• 文献检索
  • 文档翻译
  • 深度研究
  • 学术资讯
  • Suppr Zotero 插件Zotero 插件
  • 邀请有礼
  • 套餐&价格
  • 历史记录
应用&插件
Suppr Zotero 插件Zotero 插件浏览器插件Mac 客户端Windows 客户端微信小程序
定价
高级版会员购买积分包购买API积分包
服务
文献检索文档翻译深度研究API 文档MCP 服务
关于我们
关于 Suppr公司介绍联系我们用户协议隐私条款
关注我们

Suppr 超能文献

核心技术专利:CN118964589B侵权必究
粤ICP备2023148730 号-1Suppr @ 2026

文献检索

告别复杂PubMed语法,用中文像聊天一样搜索,搜遍4000万医学文献。AI智能推荐,让科研检索更轻松。

立即免费搜索

文件翻译

保留排版,准确专业,支持PDF/Word/PPT等文件格式,支持 12+语言互译。

免费翻译文档

深度研究

AI帮你快速写综述,25分钟生成高质量综述,智能提取关键信息,辅助科研写作。

立即免费体验

使用合成肽鉴定牛IgG1 Fc受体(boFcγRIII)上的线性Fc结合位点

Identification of the Linear Fc-Binding Site on the Bovine IgG1 Fc Receptor (boFcγRIII) Using Synthetic Peptides.

作者信息

Wang Ruining, Guo Junqing, Li Ge, Wang Xun, Yang Jifei, Li Qingmei, Zhang Gaiping

机构信息

Key Laboratory of Animal Immunology, Henan Academy of Agricultural Sciences, Zhengzhou 450002, China.

College of Veterinary Medicine, Henan University of Animal Husbandry and Economics, Zhengzhou 450046, China.

出版信息

Vet Sci. 2024 Jan 8;11(1):24. doi: 10.3390/vetsci11010024.

DOI:10.3390/vetsci11010024
PMID:38250930
原文链接:https://pmc.ncbi.nlm.nih.gov/articles/PMC10818675/
Abstract

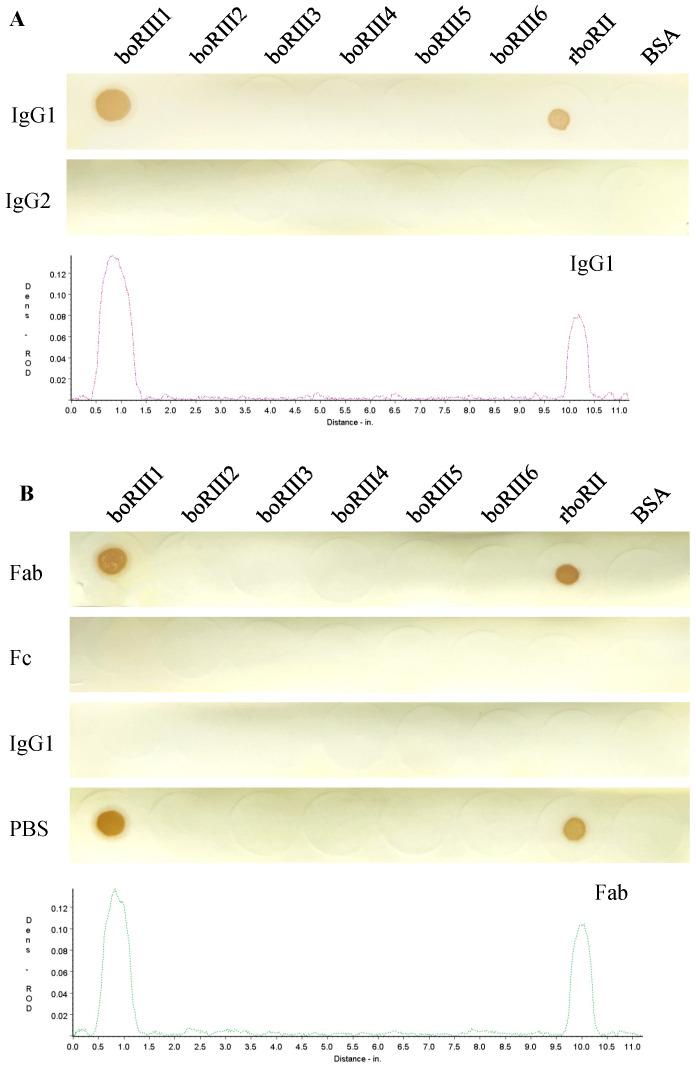
The bovine IgG1 Fc receptor (boFcγRIII) is a homologue to human FcγRIII (CD16) that binds bovine IgGI with medium-low affinity. In order to identify the Fc-binding site on the bovine IgG1 Fc receptor (boFcγRIII), peptides derived from the second extracellular domain (EC2) of boFcγRIII were synthesized and conjugated with the carrier protein. With a Dot-blot assay, the ability of the peptides to bind bovine IgG1 was determined, and the IgG1-binding peptide was also identified via truncation and mutation. The minimal peptide AQRVVN corresponding to the sequence 98-103 of boFcγRIII bound bovine IgG1 in Dot-blot, suggesting that it represents a linear ligand-binding site located in the putative A-B loop of the boFcγRIII EC2 domain. Mutation analysis of the peptide showed that the residues of Ala, Gln, Val, Val and Asn within the Fc-binding site are critical for IgG1 binding on boFcγRIII. The functional peptide identified in this paper is of great value to the IgG-Fc interaction study and FcR-targeting drug development.

摘要

牛IgG1 Fc受体(boFcγRIII)是人类FcγRIII(CD16)的同源物,与牛IgG1具有中低亲和力。为了鉴定牛IgG1 Fc受体(boFcγRIII)上的Fc结合位点,合成了源自boFcγRIII第二个细胞外结构域(EC2)的肽,并将其与载体蛋白偶联。通过斑点印迹分析,确定了肽与牛IgG1结合的能力,还通过截短和突变鉴定了IgG1结合肽。对应于boFcγRIII序列98-103的最小肽AQRVVN在斑点印迹中与牛IgG1结合,表明它代表位于boFcγRIII EC2结构域假定A-B环中的线性配体结合位点。对该肽的突变分析表明,Fc结合位点内的丙氨酸、谷氨酰胺、缬氨酸、缬氨酸和天冬酰胺残基对于boFcγRIII上的IgG1结合至关重要。本文鉴定的功能性肽对IgG-Fc相互作用研究和FcR靶向药物开发具有重要价值。

https://cdn.ncbi.nlm.nih.gov/pmc/blobs/5134/10818675/14c783abf8d6/vetsci-11-00024-g006.jpg
https://cdn.ncbi.nlm.nih.gov/pmc/blobs/5134/10818675/1ba231c850dc/vetsci-11-00024-g001.jpg
https://cdn.ncbi.nlm.nih.gov/pmc/blobs/5134/10818675/0162b36f0288/vetsci-11-00024-g002.jpg
https://cdn.ncbi.nlm.nih.gov/pmc/blobs/5134/10818675/66cf89c97445/vetsci-11-00024-g003.jpg
https://cdn.ncbi.nlm.nih.gov/pmc/blobs/5134/10818675/e84a4202e9fb/vetsci-11-00024-g004.jpg
https://cdn.ncbi.nlm.nih.gov/pmc/blobs/5134/10818675/6cf0146656da/vetsci-11-00024-g005.jpg
https://cdn.ncbi.nlm.nih.gov/pmc/blobs/5134/10818675/14c783abf8d6/vetsci-11-00024-g006.jpg
https://cdn.ncbi.nlm.nih.gov/pmc/blobs/5134/10818675/1ba231c850dc/vetsci-11-00024-g001.jpg
https://cdn.ncbi.nlm.nih.gov/pmc/blobs/5134/10818675/0162b36f0288/vetsci-11-00024-g002.jpg
https://cdn.ncbi.nlm.nih.gov/pmc/blobs/5134/10818675/66cf89c97445/vetsci-11-00024-g003.jpg
https://cdn.ncbi.nlm.nih.gov/pmc/blobs/5134/10818675/e84a4202e9fb/vetsci-11-00024-g004.jpg
https://cdn.ncbi.nlm.nih.gov/pmc/blobs/5134/10818675/6cf0146656da/vetsci-11-00024-g005.jpg
https://cdn.ncbi.nlm.nih.gov/pmc/blobs/5134/10818675/14c783abf8d6/vetsci-11-00024-g006.jpg

相似文献

1
Identification of the Linear Fc-Binding Site on the Bovine IgG1 Fc Receptor (boFcγRIII) Using Synthetic Peptides.使用合成肽鉴定牛IgG1 Fc受体(boFcγRIII)上的线性Fc结合位点
Vet Sci. 2024 Jan 8;11(1):24. doi: 10.3390/vetsci11010024.
2
Identification of the linear epitope for Fc-binding on the bovine IgG2 Fc receptor (boFcgamma2R) using synthetic peptides.利用合成肽鉴定牛IgG2 Fc受体(boFcgamma2R)上与Fc结合的线性表位。
FEBS Lett. 2006 Feb 20;580(5):1383-90. doi: 10.1016/j.febslet.2006.01.060. Epub 2006 Jan 26.
3
Identification of a linear epitope for Fc-binding in the mouse FcγRIII.鉴定小鼠 FcγRIII 中与 Fc 结合的线性表位。
Peptides. 2010 Sep;31(9):1684-8. doi: 10.1016/j.peptides.2010.05.022. Epub 2010 Jun 8.
4
Bovine FcgammaRIII with a single extracellular domain.具有单个细胞外结构域的牛FcγRIII
Res Vet Sci. 2000 Apr;68(2):115-8. doi: 10.1053/rvsc.1999.0343.
5
Recognition of IgG by Fcgamma receptor. The role of Fc glycosylation and the binding of peptide inhibitors.Fcγ受体对IgG的识别。Fc糖基化的作用及肽抑制剂的结合
J Biol Chem. 2001 May 11;276(19):16478-83. doi: 10.1074/jbc.M100351200. Epub 2001 Jan 31.
6
Analysis of the linear epitope for Fc-binding on the mouse IgG Fc receptor (moFcγRI) by synthetic peptide.通过合成肽分析小鼠IgG Fc受体(moFcγRI)上Fc结合的线性表位。
Genet Mol Res. 2014 Jun 18;13(2):4647-53. doi: 10.4238/2014.June.18.7.
7
Distinct effector functions mediated by Fc regions of bovine IgG subclasses and their interaction with Fc gamma receptors.牛 IgG 亚类 Fc 区介导的不同效应功能及其与 Fcγ 受体的相互作用。
Front Immunol. 2023 Nov 22;14:1286903. doi: 10.3389/fimmu.2023.1286903. eCollection 2023.
8
Functional mapping of the Fc gamma RII binding site on human IgG1 by synthetic peptides.通过合成肽对人IgG1上FcγRII结合位点进行功能图谱分析。
Eur J Immunol. 2004 Apr;34(4):1127-35. doi: 10.1002/eji.200324733.
9
Localization of the site of the murine IgG1 molecule that is involved in binding to the murine intestinal Fc receptor.参与与小鼠肠道Fc受体结合的小鼠IgG1分子位点的定位。
Eur J Immunol. 1994 Oct;24(10):2429-34. doi: 10.1002/eji.1830241025.
10
CD16a with oligomannose-type -glycans is the only "low-affinity" Fc γ receptor that binds the IgG crystallizable fragment with high affinity .具有寡甘露糖型糖基的 CD16a 是唯一能与 IgG 可结晶片段高亲和力结合的“低亲和力”Fcγ受体。
J Biol Chem. 2018 Oct 26;293(43):16842-16850. doi: 10.1074/jbc.RA118.004998. Epub 2018 Sep 13.

本文引用的文献

1
Fc-γR-dependent antibody effector functions are required for vaccine-mediated protection against antigen-shifted variants of SARS-CoV-2.Fc-γR 依赖性抗体效应功能是疫苗介导预防 SARS-CoV-2 抗原漂移变体所必需的。
Nat Microbiol. 2023 Apr;8(4):569-580. doi: 10.1038/s41564-023-01359-1. Epub 2023 Apr 3.
2
Role of FcγRIII in the nasal cavity of BALB/c mice in the primary amebic meningoencephalitis protection model.FcγRIII 在原发性阿米巴脑膜脑炎保护模型中 BALB/c 小鼠鼻腔中的作用。
Parasitol Res. 2023 May;122(5):1087-1105. doi: 10.1007/s00436-023-07810-w. Epub 2023 Mar 13.
3
The CD16 and CD32b Fc-gamma receptors regulate antibody-mediated responses in mouse natural killer cells.
CD16 和 CD32b Fc-γ 受体调节小鼠自然杀伤细胞中的抗体介导的反应。
J Leukoc Biol. 2023 Jan 10;113(1):27-40. doi: 10.1093/jleuko/qiac003.
4
A modular and self-adjuvanted multivalent vaccine platform based on porcine circovirus virus-like nanoparticles.基于猪圆环病毒样纳米颗粒的模块化自佐剂多价疫苗平台。
J Nanobiotechnology. 2022 Nov 24;20(1):493. doi: 10.1186/s12951-022-01710-4.
5
Targeting the high affinity receptor, FcγRI, in autoimmune disease, neuropathy, and cancer.靶向自身免疫性疾病、神经病变和癌症中的高亲和力受体FcγRI。
Immunother Adv. 2022 May 28;2(1):ltac011. doi: 10.1093/immadv/ltac011. eCollection 2022.
6
Decoding human-macaque interspecies differences in Fc-effector functions: The structural basis for CD16-dependent effector function in Rhesus macaques.解析人-食蟹猴种间 Fc 效应功能差异:恒河猴 CD16 依赖性效应功能的结构基础。
Front Immunol. 2022 Sep 5;13:960411. doi: 10.3389/fimmu.2022.960411. eCollection 2022.
7
From CD16a Biology to Antibody-Dependent Cell-Mediated Cytotoxicity Improvement.从CD16a生物学特性到抗体依赖的细胞介导的细胞毒性改善
Front Immunol. 2022 Jun 3;13:913215. doi: 10.3389/fimmu.2022.913215. eCollection 2022.
8
Identification of Novel HBV/HDV Entry Inhibitors by Pharmacophore- and QSAR-Guided Virtual Screening.基于药效团和定量构效关系指导的虚拟筛选鉴定新型 HBV/HDV 进入抑制剂。
Viruses. 2021 Jul 29;13(8):1489. doi: 10.3390/v13081489.
9
Requirement of Fc-Fc Gamma Receptor Interaction for Antibody-Based Protection against Emerging Virus Infections.抗体基于Fc-Fcγ 受体相互作用的新兴病毒感染的保护作用要求。
Viruses. 2021 May 31;13(6):1037. doi: 10.3390/v13061037.
10
ProMod3-A versatile homology modelling toolbox.ProMod3——一个通用的同源建模工具包。
PLoS Comput Biol. 2021 Jan 28;17(1):e1008667. doi: 10.1371/journal.pcbi.1008667. eCollection 2021 Jan.