Suppr超能文献

邻苯二甲酸酯对肝脏和甲状腺的影响。

Effects of phthalic acid esters on the liver and thyroid.

作者信息

Hinton R H, Mitchell F E, Mann A, Chescoe D, Price S C, Nunn A, Grasso P, Bridges J W

出版信息

Environ Health Perspect. 1986 Dec;70:195-210. doi: 10.1289/ehp.8670195.

Abstract

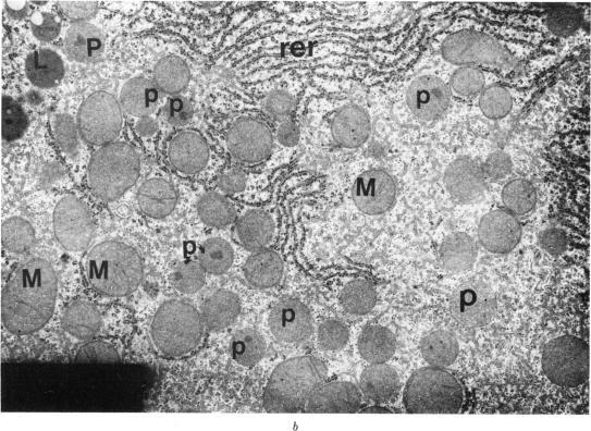
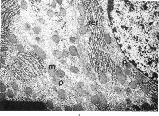
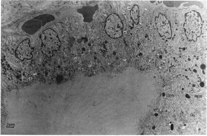
The effects, over periods from 3 days to 9 months of administration, of diets containing di-2-ethylhexyl phthalate are very similar to those observed in rats administered diets containing hypolipidemic drugs such as clofibrate. Changes occur in a characteristic order commencing with alterations in the distribution of lipid within the liver, quickly followed by proliferation of hepatic peroxisomes and induction of the specialized P-450 isoenzyme(s) catalyzing omega oxidation of fatty acids. There follows a phase of mild liver damage indicated by induction of glucose-6-phosphatase activity and a loss of glycogen, eventually leading to the formation of enlarged lysosomes through autophagy and the accumulation of lipofuscin. Associated changes are found in the kidney and thyroid. The renal changes are limited to the proximal convoluted tubules and are generally similar to changes found in the liver. The effects on the thyroid are more marked. Although the levels of thyroxine in plasma fail to about half normal values, serum triiodothyronine remains close to normal values while the appearance of the thyroid varies, very marked hyperactivity being noted 7 days after commencement of treatment, this is less marked at 14 days, but even after 9 months treatment there is clear cut evidence for hyperactivity with colloid changes which indicate this has persisted for some time. Straight chain analogs of di-2-ethylhexyl phthalate, di-n-hexyl phthalate and di-n-oxtyl phthalate differ entirely in their short-term effects on the liver and kidney but have similar effects on the thyroid. The short-term in vivo hepatic effects of the three phthalate esters can be reproduced in hepatocytes in tissue culture. All three phthalate esters, as well as clofibrate, have early marked effects on the metabolism of fatty acids in isolated hepatocytes. The nature of these changes is such as to increase storage of lipid in the liver. A hypothesis is presented to explain the progress from these initial metabolic effects to the final formation of liver tumors.

摘要

在长达9个月的给药期内,含邻苯二甲酸二(2-乙基己基)酯的饮食所产生的影响,与给大鼠喂食含氯贝丁酯等降血脂药物的饮食时所观察到的影响非常相似。变化按特定顺序发生,首先是肝脏内脂质分布改变,随后很快出现肝过氧化物酶体增殖以及催化脂肪酸ω氧化的特定P-450同工酶的诱导。接着是轻度肝损伤阶段,表现为葡萄糖-6-磷酸酶活性诱导和糖原丧失,最终通过自噬导致溶酶体增大和脂褐素积累。在肾脏和甲状腺中也发现了相关变化。肾脏变化局限于近端曲管,通常与肝脏中发现的变化相似。对甲状腺的影响更为明显。虽然血浆中甲状腺素水平降至约正常水平的一半,但血清三碘甲状腺原氨酸仍接近正常水平,而甲状腺外观会发生变化,治疗开始7天后甲状腺活动非常明显,14天时不太明显,但即使在9个月治疗后仍有明确证据表明甲状腺活动亢进且伴有胶体变化,表明这种情况持续了一段时间。邻苯二甲酸二(2-乙基己基)酯的直链类似物、邻苯二甲酸二正己酯和邻苯二甲酸二正辛酯对肝脏和肾脏的短期影响完全不同,但对甲状腺的影响相似。这三种邻苯二甲酸酯的短期体内肝脏效应可在组织培养的肝细胞中重现。所有三种邻苯二甲酸酯以及氯贝丁酯,对分离的肝细胞中的脂肪酸代谢都有早期显著影响。这些变化的性质是增加肝脏中脂质的储存。本文提出了一个假设来解释从这些初始代谢效应到最终形成肝肿瘤的过程。

https://cdn.ncbi.nlm.nih.gov/pmc/blobs/075d/1474287/5d4e3700963d/envhper00441-0189-a.jpg

文献检索

告别复杂PubMed语法,用中文像聊天一样搜索,搜遍4000万医学文献。AI智能推荐,让科研检索更轻松。

立即免费搜索

文件翻译

保留排版,准确专业,支持PDF/Word/PPT等文件格式,支持 12+语言互译。

免费翻译文档

深度研究

AI帮你快速写综述,25分钟生成高质量综述,智能提取关键信息,辅助科研写作。

立即免费体验