Suppr超能文献

计算机断层血管造影术在预测严重创伤性脑损伤手术效果和预后中的价值。

The value of computed tomography angiography in predicting the surgical effect and prognosis of severe traumatic brain injury.

机构信息

Department of Neurosurgery, 904th Hospital of Joint Logistic Support Force of PLA, Wuxi Clinical College of Anhui Medical University, Xingyuan North Road No. 101, Liangxi District, Wuxi, 214044, Jiangsu Province, China.

Department of Human Anatomy and Neurobiology, School of Basic Medical Science, Central South University, Changsha, Hunan Province, China.

出版信息

Sci Rep. 2024 Jan 20;14(1):1819. doi: 10.1038/s41598-024-52385-w.

Abstract

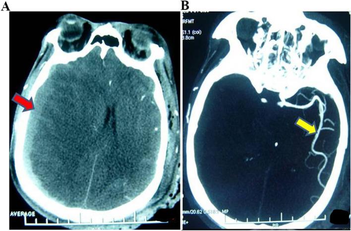
It is difficult to predict the surgical effect and outcome of severe traumatic brain injury (TBI) before surgery. This study aims to approve an evaluation method of computed tomography angiography (CTA) to predict the effect of surgery and outcome in severe TBI. Between January 2010 and January 2020, we retrospectively reviewed 358 severe TBI patients who underwent CTA at admission and reexamination. CTA data were evaluated for the presence of cerebrovascular changes, including cerebrovascular shift (CS), cerebral vasospasm (CVS), large artery occlusion (LAO), and deep venous system occlusion (DVSO). Medical records were reviewed for baseline clinical characteristics and the relationship between CTA changes and outcomes. Cerebrovascular changes were identified in 247 (69.0%) of 358 severe TBI patients; only 25 (10.12%) of them had poor outcomes, and 162 (65.6%) patients had a good recovery. Eighty-three (23.18%) patients were diagnosed with CVS, 10 (12.05%) had a good outcome, 57 (68.67%) had severe disability and 16 (19.28%) had a poor outcome. There were twenty-six (7.3%) patients who had LAO and thirty-one (8.7%) patients who had DVSO; no patients had good recovery regardless of whether they had the operation or not. Cerebrovascular injuries and changes are frequent after severe TBI and correlate closely with prognosis. CTA is an important tool in evaluating the severity, predicting the operation effect and prognosis, and guiding therapy for severe TBI. Well-designed, multicenter, randomized controlled trials are needed to evaluate the value of CTA for severe TBI in the future.

摘要

在手术前,很难预测严重创伤性脑损伤(TBI)的手术效果和结果。本研究旨在通过 CT 血管造影(CTA)评估方法来预测严重 TBI 患者的手术效果和预后。2010 年 1 月至 2020 年 1 月,我们回顾性分析了 358 例入院时和复查时接受 CTA 的严重 TBI 患者。对 CTA 数据进行脑血管变化评估,包括脑血管移位(CS)、脑血管痉挛(CVS)、大动脉闭塞(LAO)和深静脉系统闭塞(DVSO)。查阅病历了解患者的基线临床特征,以及 CTA 变化与结局的关系。在 358 例严重 TBI 患者中,247 例(69.0%)存在脑血管变化;其中只有 25 例(10.12%)预后不良,162 例(65.6%)恢复良好。83 例(23.18%)患者诊断为 CVS,10 例(12.05%)预后良好,57 例(68.67%)重度残疾,16 例(19.28%)预后不良。26 例(7.3%)患者有 LAO,31 例(8.7%)患者有 DVSO;无论是否手术,均无患者恢复良好。严重 TBI 后常发生脑血管损伤和变化,与预后密切相关。CTA 是评估严重程度、预测手术效果和预后以及指导严重 TBI 治疗的重要工具。未来需要进行设计良好的、多中心、随机对照试验来评估 CTA 在严重 TBI 中的价值。

https://cdn.ncbi.nlm.nih.gov/pmc/blobs/e2a0/10799957/da6586a140ae/41598_2024_52385_Fig1_HTML.jpg

文献AI研究员

20分钟写一篇综述,助力文献阅读效率提升50倍。

立即体验

用中文搜PubMed

大模型驱动的PubMed中文搜索引擎

马上搜索

文档翻译

学术文献翻译模型,支持多种主流文档格式。

立即体验