Suppr超能文献

创伤性脑损伤神经血管并发症的神经影像学检查

Neuroimaging for neurovascular complications of traumatic brain injury.

作者信息

Saitta Laura, Resaz Martina, Robba Chiara, Rebella Giacomo, Rolla Bigliani Claudia, Salsano Giancarlo, Del Sette Bruno, Mavilio Nicola, Pasetti Francesco, Patroniti Nicolò, Castellan Lucio, Roccatagliata Luca

机构信息

U.O. Neuroradiologia, Ospedale Policlinico San Martino, IRCCS for Oncology and Neuroscience, Genoa, Italy.

U.O. Neuroradiologia, Istituto Giannina Gaslini IRCCS, Genoa, Italy.

出版信息

Crit Care. 2025 Aug 18;29(1):362. doi: 10.1186/s13054-025-05586-2.

Abstract

BACKGROUND

Traumatic brain injury typically causes extra-axial and/or intra-axial bleeding including subarachnoid hemorrhage, intraparenchymal hemorrhage, subdural hematomas and epidural hematomas. Less commonly, trauma can cause cerebrovascular complications, which involve either the arterial or the venous side. Because of the rarity of these pathological conditions, guidelines and recommendations for their management are still controversial.

MAIN BODY

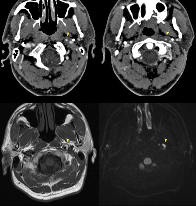
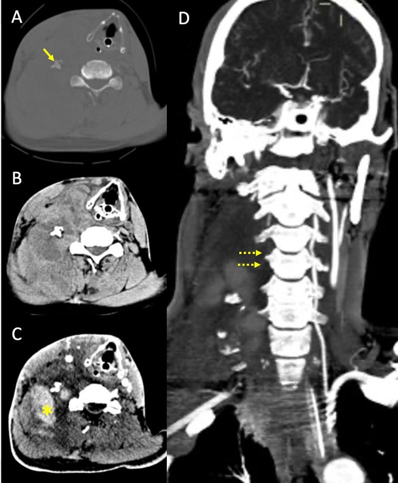
The objective of this work is to describe the possible cerebrovascular complications of critically ill traumatic brain injured patients and to understand the most common underlying mechanisms and radiological features as well as their management. A variety of pathological entities will be addressed, such as post-traumatic aneurysms, carotid-cavernous fistula, arterial occlusion, arterial dissection (in potential association with brain ischemia), as well as arterial rupture/avulsion and post-traumatic venous thrombosis. Neurovascular complications of head trauma vary depending on the traumatic mechanism, on the site of impact and on the osseous structures involved. Early diagnosis is mostly based on Computed Tomography/Computed Tomography Angiography (CT/CTA) whose findings help guide patient management by detecting vascular lesions potentially leading to neurological deterioration. Magnetic resonance imaging may be useful in selected cases. Today Digital Subtraction Angiography (DSA) is mostly a diagnostic problem-solving tool when CTA findings are equivocal but advanced endovascular interventional techniques have improved the therapeutic possibilities in post-traumatic vascular complications.  CONCLUSIONS: Neurovascular complications are not common after head trauma but should not be overlooked because they might lead to severe and life-threatening consequences. Early diagnosis, and a multidisciplinary collaboration including neuroradiologists, neurosurgeons and neurointensivists is fundamental in order to prevent and minimize secondary brain damage in this population.

摘要

背景

创伤性脑损伤通常会导致轴外和/或轴内出血,包括蛛网膜下腔出血、脑实质内出血、硬膜下血肿和硬膜外血肿。较少见的是,创伤可引起脑血管并发症,累及动脉或静脉侧。由于这些病理状况罕见,其治疗的指南和建议仍存在争议。

正文

这项工作的目的是描述重症创伤性脑损伤患者可能出现的脑血管并发症,并了解最常见的潜在机制、放射学特征及其治疗方法。将探讨多种病理实体,如创伤后动脉瘤、颈动脉海绵窦瘘、动脉闭塞、动脉夹层(可能与脑缺血相关),以及动脉破裂/撕裂和创伤后静脉血栓形成。头部创伤的神经血管并发症因创伤机制、撞击部位和所涉及的骨性结构而异。早期诊断主要基于计算机断层扫描/计算机断层扫描血管造影(CT/CTA),其结果有助于通过检测可能导致神经功能恶化的血管病变来指导患者的治疗。在某些特定情况下,磁共振成像可能有用。如今,当CTA结果不明确时,数字减影血管造影(DSA)大多是一种解决诊断问题的工具,但先进的血管内介入技术已改善了创伤后血管并发症的治疗可能性。

结论

神经血管并发症在头部创伤后并不常见,但不应被忽视,因为它们可能导致严重的危及生命的后果。早期诊断以及包括神经放射科医生、神经外科医生和神经重症监护医生在内的多学科合作对于预防和尽量减少该人群的继发性脑损伤至关重要。

https://cdn.ncbi.nlm.nih.gov/pmc/blobs/369f/12362949/0a07a3d40a2d/13054_2025_5586_Fig1_HTML.jpg

文献检索

告别复杂PubMed语法,用中文像聊天一样搜索,搜遍4000万医学文献。AI智能推荐,让科研检索更轻松。

立即免费搜索

文件翻译

保留排版,准确专业,支持PDF/Word/PPT等文件格式,支持 12+语言互译。

免费翻译文档

深度研究

AI帮你快速写综述,25分钟生成高质量综述,智能提取关键信息,辅助科研写作。

立即免费体验