• 文献检索
  • 文档翻译
  • 深度研究
  • 学术资讯
  • Suppr Zotero 插件Zotero 插件
  • 邀请有礼
  • 套餐&价格
  • 历史记录
应用&插件
Suppr Zotero 插件Zotero 插件浏览器插件Mac 客户端Windows 客户端微信小程序
定价
高级版会员购买积分包购买API积分包
服务
文献检索文档翻译深度研究API 文档MCP 服务
关于我们
关于 Suppr公司介绍联系我们用户协议隐私条款
关注我们

Suppr 超能文献

核心技术专利:CN118964589B侵权必究
粤ICP备2023148730 号-1Suppr @ 2026

文献检索

告别复杂PubMed语法,用中文像聊天一样搜索,搜遍4000万医学文献。AI智能推荐,让科研检索更轻松。

立即免费搜索

文件翻译

保留排版,准确专业,支持PDF/Word/PPT等文件格式,支持 12+语言互译。

免费翻译文档

深度研究

AI帮你快速写综述,25分钟生成高质量综述,智能提取关键信息,辅助科研写作。

立即免费体验

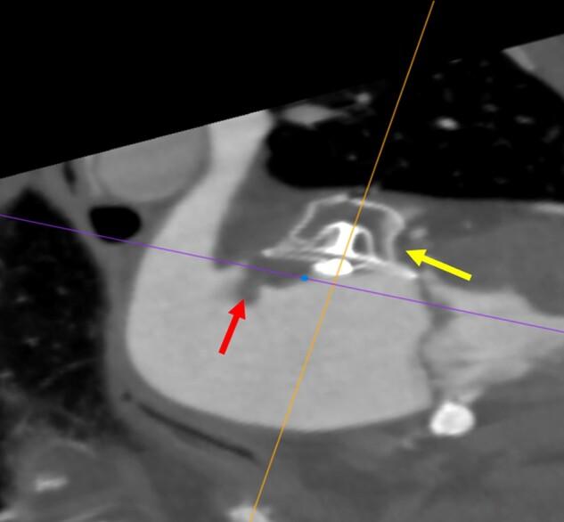
实用的左心耳封堵术非植入医师指南:国际共识文件。

Practical guide on left atrial appendage closure for the non-implanting physician: an international consensus paper.

机构信息

Medical Faculty, University of Belgrade, Belgrade, Serbia.

University Clinical Centre of Serbia, Belgrade, Serbia.

出版信息

Europace. 2024 Mar 30;26(4). doi: 10.1093/europace/euae035.

DOI:10.1093/europace/euae035
PMID:38291925
原文链接:https://pmc.ncbi.nlm.nih.gov/articles/PMC11009149/
Abstract

A significant proportion of patients who suffer from atrial fibrillation (AF) and are in need of thromboembolic protection are not treated with oral anticoagulation or discontinue this treatment shortly after its initiation. This undertreatment has not improved sufficiently despite the availability of direct oral anticoagulants which are associated with less major bleeding than vitamin K antagonists. Multiple reasons account for this, including bleeding events or ischaemic strokes whilst on anticoagulation, a serious risk of bleeding events, poor treatment compliance despite best educational attempts, or aversion to drug therapy. An alternative interventional therapy, which is not associated with long-term bleeding and is as effective as vitamin K anticoagulation, was introduced over 20 years ago. Because of significant improvements in procedural safety over the years, left atrial appendage closure, predominantly achieved using a catheter-based, device implantation approach, is increasingly favoured for the prevention of thromboembolic events in patients who cannot achieve effective anticoagulation. This management strategy is well known to the interventional cardiologist/electrophysiologist but is not more widely appreciated within cardiology or internal medicine. This article introduces the devices and briefly explains the implantation technique. The indications and device follow-up are more comprehensively described. Almost all physicians who care for adult patients will have many with AF. This practical guide, written within guideline/guidance boundaries, is aimed at those non-implanting physicians who may need to refer patients for consideration of this new therapy, which is becoming increasingly popular.

摘要

相当一部分患有心房颤动 (AF) 且需要血栓栓塞保护的患者未接受口服抗凝治疗或在开始治疗后不久就停止了治疗。尽管有直接口服抗凝剂可用,其大出血风险低于维生素 K 拮抗剂,但这种治疗不足的情况并未得到充分改善。导致这种情况的原因有很多,包括抗凝期间发生出血事件或缺血性中风、严重出血事件风险、尽管进行了最佳的教育尝试但治疗依从性仍差、或对药物治疗的反感。一种替代的介入治疗方法,它与长期出血无关,与维生素 K 抗凝一样有效,20 多年前就已经引入。由于多年来程序安全性的显著提高,主要通过导管植入设备的方法进行的左心耳封堵术,越来越多地用于预防不能有效抗凝的患者发生血栓栓塞事件。这种管理策略为介入心脏病学家/电生理学家所熟知,但在心脏病学或内科中并未得到更广泛的认可。本文介绍了相关设备并简要解释了植入技术。适应证和设备随访得到了更全面的描述。几乎所有照顾成年患者的医生都会有很多患有 AF 的患者。本实用指南在指南/指导方针的范围内编写,旨在为那些可能需要转介患者考虑这种新疗法的非植入医生提供帮助,这种疗法越来越受欢迎。

https://cdn.ncbi.nlm.nih.gov/pmc/blobs/7c8d/11009149/bc23f55f9bf7/euae035f10.jpg
https://cdn.ncbi.nlm.nih.gov/pmc/blobs/7c8d/11009149/0ab4ac5f377d/euae035_ga.jpg
https://cdn.ncbi.nlm.nih.gov/pmc/blobs/7c8d/11009149/6c92cf4dcf5d/euae035f1.jpg
https://cdn.ncbi.nlm.nih.gov/pmc/blobs/7c8d/11009149/ad4193183e1f/euae035f2.jpg
https://cdn.ncbi.nlm.nih.gov/pmc/blobs/7c8d/11009149/ed3b6e10df05/euae035f3.jpg
https://cdn.ncbi.nlm.nih.gov/pmc/blobs/7c8d/11009149/c3de89b8fa89/euae035f4.jpg
https://cdn.ncbi.nlm.nih.gov/pmc/blobs/7c8d/11009149/23d95cd9b7ad/euae035f5.jpg
https://cdn.ncbi.nlm.nih.gov/pmc/blobs/7c8d/11009149/b5dcb2bfec00/euae035f6.jpg
https://cdn.ncbi.nlm.nih.gov/pmc/blobs/7c8d/11009149/5db3e5c3564b/euae035f7.jpg
https://cdn.ncbi.nlm.nih.gov/pmc/blobs/7c8d/11009149/e60b974328b2/euae035f8.jpg
https://cdn.ncbi.nlm.nih.gov/pmc/blobs/7c8d/11009149/314374c2f830/euae035f9.jpg
https://cdn.ncbi.nlm.nih.gov/pmc/blobs/7c8d/11009149/bc23f55f9bf7/euae035f10.jpg
https://cdn.ncbi.nlm.nih.gov/pmc/blobs/7c8d/11009149/0ab4ac5f377d/euae035_ga.jpg
https://cdn.ncbi.nlm.nih.gov/pmc/blobs/7c8d/11009149/6c92cf4dcf5d/euae035f1.jpg
https://cdn.ncbi.nlm.nih.gov/pmc/blobs/7c8d/11009149/ad4193183e1f/euae035f2.jpg
https://cdn.ncbi.nlm.nih.gov/pmc/blobs/7c8d/11009149/ed3b6e10df05/euae035f3.jpg
https://cdn.ncbi.nlm.nih.gov/pmc/blobs/7c8d/11009149/c3de89b8fa89/euae035f4.jpg
https://cdn.ncbi.nlm.nih.gov/pmc/blobs/7c8d/11009149/23d95cd9b7ad/euae035f5.jpg
https://cdn.ncbi.nlm.nih.gov/pmc/blobs/7c8d/11009149/b5dcb2bfec00/euae035f6.jpg
https://cdn.ncbi.nlm.nih.gov/pmc/blobs/7c8d/11009149/5db3e5c3564b/euae035f7.jpg
https://cdn.ncbi.nlm.nih.gov/pmc/blobs/7c8d/11009149/e60b974328b2/euae035f8.jpg
https://cdn.ncbi.nlm.nih.gov/pmc/blobs/7c8d/11009149/314374c2f830/euae035f9.jpg
https://cdn.ncbi.nlm.nih.gov/pmc/blobs/7c8d/11009149/bc23f55f9bf7/euae035f10.jpg

相似文献

1
Practical guide on left atrial appendage closure for the non-implanting physician: an international consensus paper.实用的左心耳封堵术非植入医师指南:国际共识文件。
Europace. 2024 Mar 30;26(4). doi: 10.1093/europace/euae035.
2
An International Consensus Practical Guide on Left Atrial Appendage Closure for the Non-implanting Physician: Executive Summary.非植入医生左心耳封堵国际共识实用指南:执行摘要
Thromb Haemost. 2025 Sep;125(9):825-846. doi: 10.1055/a-2469-4896. Epub 2024 Dec 10.
3
Propensity-Matched Comparison of Oral Anticoagulation Versus Antiplatelet Therapy After Left Atrial Appendage Closure With WATCHMAN.经 WATCHMAN 左心耳封堵术后口服抗凝与抗血小板治疗的倾向性匹配比较。
JACC Cardiovasc Interv. 2019 Jun 10;12(11):1055-1063. doi: 10.1016/j.jcin.2019.04.004.
4
Evaluating Real-World Clinical Outcomes in Atrial Fibrillation Patients Receiving the WATCHMAN Left Atrial Appendage Closure Technology: Final 2-Year Outcome Data of the EWOLUTION Trial Focusing on History of Stroke and Hemorrhage.评估接受 WATCHMAN 左心耳封堵技术的房颤患者的真实世界临床结局:EWOLUTION 试验的最终 2 年结局数据,重点关注卒中史和出血史。
Circ Arrhythm Electrophysiol. 2019 Apr;12(4):e006841. doi: 10.1161/CIRCEP.118.006841.
5
Efficacy and safety of percutaneous left atrial appendage closure to prevent thromboembolic events in atrial fibrillation patients with high stroke and bleeding risk.经皮左心耳封堵术预防高卒中及出血风险房颤患者血栓栓塞事件的疗效与安全性。
Clin Res Cardiol. 2016 Mar;105(3):225-9. doi: 10.1007/s00392-015-0910-8. Epub 2015 Aug 30.
6
Bleeding Outcomes After Left Atrial Appendage Closure Compared With Long-Term Warfarin: A Pooled, Patient-Level Analysis of the WATCHMAN Randomized Trial Experience.左心耳封堵术后与长期华法林治疗的出血结局比较:WATCHMAN 随机试验经验的患者水平汇总分析。
JACC Cardiovasc Interv. 2015 Dec 28;8(15):1925-1932. doi: 10.1016/j.jcin.2015.08.035. Epub 2015 Nov 25.
7
Association between preprocedural thromboembolic and bleeding events under oral anticoagulation therapy and mid-term outcomes after percutaneous left atrial appendage closure.口服抗凝治疗下的术前血栓栓塞和出血事件与经皮左心耳封堵术后中期结局之间的关联
Heart Vessels. 2024 Dec;39(12):1045-1059. doi: 10.1007/s00380-024-02427-0. Epub 2024 Jun 5.
8
[Percutaneous left atrial appendage closure for stroke prevention in atrial fibrillation: is left atrial appendage closure an alternative for anticoagulation?].经皮左心耳封堵术预防心房颤动患者卒中:左心耳封堵术能否替代抗凝治疗?
Ned Tijdschr Geneeskd. 2018 Jun 15;162:D2494.
9
The Left Atrial Appendage: Target for Stroke Reduction in Atrial Fibrillation.左心耳:心房颤动中降低卒中风险的靶点。
Methodist Debakey Cardiovasc J. 2015 Apr-Jun;11(2):100-3. doi: 10.14797/mdcj-11-2-100.
10
Left atrial appendage occlusion in atrial fibrillation: shaping the future of stroke prevention.心房颤动中的左心耳封堵:塑造卒中预防的未来。
Future Cardiol. 2025 May;21(6):391-404. doi: 10.1080/14796678.2025.2484964. Epub 2025 Mar 26.

引用本文的文献

1
Streamlined concomitant pulse field ablation-based pulmonary vein isolation and left atrial appendage occlusion via a single venous access approach: a case report.通过单一静脉入路实现简化的基于脉冲场消融的肺静脉隔离与左心耳封堵:一例报告
Eur Heart J Case Rep. 2025 Jul 26;9(8):ytaf350. doi: 10.1093/ehjcr/ytaf350. eCollection 2025 Aug.
2
Comparative outcomes of left atrial appendage occlusion with and without catheter ablation: a 5-year propensity-matched analysis.有和没有导管消融的左心耳封堵术的比较结果:一项5年倾向匹配分析。
Europace. 2025 Jul 1;27(7). doi: 10.1093/europace/euaf143.
3
The 2024 ESC guidelines on atrial fibrillation: essential updates for everyday clinical practice.

本文引用的文献

1
Long-term safety and efficacy of left atrial appendage occlusion in dialysis patients with atrial fibrillation: a multi-center, prospective, open label, observational study.左心耳封堵术在房颤透析患者中的长期安全性和有效性:一项多中心、前瞻性、开放标签、观察性研究。
Clin Kidney J. 2023 Sep 4;16(12):2683-2692. doi: 10.1093/ckj/sfad221. eCollection 2023 Dec.
2
2023 ACC/AHA/ACCP/HRS Guideline for the Diagnosis and Management of Atrial Fibrillation: A Report of the American College of Cardiology/American Heart Association Joint Committee on Clinical Practice Guidelines.2023 ACC/AHA/ACCP/HRS 指南:心房颤动的诊断与管理——美国心脏病学会/美国心脏协会联合临床实践指南委员会的报告。
Circulation. 2024 Jan 2;149(1):e1-e156. doi: 10.1161/CIR.0000000000001193. Epub 2023 Nov 30.
3
《2024年欧洲心脏病学会心房颤动指南:日常临床实践的重要更新》
Intern Emerg Med. 2025 Jun 13. doi: 10.1007/s11739-025-04006-1.
4
Left atrial appendage occlusion in atrial fibrillation: shaping the future of stroke prevention.心房颤动中的左心耳封堵:塑造卒中预防的未来。
Future Cardiol. 2025 May;21(6):391-404. doi: 10.1080/14796678.2025.2484964. Epub 2025 Mar 26.
5
Left Atrial Appendage Occlusion in Patients Receiving Hemodialysis: A Viable Approach to Stroke Prevention?接受血液透析患者的左心耳封堵术:预防卒中的可行方法?
JACC Asia. 2025 Jan 21;5(1):187-190. doi: 10.1016/j.jacasi.2024.11.014. eCollection 2025 Jan.
6
Left atrial appendage occlusion and radiofrequency ablation in a patient with atrial fibrillation and dextrocardia: a case report.一名心房颤动合并右位心患者的左心耳封堵与射频消融:病例报告
Front Cardiovasc Med. 2025 Jan 15;11:1525387. doi: 10.3389/fcvm.2024.1525387. eCollection 2024.
7
Device-Assisted Left Atrial Appendage Exclusion: From Basic Sciences to Clinical Applications.器械辅助左心耳封堵:从基础科学到临床应用
J Cardiovasc Dev Dis. 2024 Oct 18;11(10):332. doi: 10.3390/jcdd11100332.
8
Incidence and predictors of 2-year mortality following percutaneous left atrial appendage occlusion in the EWOLUTION trial.在 EWOLUTION 试验中,经皮左心耳封堵术后 2 年死亡率的发生率和预测因素。
Europace. 2024 Jul 2;26(7). doi: 10.1093/europace/euae188.
9
Incidence and predictors of device-related thrombus after left atrial appendage closure with Watchman device.使用Watchman装置进行左心耳封堵术后与装置相关血栓的发生率及预测因素
Postepy Kardiol Interwencyjnej. 2024 Jun;20(2):164-171. doi: 10.5114/aic.2024.140315. Epub 2024 Jun 5.
10
Feasibility study on atrial fibrillation ablation with pulsed field ablation and concomitant occlusion of the left atrial appendage.脉冲场消融联合左心耳封堵治疗心房颤动的可行性研究。
Europace. 2024 Jul 2;26(7). doi: 10.1093/europace/euae176.
Severity of Ischemic Stroke After Left Atrial Appendage Closure vs Nonwarfarin Oral Anticoagulants.左心耳封堵术与非华法林口服抗凝剂治疗后缺血性脑卒中的严重程度。
JACC Clin Electrophysiol. 2024 Feb;10(2):270-283. doi: 10.1016/j.jacep.2023.10.012. Epub 2023 Nov 22.
4
2023 ESC Guidelines for the management of endocarditis.2023年欧洲心脏病学会感染性心内膜炎管理指南。
Eur Heart J. 2023 Oct 14;44(39):3948-4042. doi: 10.1093/eurheartj/ehad193.
5
Atrial fibrillation and stroke prevention: 25 years of research at EP Europace journal.心房颤动与卒中预防:《欧洲心脏杂志》 25 年研究成果
Europace. 2023 Aug 2;25(9). doi: 10.1093/europace/euad226.
6
Network Meta-Analysis of Initial Antithrombotic Regimens After Left Atrial Appendage Occlusion.左心耳封堵术后初始抗栓治疗方案的网状 Meta 分析。
J Am Coll Cardiol. 2023 Oct 31;82(18):1765-1773. doi: 10.1016/j.jacc.2023.08.010. Epub 2023 Aug 21.
7
Mechanisms, predictors, and evolution of severe peri-device leaks with two different left atrial appendage occluders.两种不同左心耳封堵器发生严重器械周围漏的机制、预测因素和演变。
Europace. 2023 Aug 2;25(9). doi: 10.1093/europace/euad237.
8
Impact of Device Implant Depth After Left Atrial Appendage Occlusion.左心耳封堵术后装置植入深度的影响。
JACC Cardiovasc Interv. 2023 Sep 11;16(17):2139-2149. doi: 10.1016/j.jcin.2023.05.045. Epub 2023 Aug 9.
9
Percutaneous left atrial appendage closure in patients with gastrointestinal bleeding associated with oral anticoagulants.口服抗凝剂相关胃肠道出血患者的经皮左心耳封堵术
Scand J Gastroenterol. 2023 Jul-Dec;58(12):1547-1554. doi: 10.1080/00365521.2023.2239973. Epub 2023 Jul 25.
10
Diagnostic and therapeutic pathways for the malignant left atrial appendage: European Heart Rhythm Association physician survey.左心耳恶性肿瘤的诊断和治疗途径:欧洲心律协会医师调查。
Europace. 2023 Jul 4;25(7). doi: 10.1093/europace/euad204.