Department of Orthopaedics and Traumatology, San Raffaele Scientific Institute, Via Olgettina 60, 20132, Milan, Italy.
J Orthop Traumatol. 2010 Dec;11(4):251-5. doi: 10.1007/s10195-010-0116-9. Epub 2010 Nov 20.
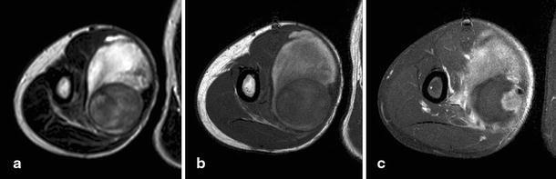
Pseuodaneurysms are an extremely rare complication of osteochondromas. We describe a case of traumatic pseudoaneurysm of the brachial artery presenting as a soft tissue mass in a patient who was treated for an osteochondroma 3 years earlier. This case demonstrates that radiographic follow-up of large osteochondromas is mandatory and that, in patients with soft tissue masses and a history of osteochondroma, pseudoaneurysms should be included in the differential diagnosis.
假性动脉瘤是软骨瘤的一种极罕见并发症。我们描述了一例创伤性肱动脉假性动脉瘤病例,该患者 3 年前因软骨瘤接受治疗,现表现为软组织肿块。该病例表明,对于大型软骨瘤必须进行放射影像学随访,如果患者有软组织肿块且有软骨瘤病史,则应将假性动脉瘤纳入鉴别诊断。