Suppr超能文献

小儿肾尤文肉瘤:病例系列及文献综述

Pediatric Ewing Sarcoma of Kidney: A Case Series and Review of Literature.

作者信息

Salim Areej, Ali Sajid, Latif Tariq

机构信息

Department of Surgical Oncology, Shaukat Khanum Memorial Cancer Hospital and Research Centre, Lahore, Pakistan.

出版信息

J Cancer Allied Spec. 2024 Jan 22;10(1):563. doi: 10.37029/jcas.v10i1.563. eCollection 2024.

Abstract

INTRODUCTION

Renal Ewing sarcoma is an aggressive and rare malignancy affecting children and adolescents. Limited data on its management contribute to uncertainties in treatment.

CASE DESCRIPTION

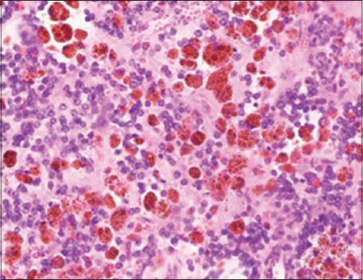
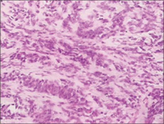
We present two pediatric cases of renal Ewing sarcoma. Both cases emphasize the significance of accurate diagnosis, multimodal treatment, and long-term follow-up in achieving favorable outcomes. Accurate diagnosis of renal Ewing sarcoma is crucial for effective management. Multimodal treatment involving neoadjuvant chemotherapy, surgical resection and staging with lymph node sampling, and chemotherapy continuation has shown promising results in our cases. Long-term follow-up is essential for monitoring disease progression and ensuring optimal outcomes.

PRACTICAL IMPLICATIONS

There is limited data published about these renal tumors, especially in the pediatric population, and most studies lack long-term follow-up, with uncertain management due to limited data. This data will add to the newer, multimodal approach and form the basis for future meta-analysis to help formulate guidelines for upcoming international meetings. Continued research efforts are necessary to optimize strategies and improve the prognosis for pediatric patients with renal Ewing sarcoma.

摘要

引言

肾尤文肉瘤是一种侵袭性罕见恶性肿瘤,影响儿童和青少年。关于其治疗的有限数据导致治疗存在不确定性。

病例描述

我们展示了两例儿童肾尤文肉瘤病例。这两个病例都强调了准确诊断、多模式治疗和长期随访对于取得良好预后的重要性。肾尤文肉瘤的准确诊断对于有效治疗至关重要。在我们的病例中,包括新辅助化疗、手术切除及淋巴结采样分期以及继续化疗的多模式治疗已显示出有希望的结果。长期随访对于监测疾病进展和确保最佳预后至关重要。

实际意义

关于这些肾肿瘤的已发表数据有限,尤其是在儿科人群中,并且大多数研究缺乏长期随访,由于数据有限导致治疗存在不确定性。这些数据将补充更新的多模式方法,并为未来的荟萃分析奠定基础,以帮助制定即将召开的国际会议的指南。持续的研究努力对于优化策略和改善儿童肾尤文肉瘤患者的预后是必要的。

https://cdn.ncbi.nlm.nih.gov/pmc/blobs/07c8/10793718/ca516ef5479a/JCAS-10-563-g001.jpg

文献AI研究员

20分钟写一篇综述,助力文献阅读效率提升50倍。

立即体验

用中文搜PubMed

大模型驱动的PubMed中文搜索引擎

马上搜索

文档翻译

学术文献翻译模型,支持多种主流文档格式。

立即体验