Suppr超能文献

一名中风后癫痫患者出现难治性癫痫持续状态,可能为散发性克雅氏病:病例报告

Probable Sporadic Creutzfeldt-Jakob Disease Presenting as Refractory Status Epilepticus in a Poststroke Epilepsy Patient: A Case Report.

作者信息

Sogano Junki, Kosugi Kenzo, Okano Atsushi, Nihei Yoshihiro, Watanabe Narumi, Nakahara Jin, Toda Masahiro

机构信息

Department of Neurosurgery, Keio University School of Medicine, Tokyo, Japan.

Department of Neurology, Keio University School of Medicine, Tokyo, Japan.

出版信息

NMC Case Rep J. 2023 Dec 20;10:349-354. doi: 10.2176/jns-nmc.2023-0166. eCollection 2023.

Abstract

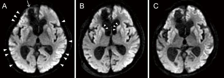
In this study, we report on a case of probable sporadic Creutzfeldt-Jakob disease (sCJD) diagnosed after a difficult course of status epilepticus (SE) in a patient with poststroke epilepsy. The patient was admitted with progressive cognitive decline and convulsive SE; therefore, it was initially thought that the patient had developed SE due to nonadherence to antiseizure medication (ASM) use, but despite treatment with ASMs after admission, no improvement was noted in consciousness disturbance or lateralized periodic discharges (LPDs) on electroencephalogram (EEG) examination. After a refractory course, the progression of LPDs to generalized periodic discharges (GPDs) on EEG and abnormal magnetic resonance imaging (MRI) findings met the diagnostic criteria of sCJD. Even if the patient had epilepsy, such as poststroke epilepsy, as in this case, it is essential to consider other underlying causes, including CJD in cases of superrefractory SE.

摘要

在本研究中,我们报告了一例可能为散发性克雅氏病(sCJD)的病例,该病例是在一名患有中风后癫痫的患者经历了艰难的癫痫持续状态(SE)病程后被诊断出来的。患者因进行性认知衰退和惊厥性SE入院;因此,最初认为患者是由于未坚持使用抗癫痫药物(ASM)而发生SE,但尽管入院后使用了ASM治疗,意识障碍或脑电图(EEG)检查中的侧化周期性放电(LPD)均未改善。经过一个难治性病程后,EEG上LPD进展为全身性周期性放电(GPD)以及异常的磁共振成像(MRI)结果符合sCJD的诊断标准。即使患者患有癫痫,如本例中的中风后癫痫,在超难治性SE的情况下,考虑包括CJD在内的其他潜在病因也是至关重要的。

https://cdn.ncbi.nlm.nih.gov/pmc/blobs/004a/10796903/8a3f50731c9b/2188-4226-10-0349_g001.jpg

文献AI研究员

20分钟写一篇综述,助力文献阅读效率提升50倍。

立即体验

用中文搜PubMed

大模型驱动的PubMed中文搜索引擎

马上搜索

文档翻译

学术文献翻译模型,支持多种主流文档格式。

立即体验