Suppr超能文献

经完全切除治疗的股骨远端骨软骨瘤:一例报告

Osteochondroma of Distal Femur Managed With Complete Excision: A Case Report.

作者信息

Jelti Ousama, El Alaoui Oussama, Lachkar Adnane, Abdeljaouad Najib, Yacoubi Hicham

机构信息

Orthopaedics, Mohammed VI University Hospital, Oujda, MAR.

Orthopaedics and Traumatology, Centre Hospitalier Universitaire (CHU) Mohammed VI, Oujda, MAR.

出版信息

Cureus. 2024 Jan 5;16(1):e51714. doi: 10.7759/cureus.51714. eCollection 2024 Jan.

Abstract

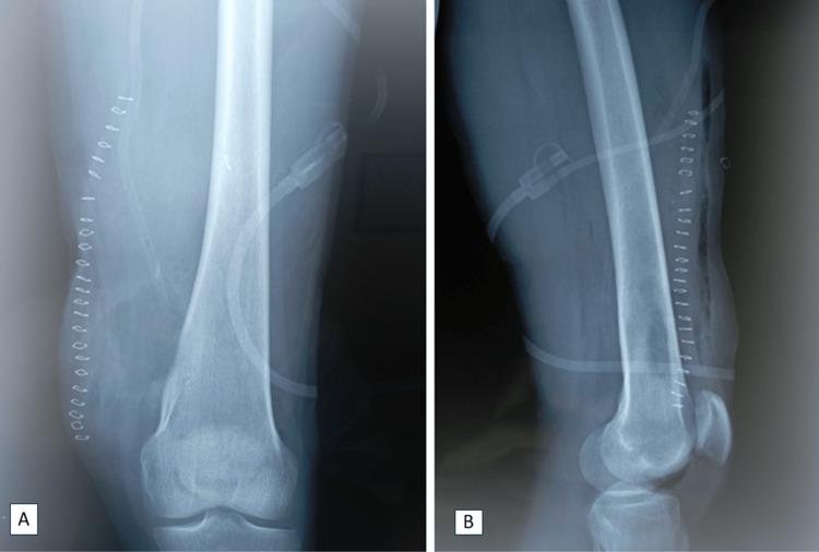
Osteochondromas are benign bone tumors that usually occur between the ages of 10 and 30, with no marked gender preference. These lesions result from the separation of the epiphyseal growth plate and are categorized as growth plate development abnormalities rather than true neoplasms. It is important to note that long-term solitary osteochondromas can evolve into osteosarcomas, with chondrosarcoma being the most common among them. However, the risk of recurrence is considerably reduced if the tumor is completely resected from its original site, with no residual perichondrium or cartilage cap left in place. In this context, a 29-year-old man with osteochondroma in the distal femur was successfully treated with complete resection, showing a favorable evolution.

摘要

骨软骨瘤是一种良性骨肿瘤,通常发生在10岁至30岁之间,无明显性别差异。这些病变是由于骨骺生长板分离所致,被归类为生长板发育异常而非真正的肿瘤。需要注意的是,长期存在的孤立性骨软骨瘤可演变为骨肉瘤,其中软骨肉瘤最为常见。然而,如果肿瘤从其原发部位完全切除,且不残留软骨膜或软骨帽,则复发风险会大大降低。在此背景下,一名29岁患有股骨远端骨软骨瘤的男性患者通过完全切除成功治愈,病情进展良好。

https://cdn.ncbi.nlm.nih.gov/pmc/blobs/901f/10839421/91e263e52550/cureus-0016-00000051714-i01.jpg

文献AI研究员

20分钟写一篇综述,助力文献阅读效率提升50倍。

立即体验

用中文搜PubMed

大模型驱动的PubMed中文搜索引擎

马上搜索

文档翻译

学术文献翻译模型,支持多种主流文档格式。

立即体验