Suppr超能文献

基于肠道微生物群三甲胺 N-氧化物代谢途径的补脾清阴火升阳汤对 2 型糖尿病大血管病变的疗效

Efficacy of Spleen-and-Stomach-Tonifying, Yin-Fire-Purging, and Yang-Raising Decoction Derived from the Trimethylamine N-Oxide Metabolic Pathway of Intestinal Microbiota on Macrovascular Lesions Caused by Type 2 Diabetes Mellitus.

作者信息

Yue Yue, Cui Han-Bo, Chu Yue-Jie, Zheng Gui-Ling

机构信息

Department of Endocrinology, The 983 Hospital of the Joint Logistics Force of the Chinese People's Liberation Army, Tianjin, People's Republic of China.

Department of Diabetes, Tianjin Academy of Traditional Chinese Medicine Affiliated Hospital, Tianjin, People's Republic of China.

出版信息

Diabetes Metab Syndr Obes. 2024 Feb 7;17:585-596. doi: 10.2147/DMSO.S431435. eCollection 2024.

Abstract

OBJECTIVE

We aimed to analyze the mechanisms underlying spleen-and-stomach-tonifying, yin-fire-purging, and yang-raising decoction derived from the trimethylamine N-oxide (TMAO) metabolic pathway of intestinal microbiota in the treatment of macrovascular lesions caused by type 2 diabetes mellitus (T2DM).

METHODS

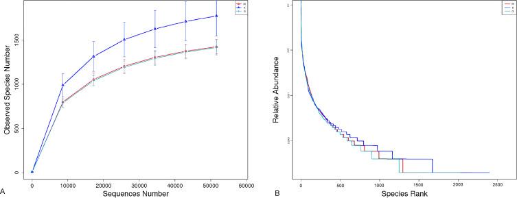
Hartley-guinea pigs were randomly divided into 3 groups-the blank, model, and intervention groups. The T2DM combined with atherosclerosis guinea pig models were established in the model and intervention groups. After successful modeling, spleen-and-stomach-tonifying, yin-fire-purging, and yang-raising decoction were administered intragastrically to the intervention group, while the same volume of normal saline was administered via gavage to the blank and model groups. After 6 weeks of continuous gavage, guinea pigs were sacrificed in all groups, the colon contents were obtained, and the diversity and structural differences of intestinal microbiota were analyzed via bioinformatics. Serum was collected to detect differences in lipids, TMAO, oxidative stress, and inflammation markers between groups.

RESULTS

Compared to the blank group, the species diversity of the intestinal microbiota in the model and intervention groups was significantly reduced. Based on the results of Analysis of Similarities and Multiple Response Permutation Procedure, the microbiota structure of the intervention group was closer to that of the blank group. After modeling, the blood lipid levels of guinea pigs increased significantly, and drug intervention significantly reduced the levels of TC, TG, and LDL-C ( < 0.05). TMAO expression was significantly increased after modeling ( < 0.05), while drug intervention reduced TMAO expression ( < 0.05). Compared to the model group, drug intervention significantly increased the concentrations of SOD while decreasing the concentrations of MDA, ICAM-1, VCAM-1, IL-6, and hs-CRP.

CONCLUSION

Spleen-and-stomach-tonifying, yin-fire-purging, and yang-raising decoction can reduce the risk of macrovascular lesions in T2DM, and its mechanism may be associated with its ability to regulate the TMAO metabolic pathway of intestinal microbiota.

摘要

目的

我们旨在分析从肠道微生物群的氧化三甲胺(TMAO)代谢途径衍生而来的补脾健胃、清泻阴火、升阳汤治疗2型糖尿病(T2DM)所致大血管病变的潜在机制。

方法

将Hartley豚鼠随机分为3组——空白组、模型组和干预组。在模型组和干预组中建立T2DM合并动脉粥样硬化豚鼠模型。建模成功后,对干预组豚鼠灌胃给予补脾健胃、清泻阴火、升阳汤,而对空白组和模型组豚鼠灌胃给予相同体积的生理盐水。连续灌胃6周后,处死所有组别的豚鼠,获取结肠内容物,并通过生物信息学分析肠道微生物群的多样性和结构差异。收集血清以检测各组之间脂质、TMAO、氧化应激和炎症标志物的差异。

结果

与空白组相比,模型组和干预组肠道微生物群的物种多样性显著降低。基于相似性分析和多重响应置换程序的结果,干预组的微生物群结构更接近空白组。建模后,豚鼠的血脂水平显著升高,药物干预显著降低了总胆固醇(TC)、甘油三酯(TG)和低密度脂蛋白胆固醇(LDL-C)水平(P<0.05)。建模后TMAO表达显著增加(P<0.05),而药物干预降低了TMAO表达(P<0.05)。与模型组相比,药物干预显著增加了超氧化物歧化酶(SOD)的浓度,同时降低了丙二醛(MDA)、细胞间黏附分子-1(ICAM-1)、血管细胞黏附分子-1(VCAM-1)、白细胞介素-6(IL-6)和高敏C反应蛋白(hs-CRP)的浓度。

结论

补脾健胃、清泻阴火、升阳汤可降低T2DM大血管病变的风险,其机制可能与其调节肠道微生物群TMAO代谢途径的能力有关。

https://cdn.ncbi.nlm.nih.gov/pmc/blobs/c81f/10859761/21e7738d0737/DMSO-17-585-g0001.jpg

文献AI研究员

20分钟写一篇综述,助力文献阅读效率提升50倍。

立即体验

用中文搜PubMed

大模型驱动的PubMed中文搜索引擎

马上搜索

文档翻译

学术文献翻译模型,支持多种主流文档格式。

立即体验