Suppr超能文献

微小染色体维持蛋白复合物(MCU)通过转录因子EB(TFEB)介导的自噬激活p38,从而促进胶质瘤细胞的迁移。

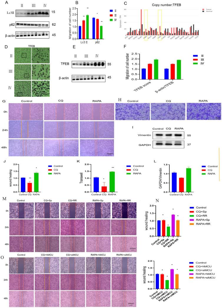
MCU promotes the migration of glioma cells by activating p38 through TFEB-mediated autophagy.

作者信息

Chen Jialong, Lu Renjian, Peng Yongming, Lai Yixi, Cai ZiWei, Zheng Dongyan, Xie Ailan, Huang Kailun, Liang Congmin, Zhang He

机构信息

Dongguan Key Laboratory of Environmental Medicine, The First Dongguan Affiliated Hospital, School of Public Health, Guangdong Medical University, Dongguan, 523808.

出版信息

J Cancer. 2024 Jan 12;15(5):1257-1270. doi: 10.7150/jca.89485. eCollection 2024.

Abstract

Changes in calcium signalling are crucial for the development of glioma cells. Whether mitochondrial calcium balance is involved in glial cell development is still unknown. Mitochondrial Calcium Uniporter (MCU) plays an important role in regulating glioma progression. In this work, we found that MCU and p38 expression were positively correlated with glioma grade and the degree tumour progression. MCU increases glioma cell migration by upregulating p38. Furthermore, p38 promotes glioma progression by activating Transcription Factor EB (TFEB)-mediated autophagy. Thus, MCU promotes glioma cell migration by activating autophagy in a p38/TFEB pathway-dependent manner, which provides a theoretical basis for new therapeutic targets for gliomas.

摘要

钙信号变化对胶质瘤细胞的发展至关重要。线粒体钙平衡是否参与神经胶质细胞发育仍不清楚。线粒体钙单向转运体(MCU)在调节胶质瘤进展中起重要作用。在这项研究中,我们发现MCU和p38表达与胶质瘤分级及肿瘤进展程度呈正相关。MCU通过上调p38来增加胶质瘤细胞迁移。此外,p38通过激活转录因子EB(TFEB)介导的自噬促进胶质瘤进展。因此,MCU通过以p38/TFEB途径依赖的方式激活自噬来促进胶质瘤细胞迁移,这为胶质瘤新治疗靶点提供了理论依据。

https://cdn.ncbi.nlm.nih.gov/pmc/blobs/b92b/10861810/889b2a6c8908/jcav15p1257g001.jpg

文献检索

告别复杂PubMed语法,用中文像聊天一样搜索,搜遍4000万医学文献。AI智能推荐,让科研检索更轻松。

立即免费搜索

文件翻译

保留排版,准确专业,支持PDF/Word/PPT等文件格式,支持 12+语言互译。

免费翻译文档

深度研究

AI帮你快速写综述,25分钟生成高质量综述,智能提取关键信息,辅助科研写作。

立即免费体验