Yang Xuezhi, Zhao Yingjie, Wei Qi, Zhu Xuemin, Wang Luping, Zhang Wankang, Liu Xiaoyi, Kuai Jiajie, Wang Fengling, Wei Wei
Institute of Clinical Pharmacology, Anhui Medical University, Key Laboratory of Anti-Inflammatory and Immune Medicine, Anhui Collaborative Innovation Center of Anti-Inflammatory and Immune Medicine, Ministry of Education, Hefei 230032, China.
Department of Clinical Pharmacology, the Second Affiliated Hospital of Anhui Medical University, Hefei 230601, China.
Acta Pharm Sin B. 2024 Jan;14(1):241-255. doi: 10.1016/j.apsb.2023.09.013. Epub 2023 Sep 22.
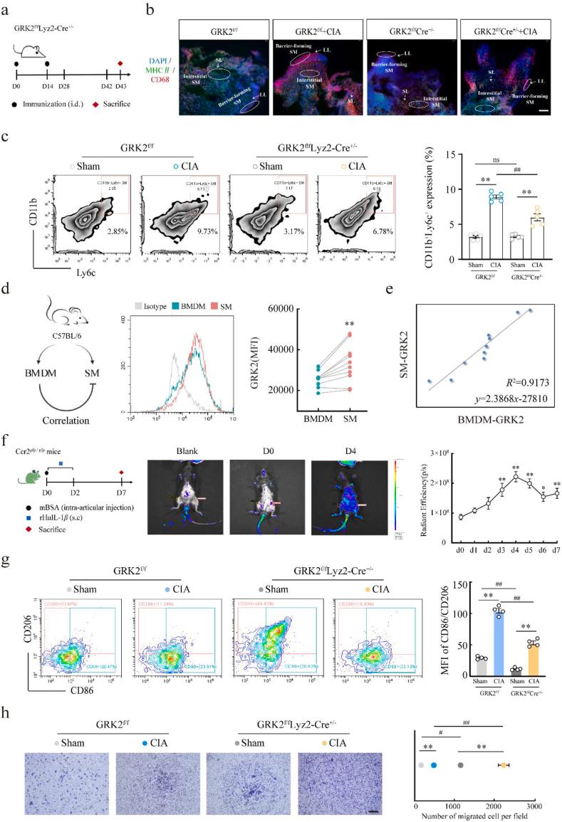
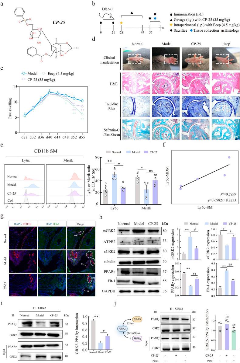
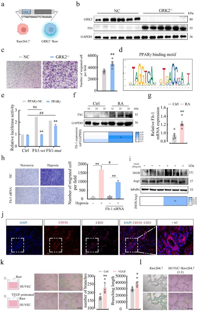
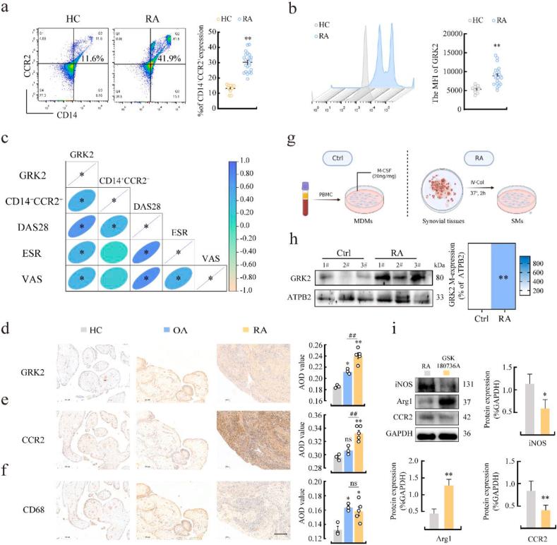
Rheumatoid arthritis (RA) is an autoimmune disease with a complex etiology. Monocyte-derived macrophages (MDMs) infiltration are associated with RA severity. We have reported the deletion of G-protein-coupled receptor kinase 2 (GRK2) reprograms macrophages toward an anti-inflammatory phenotype by recovering G-protein-coupled receptor signaling. However, as more GRK2-interacting proteins were discovered, the GRK2 interactome mechanisms in RA have been understudied. Thus, in the collagen-induced arthritis mouse model, we performed genetic deletion using -Cre mice. Synovial inflammation and M1 polarization were improved in -Cre mice. Supporting experiments with RNA-seq and dual-luciferase reporter assays identified peroxisome proliferator-activated receptor (PPAR) as a new GRK2-interacting protein. We further confirmed that fms-related tyrosine kinase 1 (Flt-1), which promoted macrophage migration to induce angiogenesis, was inhibited by GRK2-PPAR signaling. Mechanistically, excess GRK2 membrane recruitment in CIA MDMs reduced the activation of PPAR ligand-binding domain and enhanced Flt-1 transcription. Furthermore, the treatment of mice with GRK2 activity inhibitor resulted in significantly diminished CIA pathology, Flt-1 macrophages induced-synovial inflammation, and angiogenesis. Altogether, we anticipate to facilitate the elucidation of previously unappreciated details of GRK2-specific intracellular signaling. Targeting GRK2 activity is a viable strategy to inhibit MDMs infiltration, affording a distinct way to control joint inflammation and angiogenesis of RA.
类风湿性关节炎(RA)是一种病因复杂的自身免疫性疾病。单核细胞衍生的巨噬细胞(MDM)浸润与RA的严重程度相关。我们曾报道,通过恢复G蛋白偶联受体信号传导,G蛋白偶联受体激酶2(GRK2)的缺失可使巨噬细胞重编程为抗炎表型。然而,随着更多与GRK2相互作用的蛋白被发现,RA中GRK2相互作用组机制的研究仍不足。因此,在胶原诱导的关节炎小鼠模型中,我们使用 -Cre小鼠进行了基因缺失实验。在 -Cre小鼠中,滑膜炎症和M1极化得到改善。通过RNA测序和双荧光素酶报告基因检测进行的支持性实验确定过氧化物酶体增殖物激活受体 (PPAR)是一种新的与GRK2相互作用的蛋白。我们进一步证实,促进巨噬细胞迁移以诱导血管生成的fms相关酪氨酸激酶1(Flt-1)受到GRK2-PPAR信号传导的抑制。从机制上讲,CIA MDMs中过量的GRK2膜募集减少了PPAR配体结合域的激活,并增强了Flt-1转录。此外,用GRK2活性抑制剂治疗小鼠可显著减轻CIA病理、Flt-1巨噬细胞诱导的滑膜炎症和血管生成。总之,我们期望有助于阐明GRK2特异性细胞内信号传导以前未被认识的细节。靶向GRK2活性是抑制MDM浸润的可行策略,为控制RA的关节炎症和血管生成提供了一种独特的方法。