Suppr超能文献

N-亚硝吗啉诱导大鼠内分泌器官的嗜酸性细胞转化。

N-Nitrosomorpholine-induced oncocytic transformation in rat endocrine organs.

机构信息

Division of Endocrinology and Metabolism, Darica Farabi Training and Research Hospital, Kocaeli, Turkey.

Experimental Medicine Research and Application Unit, Kocaeli University, Kocaeli, Turkey.

出版信息

Eur J Med Res. 2024 Jan 20;29(1):64. doi: 10.1186/s40001-024-01654-5.

Abstract

BACKGROUND

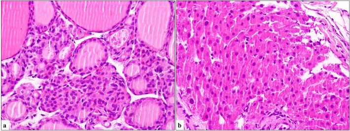
N-Nitrosomorpholine (NMO) is one of the most common N-nitroso compounds. An oncocytic transformation has been demonstrated in renal tubules of NMO-treated rats. In our study, we aimed to investigate the potential transformation of oncocytic cells in 6 endocrine organs, i.e., thyroid, adrenal and pituitary glands, pancreas, testis, and bone, of NMO-exposed rats.

METHODS

Thirty male rats were born and raised. Fifteen of them were given a single dose of 320 mg NMO per kg body weight, dissolved in drinking water, by a gavage tube. At the end of 52 weeks, the animals in both series were killed. Right after the killing, 6 different endocrine organs (hypophysis, thyroid, pancreas, adrenal gland, bone [femur], and testicles) of each animal were excised.

RESULTS

There was no evidence of oncocytic cell development in the control group. In contrast, oncocytes were observed in 8 out of 13 NMO-treated rats: 2 in the adrenal sections, 1 in the thyroid sections, 3 in the pituitary sections, and 2 in the pancreas sections. Thesticle and bone sections were completely normal.

CONCLUSIONS

We showed that NMO induced an oncocytic change in pancreas, thyroid, pituitary, and adrenal glands. To date, no identified specific environmental risk factors that lead to an oncocytic transformation in endocrine glands have been reported previously. Given the increasing prevalence of endocrine-disrupting chemicals in the environment, personal care products, manufactured goods, and food sources, there is a need to advance our understanding of the pathological mechanisms underlying oncocytosis in endocrine organs.

摘要

背景

N-亚硝基吗啉(NMO)是最常见的 N-亚硝胺化合物之一。在 NMO 处理的大鼠的肾小管中已经证明了一种嗜酸性细胞转化。在我们的研究中,我们旨在研究 NMO 暴露大鼠的 6 种内分泌器官(甲状腺、肾上腺和垂体、胰腺、睾丸和骨骼)中嗜酸性细胞转化的潜在可能性。

方法

30 只雄性大鼠出生并长大。其中 15 只通过灌胃管给予每公斤体重 320mg NMO 的单次剂量,溶于饮用水中。在第 52 周结束时,两组动物均被处死。在处死之后,立即从每个动物身上取出 6 种不同的内分泌器官(垂体、甲状腺、胰腺、肾上腺、骨骼[股骨]和睾丸)。

结果

在对照组中没有发现嗜酸性细胞发育的证据。相比之下,在 13 只 NMO 处理的大鼠中有 8 只观察到嗜酸性细胞:2 只在肾上腺切片中,1 只在甲状腺切片中,3 只在垂体切片中,2 只在胰腺切片中。睾丸和骨骼切片完全正常。

结论

我们表明 NMO 诱导了胰腺、甲状腺、垂体和肾上腺的嗜酸性细胞变化。迄今为止,尚未报道过先前导致内分泌腺嗜酸性细胞转化的特定环境风险因素。鉴于环境中内分泌干扰化学物质、个人护理产品、制成品和食物来源的日益流行,需要深入了解内分泌器官嗜酸性细胞形成的病理机制。

https://cdn.ncbi.nlm.nih.gov/pmc/blobs/ceb9/10799477/91a40b559cfb/40001_2024_1654_Fig1_HTML.jpg

文献AI研究员

20分钟写一篇综述,助力文献阅读效率提升50倍。

立即体验

用中文搜PubMed

大模型驱动的PubMed中文搜索引擎

马上搜索

文档翻译

学术文献翻译模型,支持多种主流文档格式。

立即体验