Suppr超能文献

令人困惑的乳头状瘤:一例模仿脓肿的导管内乳头状瘤病例

Puzzling Papillomas: A Case of an Intraductal Papilloma Mimicking an Abscess.

作者信息

Patil Siya, Chen Christine

机构信息

Department of Diagnostic, Molecular and Interventional Radiology, Mount Sinai Medical Center, New York, USA.

出版信息

Cureus. 2024 Jan 16;16(1):e52393. doi: 10.7759/cureus.52393. eCollection 2024 Jan.

Abstract

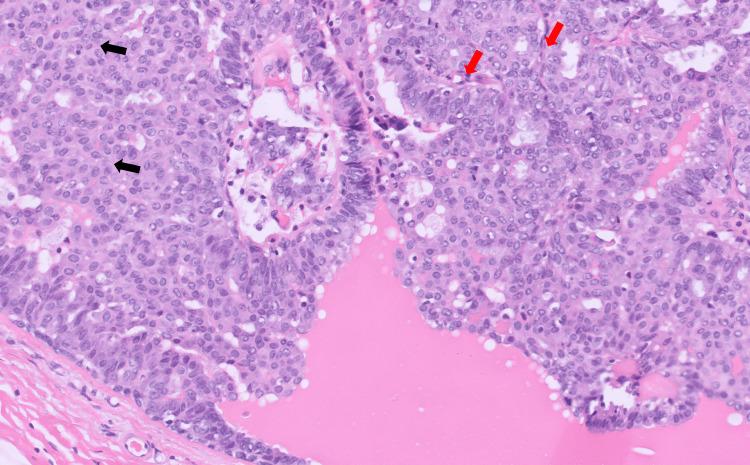
Intraductal papillomas (IDPs) are benign tumors found within breast ducts. Clinicians should be familiar with IDPs given their association with atypical and neoplastic lesions. In our case, the patient was initially diagnosed with and treated for an abscess given clinical symptoms of breast pain, erythema, and swelling, but upon returning to the clinic a year later due to persistent symptoms, she was found to have an IDP. This case underscores the importance of atypical imaging features and close follow-up when evaluating breast lesions.

摘要

导管内乳头状瘤(IDP)是在乳腺导管内发现的良性肿瘤。鉴于其与非典型性和肿瘤性病变的关联,临床医生应熟悉IDP。在我们的病例中,患者最初因乳房疼痛、红斑和肿胀等临床症状被诊断为脓肿并接受治疗,但一年后因症状持续回到诊所时,发现患有IDP。该病例强调了评估乳腺病变时非典型影像学特征和密切随访的重要性。

https://cdn.ncbi.nlm.nih.gov/pmc/blobs/b9e4/10869130/897cb980c2bb/cureus-0016-00000052393-i01.jpg

文献AI研究员

20分钟写一篇综述,助力文献阅读效率提升50倍。

立即体验

用中文搜PubMed

大模型驱动的PubMed中文搜索引擎

马上搜索

文档翻译

学术文献翻译模型,支持多种主流文档格式。

立即体验