Kalchev Emilian, Georgiev Radoslav, Ivanova Darina
Department of Diagnostic Imaging, St Marina University Hospital, Varna, Bulgaria.
Department of Diagnostic Imaging, Interventional Radiology and Radiotherapy, Medical University of Varna, Bulgaria.
Cereb Circ Cogn Behav. 2024 Jan 2;6:100200. doi: 10.1016/j.cccb.2024.100200. eCollection 2024.
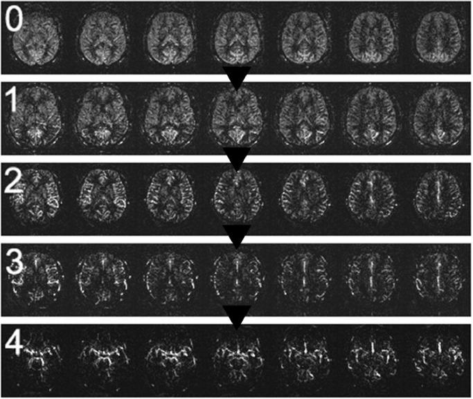
The aim of this study was to develop and validate a visual rating scale for evaluating global arterial spin labeling (ASL) perfusion changes in the brain, with potential applications in a variety of conditions that impact general brain blood supply and perfusion.
We employed a five-stage scale (0 being normal and 4 indicating the most severe perfusion decline) to assess 156 patients using a 3D pulsed ASL technique. Three radiologists independently reviewed the images, and inter-rater reliability of the visual rating scale was evaluated.
The ASL stages showed a consistent distribution among the patients. The inter-rater reliability among the three radiologists, as measured by the Intraclass Correlation Coefficient (ICC), was 0.982.
Our findings suggest that this visual rating scale can be effectively implemented in everyday practice to evaluate global perfusion changes in the context of cardiovascular diseases, cerebrovascular diseases, cerebral small vessel disease, and other conditions that alter brain vascularization and perfusion. Further research is needed to explore the full range of clinical applications and to refine the scale for optimal utility.
本研究的目的是开发并验证一种视觉评分量表,用于评估大脑的整体动脉自旋标记(ASL)灌注变化,该量表在影响大脑总体血液供应和灌注的各种病症中具有潜在应用价值。
我们采用了一个五级量表(0表示正常,4表示最严重的灌注下降),使用三维脉冲ASL技术对156例患者进行评估。三名放射科医生独立审查图像,并评估视觉评分量表的评分者间信度。
ASL各阶段在患者中呈现出一致的分布。通过组内相关系数(ICC)测量,三名放射科医生之间的评分者间信度为0.982。
我们的研究结果表明,这种视觉评分量表可在日常实践中有效应用,以评估心血管疾病、脑血管疾病、脑小血管疾病以及其他改变脑血管化和灌注的病症背景下的整体灌注变化。需要进一步研究以探索其全部临床应用范围,并完善该量表以实现最佳效用。