由于与给予赋形剂的小鼠相比,给予LB - P9的小鼠皮肤组织中β - 连环蛋白水平增加以及毛囊干细胞(CD34CD49f细胞)数量增加所致。此外,与赋形剂处理组相比,LB - P9处理组血清中VEGF和胰岛素样生长因子 - 1等毛发生长因子以及超氧化物歧化酶的水平升高。综上所述,这些结果可能表明口服LB - P9通过刺激毛发生长因子的产生来增强真皮乳头增殖,从而促进毛发再生。

https://cdn.ncbi.nlm.nih.gov/pmc/blobs/9544/10789551/611ac1171db5/kosfa-44-1-204-g4.jpg
https://cdn.ncbi.nlm.nih.gov/pmc/blobs/9544/10789551/4fe92a93b483/kosfa-44-1-204-g1.jpg
https://cdn.ncbi.nlm.nih.gov/pmc/blobs/9544/10789551/b17f78785b37/kosfa-44-1-204-g2.jpg
https://cdn.ncbi.nlm.nih.gov/pmc/blobs/9544/10789551/3b94a0806e95/kosfa-44-1-204-g3.jpg
https://cdn.ncbi.nlm.nih.gov/pmc/blobs/9544/10789551/611ac1171db5/kosfa-44-1-204-g4.jpg
https://cdn.ncbi.nlm.nih.gov/pmc/blobs/9544/10789551/4fe92a93b483/kosfa-44-1-204-g1.jpg
https://cdn.ncbi.nlm.nih.gov/pmc/blobs/9544/10789551/b17f78785b37/kosfa-44-1-204-g2.jpg
https://cdn.ncbi.nlm.nih.gov/pmc/blobs/9544/10789551/3b94a0806e95/kosfa-44-1-204-g3.jpg
https://cdn.ncbi.nlm.nih.gov/pmc/blobs/9544/10789551/611ac1171db5/kosfa-44-1-204-g4.jpg

相似文献

1
Oral Administration of LB-P9 Promotes Hair Regeneration in Mice.口服LB-P9可促进小鼠毛发再生。
Food Sci Anim Resour. 2024 Jan;44(1):204-215. doi: 10.5851/kosfa.2023.e74. Epub 2024 Jan 1.
2
Hair-Growth-Promoting Effects of the Fish Collagen Peptide in Human Dermal Papilla Cells and C57BL/6 Mice Modulating Wnt/β-Catenin and BMP Signaling Pathways.鱼胶原蛋白肽对人真皮乳头细胞和 C57BL/6 小鼠毛发生长的促进作用及其对 Wnt/β-连环蛋白和 BMP 信号通路的调节作用。
Int J Mol Sci. 2022 Oct 7;23(19):11904. doi: 10.3390/ijms231911904.
3
Neural Stem Cells Restore Hair Growth Through Activation of the Hair Follicle Niche.神经干细胞通过激活毛囊微环境来恢复头发生长。
Cell Transplant. 2016;25(8):1439-51. doi: 10.3727/096368916X691466. Epub 2016 Apr 22.
4
The potential role of fibroblast-derived multi-peptide factors in activation of growth factors and β-Catenin in hair follicle cells.成纤维细胞衍生的多种肽因子在激活毛囊细胞生长因子和β-连环蛋白中的潜在作用。
J Cosmet Dermatol. 2022 Nov;21(11):6184-6190. doi: 10.1111/jocd.15188. Epub 2022 Jul 19.
5
Hair growth stimulated by conditioned medium of adipose-derived stem cells is enhanced by hypoxia: evidence of increased growth factor secretion.缺氧增强脂肪来源干细胞条件培养基刺激的毛发生长:生长因子分泌增加的证据。
Biomed Res. 2010 Feb;31(1):27-34. doi: 10.2220/biomedres.31.27.
6
LncRNA-PCAT1 maintains characteristics of dermal papilla cells and promotes hair follicle regeneration by regulating miR-329/Wnt10b axis.LncRNA-PCAT1 通过调控 miR-329/Wnt10b 轴维持真皮乳头细胞特征并促进毛囊再生。
Exp Cell Res. 2020 Sep 1;394(1):112031. doi: 10.1016/j.yexcr.2020.112031. Epub 2020 Apr 24.
7
Role of hair papilla cells on induction and regeneration processes of hair follicles.毛乳头细胞在毛囊诱导和再生过程中的作用。
Wound Repair Regen. 1998 Nov-Dec;6(6):524-30. doi: 10.1046/j.1524-475x.1998.60605.x.
8
Boehmite enhances hair follicle growth via stimulation of dermal papilla cells by upregulating β-catenin signalling.水合氧化铝通过上调β-连环蛋白信号通路刺激真皮乳头细胞来促进毛囊生长。
Exp Dermatol. 2020 Mar;29(3):341-348. doi: 10.1111/exd.14051. Epub 2019 Nov 12.
9
[Biological activity of biomimetic dermal papilla spheres prepared by culture of dermal papilla cells of mice based on hanging drops of gelatin methacrylate and its hair-inducing function in nude mice].[基于甲基丙烯酸明胶悬滴法培养小鼠真皮乳头细胞制备的仿生真皮乳头球体的生物学活性及其在裸鼠中的毛发生成功能]
Zhonghua Shao Shang Za Zhi. 2021 Aug 20;37(8):770-780. doi: 10.3760/cma.j.cn501120-20210330-00109.
10
Biological characterization of cultured dermal papilla cells and hair follicle regeneration in vitro and in vivo.体外和体内培养的真皮乳头细胞的生物学特性及毛囊再生
Chin Med J (Engl). 2006 Feb 20;119(4):275-81.

引用本文的文献

1
Research Trends and Hotspots in Female Pattern Hair Loss: A Bibliometric Study.女性型脱发的研究趋势与热点:一项文献计量学研究
J Cosmet Dermatol. 2025 Aug;24(8):e70369. doi: 10.1111/jocd.70369.
2
Modulating metal-organic frameworks by surface engineering of stearic acid modification for follicular drug delivery and enhanced hair growth promotion.通过硬脂酸修饰的表面工程调控金属有机框架用于毛囊药物递送及增强毛发生长促进作用。
J Nanobiotechnology. 2025 Feb 18;23(1):118. doi: 10.1186/s12951-025-03234-z.

本文引用的文献

1
Comparing Current Therapeutic Modalities of Androgenic Alopecia: A Literature Review of Clinical Trials.雄激素性脱发的当前治疗方式比较:临床试验文献综述
Cureus. 2023 Jul 31;15(7):e42768. doi: 10.7759/cureus.42768. eCollection 2023 Jul.
2
Oxidative stress and alopecia areata.氧化应激与斑秃
Front Med (Lausanne). 2023 Jun 15;10:1181572. doi: 10.3389/fmed.2023.1181572. eCollection 2023.
3
Cuticle - Designed by nature for the sake of the hair.表皮 - 为了头发的生长而被大自然设计。
Int J Cosmet Sci. 2022 Jun;44(3):343-362. doi: 10.1111/ics.12782. Epub 2022 May 26.
4
Treatment options for androgenetic alopecia: Efficacy, side effects, compliance, financial considerations, and ethics.雄激素性脱发的治疗选择:疗效、副作用、依从性、经济考虑因素和伦理问题。
J Cosmet Dermatol. 2021 Dec;20(12):3759-3781. doi: 10.1111/jocd.14537. Epub 2021 Nov 6.
5
HY7015 Promotes Hair Growth in a Telogenic Mouse Model.HY7015 促进休止期小鼠模型的毛发生长。
J Med Food. 2021 Jul;24(7):741-748. doi: 10.1089/jmf.2020.4860.
6
Photobiomodulation therapy for hair regeneration: A synergetic activation of β-CATENIN in hair follicle stem cells by ROS and paracrine WNTs.光生物调节疗法促进毛发生长:ROS 和旁分泌 WNTs 协同激活毛囊干细胞中的β-CATENIN。
Stem Cell Reports. 2021 Jun 8;16(6):1568-1583. doi: 10.1016/j.stemcr.2021.04.015. Epub 2021 May 20.
7
Male and female pattern hair loss: Treatable and worth treating.男性型和女性型脱发:可治疗且值得治疗。
Cleve Clin J Med. 2021 Mar 1;88(3):173-182. doi: 10.3949/ccjm.88a.20014.
8
Expansion and characterization of epithelial stem cells with potential for cyclical hair regeneration.具有周期性毛发生长潜能的上皮干细胞的扩增和特性。
Sci Rep. 2021 Feb 10;11(1):1173. doi: 10.1038/s41598-020-80624-3.
9
Do Kimchi and Probiotics as a Functional Food Improve Androgenetic Alopecia? A Clinical Pilot Study.泡菜和益生菌作为功能性食品能否改善雄激素性脱发?一项临床初步研究。
World J Mens Health. 2020 Jan;38(1):95-102. doi: 10.5534/wjmh.180119. Epub 2019 Aug 5.
10
The role of the lung microbiota and the gut-lung axis in respiratory infectious diseases.肺部微生物群和肠-肺轴在呼吸感染性疾病中的作用。
Cell Microbiol. 2018 Dec;20(12):e12966. doi: 10.1111/cmi.12966. Epub 2018 Oct 30.