Suppr超能文献

十岁女孩巨大型脑囊虫病:病例报告。

Massive neurocysticercosis in a ten-year-old girl: a case report.

机构信息

Department of Pediatrics, West China Second Hospital, Sichuan University, No. 20, Section 3, Renmin South Road, Chengdu, 610041, Sichuan Province, P. R. China.

West China Xiamen Hospital of Sichuan University, Xiamen, 361022, China.

出版信息

BMC Pediatr. 2024 Jan 24;24(1):79. doi: 10.1186/s12887-024-04530-7.

Abstract

BACKGROUND

Massive neurocysticercosis is a rare form of neurocysticercosis, and can lead to serious conditions and even death.

CASE PRESENTATION

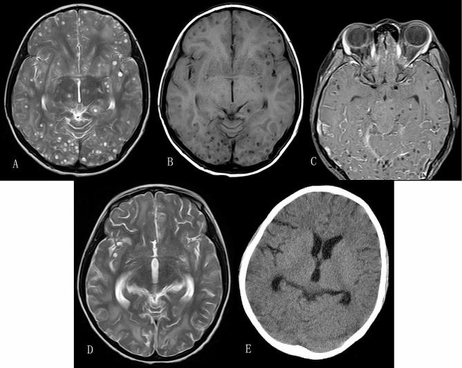
Here we present a case of ten-year-old Tibetan girl who developed headache and vomiting. Her brain magnetic resonance imaging (MRI) illustrated lots of intracranial cystic lesions, and no obvious extracranial lesions were found. Serum immunoglobulin G antibodies against cysticerci were positive by the use of an enzyme-linked immunosorbent assay (ELISA). These results in combination with her medical history were in line with massive neurocysticercosis. The patients recovered well after supportive management and antiparasitic treatment.

CONCLUSIONS

This case provides insights on the diagnosis and treatment of massive neurocysticercosis. The treatment of patients with massive neurocysticercosis should be in an individualized fashion, and the use of antiparasitic drugs in these patients must be decided after carefully weighing the risks and benefits.

摘要

背景

巨囊型脑囊虫病是脑囊虫病的一种罕见形式,可导致严重的状况,甚至死亡。

病例介绍

本案例介绍了一位十岁的藏族女孩,她出现头痛和呕吐。她的脑部磁共振成像(MRI)显示颅内有许多囊状病变,没有明显的颅外病变。酶联免疫吸附试验(ELISA)显示血清免疫球蛋白 G 抗体对囊虫呈阳性。这些结果结合她的病史,符合巨囊型脑囊虫病。患者在支持性治疗和驱虫治疗后恢复良好。

结论

本病例为巨囊型脑囊虫病的诊断和治疗提供了启示。巨囊型脑囊虫病患者的治疗应采用个体化方式,必须仔细权衡风险和收益后,才能决定是否使用驱虫药物。

https://cdn.ncbi.nlm.nih.gov/pmc/blobs/05de/10807077/c9c47e898a0a/12887_2024_4530_Figb_HTML.jpg

文献AI研究员

20分钟写一篇综述,助力文献阅读效率提升50倍。

立即体验

用中文搜PubMed

大模型驱动的PubMed中文搜索引擎

马上搜索

文档翻译

学术文献翻译模型,支持多种主流文档格式。

立即体验