Suppr超能文献

胸部 CT 对胸腔穿刺前区分漏出性和渗出性胸腔积液的诊断准确性。

Diagnostic accuracy of thoracic CT to differentiate transudative from exudative pleural effusion prior to thoracentesis.

机构信息

Department of General Medicine, The First Affiliated Hospital, College of Clinical Medicine, Henan University of Science and Technology, Luoyang, Henan, China.

Department of Respiratory and Critical Care Medicine, The First Affiliated Hospital of Zhengzhou University, Zhengzhou, Henan, China.

出版信息

Respir Res. 2024 Jan 23;25(1):53. doi: 10.1186/s12931-024-02681-w.

Abstract

BACKGROUND

Computed tomography (CT) scan is commonly performed for pleural effusion diagnostis in the clinic. However, there are limited data assessing the accuracy of thoracic CT for the separation of transudative from exudative effusions. The study aimed to determine the diagnostic value of thoracic CT in distinguishing transudates from exudates in patients with pleural effusion.

METHODS

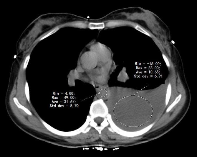
This is a two-center retrospective analysis of patients with pleural effusion, a total of 209 patients were included from The First Affiliated Hospital of Henan University of Science and Technology as the derivation cohort (Luoyang cohort), and 195 patients from the First Affiliated Hospital of Zhengzhou University as the validation cohort (Zhengzhou cohort). Patients who underwent thoracic CT scan followed by diagnostic thoracentesis were enrolled. The optimal cut-points of CT value in pleural fluid (PF) and PF to blood CT value ratio for predicting a transudative vs. exudative pleural effusions were determined in the derivation cohort and further verified in the validation cohort.

RESULTS

In the Derivation (Luoyang) cohort, patients with exudates had significantly higher CT value [13.01 (10.01-16.11) vs. 4.89 (2.31-9.83) HU] and PF to blood CT value ratio [0.37 (0.27-0.53) vs. 0.16 (0.07-0.26)] than those with transudates. With a cut-off value of 10.81 HU, the area under the curve (AUC), sensitivity, specificity, positive predictive value (PPV) and negative predictive value (NPV) of CT value were 0.85, 88.89%, 68.90%, 43.96%, and 95.76%, respectively. The optimum cut-value for PF to blood CT value ratio was 0.27 with AUC of 0.86, yielding a sensitivity of 61.11%, specificity of 86.36%, PPV of 78.57%, and NPV of 73.08%. These were further verified in the Validation (Zhengzhou) cohort.

CONCLUSIONS

CT value and PF to blood CT value ratio showed good differential abilities in predicting transudates from exudates, which may help to avoid unnecessary thoracentesis.

摘要

背景

计算机断层扫描(CT)常用于临床胸腔积液的诊断。然而,评估 CT 对胸腔积液渗出液和漏出液的区分准确性的数据有限。本研究旨在确定 CT 对胸腔积液患者渗出液和漏出液的诊断价值。

方法

这是一项回顾性的、多中心的研究,共纳入 209 例来自河南科技大学第一附属医院的胸腔积液患者(洛阳队列)和 195 例来自郑州大学第一附属医院的胸腔积液患者(郑州队列)。所有患者均接受了 CT 扫描和诊断性胸腔穿刺术。在推导队列中确定了胸腔积液 CT 值(PFCT)和 PF 与血液 CT 值比值的最佳截断点,以预测胸腔积液为渗出液或漏出液,并在验证队列中进一步验证。

结果

在推导队列(洛阳)中,渗出液组的 CT 值[13.01(10.01-16.11)比 4.89(2.31-9.83)HU]和 PF 与血液 CT 值比值[0.37(0.27-0.53)比 0.16(0.07-0.26)]明显更高。当截断值为 10.81 HU 时,CT 值的曲线下面积(AUC)、敏感度、特异度、阳性预测值(PPV)和阴性预测值(NPV)分别为 0.85、88.89%、68.90%、43.96%和 95.76%。PF 与血液 CT 值比值的最佳截断值为 0.27,AUC 为 0.86,敏感度为 61.11%,特异度为 86.36%,PPV 为 78.57%,NPV 为 73.08%。这些结果在验证队列(郑州)中得到了进一步验证。

结论

CT 值和 PF 与血液 CT 值比值在预测胸腔积液渗出液和漏出液方面具有良好的区分能力,这可能有助于避免不必要的胸腔穿刺。

https://cdn.ncbi.nlm.nih.gov/pmc/blobs/6967/10807107/22d93d1dd7bf/12931_2024_2681_Fig1_HTML.jpg

文献检索

告别复杂PubMed语法,用中文像聊天一样搜索,搜遍4000万医学文献。AI智能推荐,让科研检索更轻松。

立即免费搜索

文件翻译

保留排版,准确专业,支持PDF/Word/PPT等文件格式,支持 12+语言互译。

免费翻译文档

深度研究

AI帮你快速写综述,25分钟生成高质量综述,智能提取关键信息,辅助科研写作。

立即免费体验