Suppr超能文献

发现戈谢病的一个新的家族聚集病例:一例报告

Uncovering a New Family Cluster of Gaucher Disease: A Case Report.

作者信息

Carvoeiro Ana, Costa Miguel, Silva Joana, Felgueiras Paula, Guerra Diana

机构信息

Internal Medicine, Unidade Local de Saúde do Alto Minho, Viana do Castelo, PRT.

Internal Medicine, Hospital Viana do Castelo, Viana Do Castelo, PRT.

出版信息

Cureus. 2024 Jan 3;16(1):e51604. doi: 10.7759/cureus.51604. eCollection 2024 Jan.

Abstract

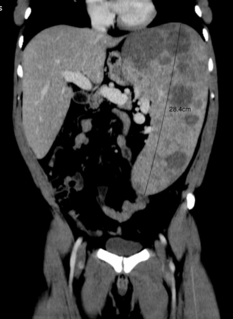
Gaucher disease (GD) is a recessive autosomal lysosomal storage disorder caused by a deficiency in glucocerebrosidase, leading to the accumulation of undigested glycolipids in the lysosomes of monocytes and macrophages. Patients with GD exhibit a spectrum of phenotypic heterogeneity and are broadly classified into three subtypes. Type 1 is the most common and is not associated with neurological damage, while types 2 and 3 are more severe, presenting with acute neuropathic and subacute neuropathic symptoms, respectively. A thorough accurate initial multisystemic assessment is crucial for evaluating the damage to all potentially affected organs and determining the disease burden. This case report highlights the intricacies of GD type 1 by providing a thorough exploration of the clinical presentation and showcasing valuable insights into the unique manifestations of the disease. The key feature was his individual and family medical history, which allowed the identification and treatment of another case within the community.

摘要

戈谢病(GD)是一种常染色体隐性溶酶体贮积症,由葡糖脑苷脂酶缺乏引起,导致未消化的糖脂在单核细胞和巨噬细胞的溶酶体中蓄积。戈谢病患者表现出一系列表型异质性,大致分为三个亚型。1型最为常见,与神经损伤无关,而2型和3型更为严重,分别表现为急性神经病变和亚急性神经病变症状。全面准确的初始多系统评估对于评估所有潜在受累器官的损伤以及确定疾病负担至关重要。本病例报告通过深入探讨临床表现并展示对该疾病独特表现的宝贵见解,突出了1型戈谢病的复杂性。关键特征是他的个人和家族病史,这使得能够在社区内识别并治疗另一例病例。

https://cdn.ncbi.nlm.nih.gov/pmc/blobs/139d/10837006/7c52dede5fbb/cureus-0016-00000051604-i01.jpg

文献检索

告别复杂PubMed语法,用中文像聊天一样搜索,搜遍4000万医学文献。AI智能推荐,让科研检索更轻松。

立即免费搜索

文件翻译

保留排版,准确专业,支持PDF/Word/PPT等文件格式,支持 12+语言互译。

免费翻译文档

深度研究

AI帮你快速写综述,25分钟生成高质量综述,智能提取关键信息,辅助科研写作。

立即免费体验