Antimicrobial Pharmacodynamics and Therapeutics, Department of Pharmacology, University of Liverpool, Liverpool Health Partners, Liverpool, United Kingdom.
Charles River Laboratories, Reno, Nevada, USA.
mBio. 2024 Feb 14;15(2):e0316523. doi: 10.1128/mbio.03165-23. Epub 2024 Jan 18.
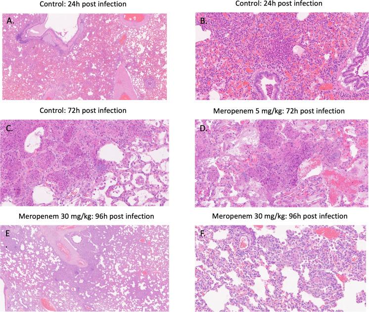
Hospital-acquired pneumonia (HAP) is a leading cause of morbidity and mortality, commonly caused by . Meropenem is a commonly used therapeutic agent, although emergent resistance occurs during treatment. We used a rabbit HAP infection model to assess the bacterial kill and resistance pharmacodynamics of meropenem. Meropenem 5 mg/kg administered subcutaneously (s.c.) q8h (±amikacin 3.33-5 mg/kg q8h administered intravenously[i.v.]) or meropenem 30 mg/kg s.c. q8h regimens were assessed in a rabbit lung infection model infected with , with bacterial quantification and phenotypic/genotypic characterization of emergent resistant isolates. The pharmacokinetic/pharmacodynamic output was fitted to a mathematical model, and human-like regimens were simulated to predict outcomes in a clinical context. Increasing meropenem monotherapy demonstrated a dose-response effect to bacterial kill and an inverted U relationship with emergent resistance. The addition of amikacin to meropenem suppressed the emergence of resistance. A network of porin loss, efflux upregulation, and increased expression of AmpC was identified as the mechanism of this emergent resistance. A bridging simulation using human pharmacokinetics identified meropenem 2 g i.v. q8h as the licensed clinical regimen most likely to suppress resistance. We demonstrate an innovative experimental platform to phenotypically and genotypically characterize bacterial emergent resistance pharmacodynamics in HAP. For meropenem, we have demonstrated the risk of resistance emergence during therapy and identified two mitigating strategies: (i) regimen intensification and (ii) use of combination therapy. This platform will allow pre-clinical assessment of emergent resistance risk during treatment of HAP for other antimicrobials, to allow construction of clinical regimens that mitigate this risk.IMPORTANCEThe emergence of antimicrobial resistance (AMR) during antimicrobial treatment for hospital-acquired pneumonia (HAP) is a well-documented problem (particularly in pneumonia caused by ) that contributes to the wider global antimicrobial resistance crisis. During drug development, regimens are typically determined by their sufficiency to achieve bactericidal effect. Prevention of the emergence of resistance pharmacodynamics is usually not characterized or used to determine the regimen. The innovative experimental platform described here allows characterization of the emergence of AMR during the treatment of HAP and the development of strategies to mitigate this. We have demonstrated this specifically for meropenem-a broad-spectrum antibiotic commonly used to treat HAP. We have characterized the antimicrobial resistance pharmacodynamics of meropenem when used to treat HAP, caused by initially meropenem-susceptible , phenotypically and genotypically. We have also shown that intensifying the regimen and using combination therapy are both strategies that can both treat HAP and suppress the emergence of resistance.
医院获得性肺炎(HAP)是发病率和死亡率的主要原因,通常由 引起。美罗培南是一种常用的治疗药物,但在治疗过程中会出现紧急耐药性。我们使用兔 HAP 感染模型来评估美罗培南的杀菌和耐药性药效动力学。评估了兔肺部感染模型中使用的美罗培南 5mg/kg 皮下(s.c.)每 8 小时(±阿米卡星 3.33-5mg/kg 每 8 小时静脉内[iv.])或美罗培南 30mg/kg s.c.每 8 小时给药方案,感染了 ,对紧急耐药分离株进行细菌定量和表型/基因型特征描述。将药代动力学/药效动力学输出拟合到数学模型中,并模拟人类样方案以预测临床情况下的结果。增加美罗培南单药治疗显示出对杀菌的剂量反应效应和与紧急耐药性的倒 U 关系。阿米卡星与美罗培南联合使用可抑制耐药性的出现。鉴定出一种孔蛋白缺失、外排上调和 AmpC 表达增加的网络作为这种紧急耐药性的机制。使用人体药代动力学进行桥接模拟,确定美罗培南 2g iv.q8h 是最有可能抑制耐药性的许可临床方案。我们展示了一种创新的实验平台,用于表型和基因型表征 HAP 中细菌紧急耐药性的药效动力学。对于美罗培南,我们已经证明了在治疗过程中出现耐药性的风险,并确定了两种缓解策略:(i)方案强化和(ii)联合治疗。该平台将允许在治疗 HAP 的其他抗菌药物的治疗过程中进行临床前评估,以构建减轻这种风险的临床方案。
在治疗医院获得性肺炎(HAP)期间使用抗菌药物时出现抗菌药物耐药性(AMR)是一个有据可查的问题(特别是由 引起的肺炎),这导致了更广泛的全球抗菌药物耐药性危机。在药物开发过程中,方案通常取决于其是否足以实现杀菌效果。通常不会对耐药性出现的药效动力学进行特征描述或用于确定方案。这里描述的创新实验平台允许对 HAP 治疗期间 AMR 的出现进行特征描述,并制定减轻这种情况的策略。我们已经专门针对美罗培南进行了证明-一种常用于治疗 HAP 的广谱抗生素。我们已经表型和基因型地描述了美罗培南治疗由最初对美罗培南敏感的 引起的 HAP 时的抗菌耐药性药效动力学。我们还表明,强化方案和使用联合疗法都是可以治疗 HAP 并抑制耐药性出现的策略。