Ranjan Rahul, Bir Raunak, Gunasekaran Jayanthi, Yadav Vishwanath S, Gupta Rajiv M
Department of Microbiology, Employees' State Insurance Corporation (ESIC) Medical College and Hospital, Faridabad, IND.
Cureus. 2024 Jan 10;16(1):e52071. doi: 10.7759/cureus.52071. eCollection 2024 Jan.
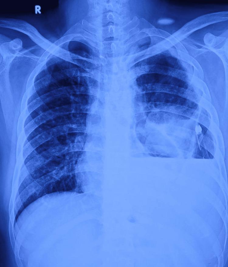
Nocardiosis is known as an opportunistic infection in immunocompromised hosts. We present to you a case of pleural nocardiosis in a 38-year-old male patient who was a chronic smoker and presented with a left-sided pleural effusion. He was a known case of thrombocytopenia due to immune thrombocytopenia (ITP) and was on steroid therapy. On admission, he was found to be positive for HIV. Pleural fluid was sent to microbiology, where acid-fast staining with 1% sulfuric acid (HSO)showed acid-fast branching filamentous rods and cultures grew which was resistant to ampicillin, ceftriaxone, imipenem, cotrimoxazole, erythromycin, tetracycline, and susceptible to amikacin, linezolid, and levofloxacin. The isolate was identified as using 16S rRNA gene sequencing. Culture from the chest wall drain grew and Subsequently, the patient developed sepsis, and paired blood cultures grew . Unfortunately, the patient could not survive despite aggressive efforts and died after 40 days of admission.
诺卡菌病在免疫功能低下的宿主中被认为是一种机会性感染。我们向您介绍一例38岁男性胸膜诺卡菌病病例,该患者为慢性吸烟者,表现为左侧胸腔积液。他因免疫性血小板减少症(ITP)导致血小板减少,正在接受类固醇治疗。入院时,发现他的HIV检测呈阳性。胸腔积液被送去做微生物检查,用1%硫酸(HSO)进行抗酸染色显示抗酸分支丝状杆菌,培养物生长,对氨苄西林、头孢曲松、亚胺培南、复方新诺明、红霉素、四环素耐药,对阿米卡星、利奈唑胺和左氧氟沙星敏感。通过16S rRNA基因测序将分离株鉴定为 。胸壁引流管培养物生长出 ,随后,患者发生败血症,配对血培养生长出 。不幸的是,尽管进行了积极的治疗,患者仍未能存活,入院40天后死亡。