Suppr超能文献

额窦创伤的管理:手术干预及并发症的回顾性研究

Management of frontal sinus trauma: a retrospective study of surgical interventions and complications.

作者信息

Kim InKyeong, Kim Jeong-Mo, Kim Jiha, Lee Seung Jin, Nam Eui-Cheol

机构信息

Department of Neurosurgery, Kangwon National University Hospital, Chuncheon, Korea.

Department of Oral & Maxillofacial Surgery, Kangwon National University Hospital, Baengnyeong-ro 156, Chuncheon, Gangwon-do, 24289, Korea.

出版信息

Maxillofac Plast Reconstr Surg. 2024 Jan 18;46(1):4. doi: 10.1186/s40902-024-00414-z.

Abstract

BACKGROUND

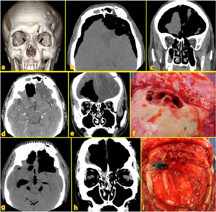
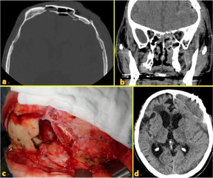
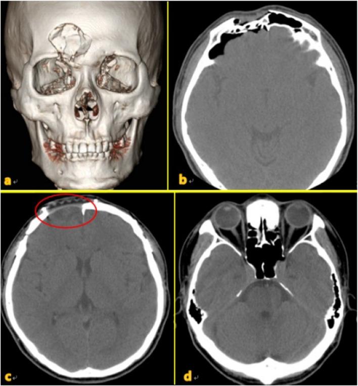
Frontal sinus injuries are relatively rare among facial bone traumas. Without proper treatment, they can lead to fatal intracranial complications, including meningitis or brain abscesses, as well as aesthetic and functional sequelae. The management of frontal sinus injuries remains controversial, with various treatment methods and outcomes being reported. This article describes the clinical characteristics, surgical methods, and outcomes among 17 patients who underwent surgery for frontal sinus injury and related complications.

CASE PRESENTATION

We retrospectively included 17 patients who underwent surgery for frontal sinus injury and its related complications at the Kangwon National University Hospital between July 2010 and September 2021. Among them, six underwent simple open reduction and fixation of the anterior wall, eight underwent sinus obliteration, and three underwent cranialization. Two patients who underwent sinus obliteration died due to infection-related complications. The patient who underwent cranialization reported experiencing chronic headache and expressed dissatisfaction regarding the esthetic outcomes of the forehead. Except for these three patients, the other patients achieved satisfactory esthetic and functional recovery.

CONCLUSION

Active surgical management of frontal sinus injuries is often required owing to the various complications caused by these injuries; however, several factors, including the fracture type, clinical presentation, related craniomaxillofacial injury, and medical history, should be considered while formulating the treatment plan. Surgical treatment through the opening of the frontal sinus should be actively considered in patients with severely damaged posterior wall fractures and those at risk of developing infection.

摘要

背景

额窦损伤在面骨创伤中相对少见。若未得到恰当治疗,可导致致命的颅内并发症,包括脑膜炎或脑脓肿,以及美学和功能后遗症。额窦损伤的治疗仍存在争议,有多种治疗方法及结果被报道。本文描述了17例因额窦损伤及相关并发症接受手术的患者的临床特征、手术方法及结果。

病例报告

我们回顾性纳入了2010年7月至2021年9月间在江原国立大学医院因额窦损伤及其相关并发症接受手术的17例患者。其中,6例行前壁单纯切开复位内固定术,8例行鼻窦闭塞术,3例行颅骨化手术。2例行鼻窦闭塞术的患者因感染相关并发症死亡。接受颅骨化手术的患者报告有慢性头痛,并对前额的美学效果表示不满。除这3例患者外,其他患者均获得了满意的美学和功能恢复。

结论

由于额窦损伤会引发多种并发症,故常需积极的手术治疗;然而,在制定治疗方案时应考虑多种因素,包括骨折类型、临床表现、相关颅颌面损伤及病史等。对于后壁骨折严重受损且有感染风险的患者,应积极考虑通过开放额窦进行手术治疗。

https://cdn.ncbi.nlm.nih.gov/pmc/blobs/f686/10794673/808ce8e1415e/40902_2024_414_Fig1_HTML.jpg

文献AI研究员

20分钟写一篇综述,助力文献阅读效率提升50倍。

立即体验

用中文搜PubMed

大模型驱动的PubMed中文搜索引擎

马上搜索

文档翻译

学术文献翻译模型,支持多种主流文档格式。

立即体验