Montisci Roberta, Soro Cinzia, Demelas Roberta, Agus Elena, Follesa Alessio, Siragusa Gesualdo, Nissardi Vincenzo
Cardiologia-UTIC, Policlinico 'D. Casula', Azienda Ospedaliero-Universitaria-Cagliari, Department of Clinical Sciences and Public Health, University of Cagliari, SS. 554, Km 4,5, Monserrato, Cagliari 09042, Italy.
Cardiologia-UTIC, Struttura Semplice di Cardiostimolazione, Policlinico 'D. Casula', Azienda Ospedaliero-Universitaria-Cagliari, SS. 554, Km 4,5, Monserrato, Cagliari 09042, Italy.
Eur Heart J Case Rep. 2024 Jan 5;8(1):ytae004. doi: 10.1093/ehjcr/ytae004. eCollection 2024 Jan.
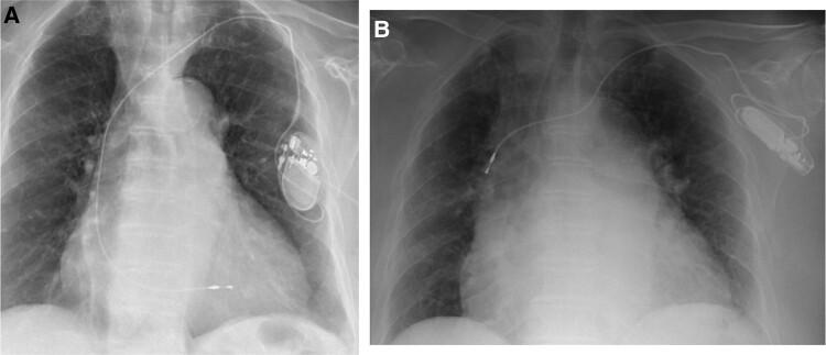
Twiddler syndrome (TS) is a complication of cardiac implantable electronic device (CIED) implantation, caused by the deliberate or unconscious manipulation of the device by the patient himself, which results in dislocation of the leads by retraction towards the subcutaneous pocket.
This report describes two clinical cases that occurred in our centre, for which two different solutions were successfully implemented. In the first case, a complete removal of the stimulation system was performed, and a leadless pacemaker (PM; Medtronic Micra VR) was implanted. In the second case, the patient underwent a revision procedure. The PM was disconnected, and the electrodes were debrided, a submuscular pocket for the PM was created, and at the end of the procedure, the PM was anchored to the pectoralis major.
Twiddler syndrome is a not so rare and serious complication of CIED implantation, leading to device malfunctioning and higher risk of infection of the pocket due to multiple re-interventions. In these two cases, different surgical solutions were performed, both resulting to be effective to solve the effects of TS.
旋弄综合征(TS)是心脏植入式电子设备(CIED)植入后的一种并发症,由患者本人故意或无意识地摆弄设备引起,导致导线向皮下囊袋回缩而脱位。
本报告描述了在我们中心发生的两例临床病例,并成功实施了两种不同的解决方案。第一例中,对刺激系统进行了完全移除,并植入了无导线起搏器(PM;美敦力Micra VR)。第二例中,患者接受了翻修手术。断开了PM,清理了电极,为PM创建了一个肌下囊袋,手术结束时,将PM固定在胸大肌上。
旋弄综合征是CIED植入后一种并不罕见且严重的并发症,由于多次再次干预,会导致设备故障以及囊袋感染风险增加。在这两例病例中,实施了不同的手术解决方案,结果均有效解决了TS的影响。