Suppr超能文献

利用治疗前弥散加权成像进行局部晚期直肠癌放疗剂量递增:一项计划研究。

Radiotherapy dose escalation using pre-treatment diffusion-weighted imaging in locally advanced rectal cancer: a planning study.

作者信息

Hearn Nathan, Leppien Alexandria, O'Connor Patrick, Cahill Katelyn, Atwell Daisy, Vignarajah Dinesh, Min Myo

机构信息

Department of Medical Imaging, Sunshine Coast University Hospital, Birtinya, QLD 4575, Australia.

Thompson Institute, University of the Sunshine Coast, Birtinya, QLD 4575, Australia.

出版信息

BJR Open. 2023 Dec 12;6(1):tzad001. doi: 10.1093/bjro/tzad001. eCollection 2024 Jan.

Abstract

OBJECTIVES

Diffusion-weighted MRI (DWI) may provide biologically relevant target volumes for dose-escalated radiotherapy in locally advanced rectal cancer (LARC). This planning study assessed the dosimetric feasibility of delivering hypofractionated boost treatment to intra-tumoural regions of restricted diffusion prior to conventional long-course radiotherapy.

METHODS

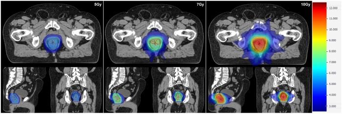
Ten patients previously treated with curative-intent standard long-course radiotherapy (50 Gy/25#) were re-planned. Boost target volumes () were delineated semi-automatically using 40th centile intra-tumoural apparent diffusion coefficient value with expansions (anteroposterior 11 mm, transverse 7 mm, craniocaudal 13 mm). Biased-dosed combined plans consisted of a single-fraction volumetric modulated arc therapy flattening-filter-free (VMAT-FFF) boost (phase 1) of 5, 7, or 10 Gy before long-course VMAT (phase 2). Phase 1 plans were assessed with reference to stereotactic conformality and deliverability measures. Combined plans were evaluated with reference to standard long-course therapy dose constraints.

RESULTS

Phase 1 BTV dose targets at 5/7/10 Gy were met in all instances. Conformality constraints were met with only 1 minor violation at 5 and 7 Gy. All phase 1 and combined phase 1 + 2 plans passed patient-specific quality assurance. Combined phase 1 + 2 plans generally met organ-at-risk dose constraints. Exceptions included high-dose spillage to bladder and large bowel, predominantly in cases where previously administered, clinically acceptable non-boosted plans also could not meet constraints.

CONCLUSIONS

Targeted upfront LARC radiotherapy dose escalation to DWI-defined is feasible with appropriate patient selection and preparation.

ADVANCES IN KNOWLEDGE

This is the first study to evaluate the feasibility of DWI-targeted upfront radiotherapy boost in LARC. This work will inform an upcoming clinical feasibility study.

摘要

目的

扩散加权磁共振成像(DWI)可为局部晚期直肠癌(LARC)剂量递增放疗提供生物学相关靶区体积。本计划研究评估了在常规长疗程放疗前对扩散受限的肿瘤内区域进行大分割推量治疗的剂量学可行性。

方法

对10例先前接受根治性标准长疗程放疗(50 Gy/25次)的患者重新进行计划制定。使用肿瘤内第40百分位数表观扩散系数值并进行扩展(前后方向11 mm、横向7 mm、头脚方向13 mm)半自动勾画推量靶区体积()。有偏剂量联合计划包括在长疗程容积调强弧形放疗(VMAT)(阶段2)之前进行单次分割的容积调强弧形放疗无均整器(VMAT-FFF)推量(阶段1),剂量为5、7或10 Gy。参照立体定向适形性和可交付性指标评估阶段1计划。参照标准长疗程治疗剂量限制评估联合计划。

结果

所有情况下均达到了5/7/10 Gy的阶段1大体肿瘤体积(GTV)剂量目标。仅在5 Gy和7 Gy时出现1次轻微违反适形性限制的情况。所有阶段1计划以及联合阶段1 + 2计划均通过了患者特异性质量保证。联合阶段1 + 2计划总体上符合危及器官剂量限制。例外情况包括高剂量溢出至膀胱和大肠,主要发生在先前给予的临床可接受的非推量计划也无法满足限制的病例中。

结论

通过适当的患者选择和准备,对LARC进行靶向的 upfront放疗剂量递增至DWI定义的靶区是可行的。

知识进展

这是第一项评估DWI靶向 upfront放疗推量在LARC中可行性的研究。这项工作将为即将开展的临床可行性研究提供参考。

https://cdn.ncbi.nlm.nih.gov/pmc/blobs/d1e1/10860507/453f30d3638f/tzad001f1.jpg

文献检索

告别复杂PubMed语法,用中文像聊天一样搜索,搜遍4000万医学文献。AI智能推荐,让科研检索更轻松。

立即免费搜索

文件翻译

保留排版,准确专业,支持PDF/Word/PPT等文件格式,支持 12+语言互译。

免费翻译文档

深度研究

AI帮你快速写综述,25分钟生成高质量综述,智能提取关键信息,辅助科研写作。

立即免费体验