Suppr超能文献

拇长屈肌腱色素沉着绒毛结节性滑膜炎:一名12岁女孩腿痛的罕见原因。

Pigmented villonodular synovitis of the flexor hallucis longus tendon: A rare cause of leg pain in a 12-year-old girl.

作者信息

Meter Joseph, Anthony Taylor, Wingender Haley, Van Tassel Dane C, Alkhalaf Dwa'a, Belthur Mohan V

机构信息

Department of Orthopedic Surgery, Valley Hospital Medical Center, 620 Shadow Ln, Las Vegas, NV 89106 USA.

College of Osteopathic Medicine, Touro University Nevada, 874 American Pacific Dr, Henderson, NV 89014 USA.

出版信息

Radiol Case Rep. 2024 Jan 13;19(4):1258-1262. doi: 10.1016/j.radcr.2023.12.053. eCollection 2024 Apr.

Abstract

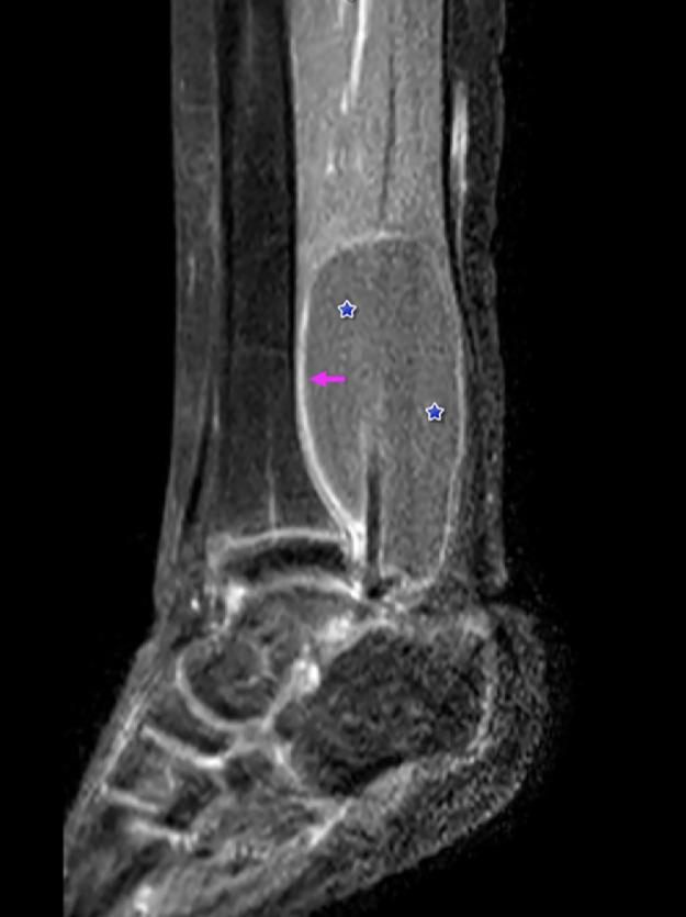
Pigmented villonodular synovitis is an uncommon benign neoplastic proliferation associated with the synovium, bursa, or tendon sheaths; most commonly occurring in the third to fourth decade of life. It is rare in children and may be painful or painless. Magnetic resonance imaging is the diagnostic study of choice. In this report, the radiologic, ultrasound, and magnetic resonance imaging findings of pigmented villonodular synovitis of the flexor hallucis longus in a 12-year-old girl are discussed. We briefly review the surgical findings as well. To our knowledge, this is the first case report that simultaneously synthesizes the imaging findings of 3 diagnostic imaging modalities for optimal visualization and is the youngest reported case of pigmented villonodular synovitis of the flexor hallucis longus tendon.

摘要

色素沉着绒毛结节性滑膜炎是一种罕见的与滑膜、滑囊或腱鞘相关的良性肿瘤性增生;最常发生于人生的第三个至第四个十年。在儿童中罕见,可能有疼痛或无痛。磁共振成像(MRI)是首选的诊断检查方法。在本报告中,讨论了一名12岁女孩拇长屈肌色素沉着绒毛结节性滑膜炎的放射学、超声和磁共振成像表现。我们也简要回顾了手术所见。据我们所知,这是第一例同时综合三种诊断成像方式的影像学表现以实现最佳可视化的病例报告,也是已报道的最年轻的拇长屈肌腱色素沉着绒毛结节性滑膜炎病例。

https://cdn.ncbi.nlm.nih.gov/pmc/blobs/8854/10825534/06566f456d73/gr1.jpg

文献AI研究员

20分钟写一篇综述,助力文献阅读效率提升50倍。

立即体验

用中文搜PubMed

大模型驱动的PubMed中文搜索引擎

马上搜索

文档翻译

学术文献翻译模型,支持多种主流文档格式。

立即体验