Suppr超能文献

预测新冠病毒病结局:跨不同数据集的机器学习预测

Predicting COVID-19 Outcomes: Machine Learning Predictions Across Diverse Datasets.

作者信息

Panç Kemal, Hürsoy Nur, Başaran Mustafa, Yazici Mümin Murat, Kaba Esat, Nalbant Ercan, Gündoğdu Hasan, Gürün Enes

机构信息

Radiology, Recep Tayyip Erdoğan Education and Research Hospital, Rize, TUR.

Emergency Medicine, Recep Tayyip Erdoğan Education and Research Hospital, Rize, TUR.

出版信息

Cureus. 2023 Dec 22;15(12):e50932. doi: 10.7759/cureus.50932. eCollection 2023 Dec.

Abstract

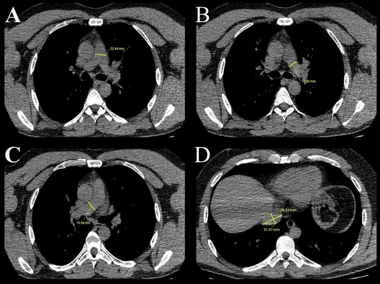
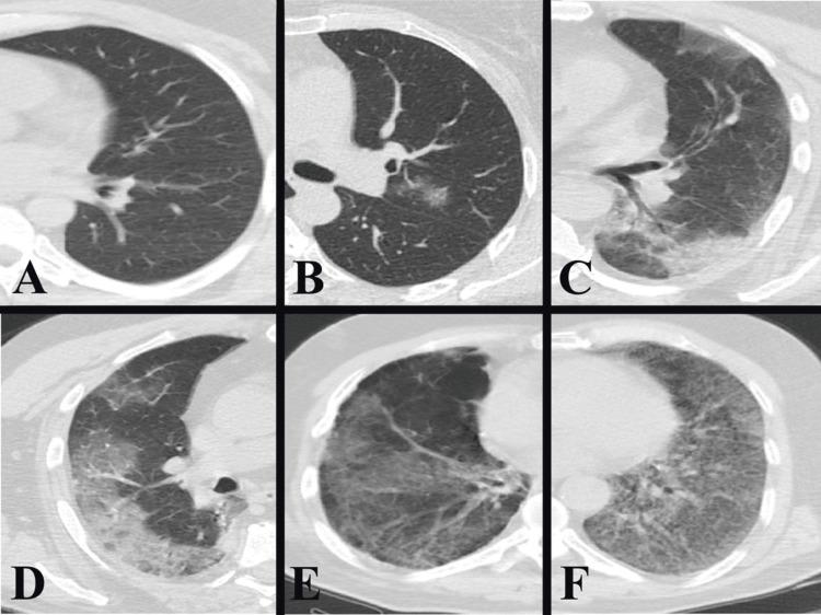
Background The COVID-19 infection has spread rapidly since its emergence and has affected a large part of the global population. With the increasing number of cases, researchers are trying to predict the prognosis of patients by using different data with artificial intelligence methods such as machine learning (ML). In this study, we aimed to predict mortality risk in COVID-19 patients using ML algorithms with different datasets. Methodology In this retrospective study, we evaluated the fever, oxygen saturation, laboratory results, thorax computed tomography (CT) findings, and comorbid diseases at admission to the hospital of 404 patients whose diagnosis was confirmed by the reverse transcription polymerase chain reaction test. Different datasets were created by combining the data. The Synthetic Minority Oversampling Technique was used to reduce the imbalance in the dataset. K-nearest neighbors, support vector machine, stochastic gradient descent, random forest, neural network, naive Bayes, logistic regression, gradient boosting, XGBoost, and AdaBoost models were used to create the ML algorithm, and the accuracy rates of mortality prediction were compared. Results When the dataset was created with CT parenchyma score, pulmonary artery and inferior vena cava diameters, and laboratory results, mortality was predicted with an accuracy of 98.4% with the gradient boosting model. Conclusions The study demonstrates that patient prognosis can be accurately predicted using simple measurements from thorax CT scans and laboratory findings.

摘要

背景 自新冠病毒病(COVID-19)感染出现以来迅速传播,已影响全球大部分人口。随着病例数增加,研究人员正尝试通过机器学习(ML)等人工智能方法利用不同数据预测患者预后。在本研究中,我们旨在使用不同数据集的ML算法预测COVID-19患者的死亡风险。方法 在这项回顾性研究中,我们评估了404例经逆转录聚合酶链反应检测确诊的患者入院时的发热、血氧饱和度、实验室检查结果、胸部计算机断层扫描(CT)结果及合并症。通过合并数据创建不同数据集。使用合成少数过采样技术减少数据集中的不平衡。使用K近邻、支持向量机、随机梯度下降、随机森林、神经网络、朴素贝叶斯、逻辑回归、梯度提升、XGBoost和AdaBoost模型创建ML算法,并比较死亡预测的准确率。结果 当使用CT实质评分、肺动脉和下腔静脉直径及实验室检查结果创建数据集时,梯度提升模型预测死亡率的准确率为98.4%。结论 该研究表明,使用胸部CT扫描的简单测量结果和实验室检查结果可准确预测患者预后。

https://cdn.ncbi.nlm.nih.gov/pmc/blobs/dd2d/10800012/705343af4638/cureus-0015-00000050932-i01.jpg

文献AI研究员

20分钟写一篇综述,助力文献阅读效率提升50倍。

立即体验

用中文搜PubMed

大模型驱动的PubMed中文搜索引擎

马上搜索

文档翻译

学术文献翻译模型,支持多种主流文档格式。

立即体验