• 文献检索
  • 文档翻译
  • 深度研究
  • 学术资讯
  • Suppr Zotero 插件Zotero 插件
  • 邀请有礼
  • 套餐&价格
  • 历史记录
应用&插件
Suppr Zotero 插件Zotero 插件浏览器插件Mac 客户端Windows 客户端微信小程序
定价
高级版会员购买积分包购买API积分包
服务
文献检索文档翻译深度研究API 文档MCP 服务
关于我们
关于 Suppr公司介绍联系我们用户协议隐私条款
关注我们

Suppr 超能文献

核心技术专利:CN118964589B侵权必究
粤ICP备2023148730 号-1Suppr @ 2026

文献检索

告别复杂PubMed语法,用中文像聊天一样搜索,搜遍4000万医学文献。AI智能推荐,让科研检索更轻松。

立即免费搜索

文件翻译

保留排版,准确专业,支持PDF/Word/PPT等文件格式,支持 12+语言互译。

免费翻译文档

深度研究

AI帮你快速写综述,25分钟生成高质量综述,智能提取关键信息,辅助科研写作。

立即免费体验

一名年轻白种成年人终末回肠胃肠道间质瘤的罕见病例。

A Rare Case of Terminal Ileum Gastrointestinal Stromal Tumor in a Young Caucasian Adult.

作者信息

Rao Abhinav K, Anthony Theshali, Ravenel James, Kosko Joanna, Whitaker Ian

机构信息

Internal Medicine, Trident Medical Center, North Charleston, USA.

Radiology, Charleston Imaging Specialists, Charleston, USA.

出版信息

Cureus. 2023 Dec 30;15(12):e51340. doi: 10.7759/cureus.51340. eCollection 2023 Dec.

DOI:10.7759/cureus.51340
PMID:38288239
原文链接:https://pmc.ncbi.nlm.nih.gov/articles/PMC10824467/
Abstract

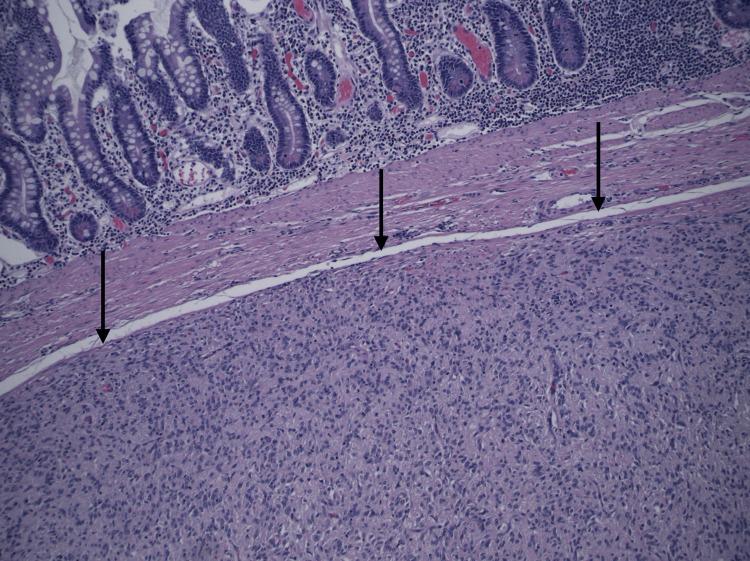
Gastrointestinal stromal tumors (GISTs) are rare in young individuals and typically affect older adults. We present the case of a previously healthy male who presented with severe hematochezia, fatigue, and dizziness. Colonoscopy did not demonstrate any colonic mass. CT of the pelvis with contrast revealed a pelvic mass measuring 7.4 cm. Biopsy confirmed a low-grade mixed-type GIST of the terminal ileum. Surgical resection was successfully performed. Histopathological analysis further characterized the tumor, and the patient was discharged with consideration of adjuvant imatinib therapy. This case underscores the importance of thorough diagnostic evaluation and multidisciplinary management for atypical presentations of gastrointestinal bleeding in young patients.

摘要

胃肠道间质瘤(GISTs)在年轻人中较为罕见,通常影响老年人。我们报告一例既往健康的男性病例,该患者出现严重便血、疲劳和头晕。结肠镜检查未发现任何结肠肿物。盆腔增强CT显示一个7.4厘米的盆腔肿物。活检证实为回肠末端低级别混合型GIST。成功进行了手术切除。组织病理学分析进一步明确了肿瘤特征,患者出院时考虑接受辅助伊马替尼治疗。该病例强调了对年轻患者非典型胃肠道出血表现进行全面诊断评估和多学科管理的重要性。

https://cdn.ncbi.nlm.nih.gov/pmc/blobs/163a/10824467/2642809c17f8/cureus-0015-00000051340-i05.jpg
https://cdn.ncbi.nlm.nih.gov/pmc/blobs/163a/10824467/9a9459797110/cureus-0015-00000051340-i04.jpg
https://cdn.ncbi.nlm.nih.gov/pmc/blobs/163a/10824467/2642809c17f8/cureus-0015-00000051340-i05.jpg
https://cdn.ncbi.nlm.nih.gov/pmc/blobs/163a/10824467/9a9459797110/cureus-0015-00000051340-i04.jpg
https://cdn.ncbi.nlm.nih.gov/pmc/blobs/163a/10824467/2642809c17f8/cureus-0015-00000051340-i05.jpg

相似文献

1
A Rare Case of Terminal Ileum Gastrointestinal Stromal Tumor in a Young Caucasian Adult.一名年轻白种成年人终末回肠胃肠道间质瘤的罕见病例。
Cureus. 2023 Dec 30;15(12):e51340. doi: 10.7759/cureus.51340. eCollection 2023 Dec.
2
A case report: Peritonitis secondary to perforated locally advanced gastrointestinal stromal tumor.病例报告:局部晚期胃肠道间质瘤穿孔继发腹膜炎
Int J Surg Case Rep. 2024 Jun;119:109739. doi: 10.1016/j.ijscr.2024.109739. Epub 2024 May 9.
3
A jejunal gastrointestinal stromal tumor with massive gastrointestinal hemorrhage treated by emergency surgery: A case report.急诊手术治疗的巨大胃肠道出血的空肠胃肠道间质瘤:一例报告。
Medicine (Baltimore). 2022 Sep 2;101(35):e30098. doi: 10.1097/MD.0000000000030098.
4
Unusual location of gastrointestinal stromal tumor (GIST): A case report and literature review of greater omentum location.胃肠道间质瘤(GIST)的罕见部位:大网膜部位的一例病例报告及文献复习
Int J Surg Case Rep. 2024 Jun;119:109793. doi: 10.1016/j.ijscr.2024.109793. Epub 2024 May 22.
5
Gastrointestinal Stromal Tumor and Ki-67 as a Prognostic Indicator.胃肠道间质瘤与Ki-67作为一种预后指标
Cureus. 2022 Jan 1;14(1):e20868. doi: 10.7759/cureus.20868. eCollection 2022 Jan.
6
Primary gastrointestinal stromal tumor of the liver: a case report.肝脏原发性胃肠道间质瘤:一例报告
Ann Med Surg (Lond). 2024 May 28;86(7):4284-4290. doi: 10.1097/MS9.0000000000002228. eCollection 2024 Jul.
7
A rare synchrony of adenocarcinoma of the ampulla with an ileal gastrointestinal stromal tumor: A case report.壶腹腺癌与回肠胃肠道间质瘤罕见同步发生:一例报告。
World J Gastrointest Oncol. 2022 Nov 15;14(11):2253-2265. doi: 10.4251/wjgo.v14.i11.2253.
8
Gastrointestinal stromal tumors (GIST) related emergencies.胃肠道间质瘤(GIST)相关急症。
Int J Surg. 2014;12(4):269-80. doi: 10.1016/j.ijsu.2014.02.004. Epub 2014 Feb 12.
9
A giant gastric stromal tumor with dizziness as the main complaint: A case report and literature review.以头晕为主要表现的巨大胃间质瘤:1例病例报告及文献复习
Int J Surg Case Rep. 2023 Sep;110:108747. doi: 10.1016/j.ijscr.2023.108747. Epub 2023 Aug 28.
10
Ripretinib for the treatment of advanced gastrointestinal stromal tumor.瑞派替尼用于治疗晚期胃肠道间质瘤。
Therap Adv Gastroenterol. 2021 Apr 15;14:17562848211008177. doi: 10.1177/17562848211008177. eCollection 2021.

本文引用的文献

1
Gastrointestinal Stromal Tumors (GIST): A Population-Based Study Using the SEER Database, including Management and Recent Advances in Targeted Therapy.胃肠道间质瘤(GIST):一项基于监测、流行病学和最终结果(SEER)数据库的人群研究,包括管理及靶向治疗的最新进展
Cancers (Basel). 2022 Jul 28;14(15):3689. doi: 10.3390/cancers14153689.
2
Racial Disparity in Incidence and Survival for Gastrointestinal Stromal Tumors (GISTs): an Analysis of SEER Database.种族差异对胃肠道间质瘤(GISTs)的发病率和生存率的影响:SEER 数据库分析。
J Racial Ethn Health Disparities. 2019 Oct;6(5):1035-1043. doi: 10.1007/s40615-019-00605-9. Epub 2019 Jun 18.
3
Gastrointestinal stromal tumors: a comprehensive review.
胃肠道间质瘤:全面综述
J Gastrointest Oncol. 2019 Feb;10(1):144-154. doi: 10.21037/jgo.2018.08.20.
4
Differential diagnosis of gastrointestinal stromal tumor by histopathology and immunohistochemistry.胃肠道间质瘤的组织病理学及免疫组织化学鉴别诊断
Transl Gastroenterol Hepatol. 2018 May 12;3:27. doi: 10.21037/tgh.2018.04.01. eCollection 2018.
5
Gastrointestinal stromal tumour.胃肠道间质瘤。
Lancet. 2013 Sep 14;382(9896):973-83. doi: 10.1016/S0140-6736(13)60106-3. Epub 2013 Apr 24.
6
Anorectal gastrointestinal stromal tumor: a case report and literature review.肛管直肠胃肠道间质瘤:一例病例报告及文献综述
Case Rep Gastrointest Med. 2013;2013:934875. doi: 10.1155/2013/934875. Epub 2013 Mar 25.
7
One vs three years of adjuvant imatinib for operable gastrointestinal stromal tumor: a randomized trial.辅助伊马替尼治疗可切除胃肠道间质瘤:一项随机试验,一年与三年的对比。
JAMA. 2012 Mar 28;307(12):1265-72. doi: 10.1001/jama.2012.347.
8
Protocol for the examination of specimens from patients with gastrointestinal stromal tumor.胃肠道间质瘤患者标本检查方案
Arch Pathol Lab Med. 2010 Feb;134(2):165-70. doi: 10.5858/134.2.165.
9
Gastrointestinal stromal tumors (GIST) in children and adolescents: A comprehensive review of the current literature.儿童和青少年胃肠道间质瘤(GIST):当前文献综述
Pediatr Blood Cancer. 2009 Dec 15;53(7):1171-9. doi: 10.1002/pbc.22123.