Suppr超能文献

一例罕见的宫颈管妊娠及其成功治疗:病例报告与文献复习

A Rare Case of Ectocervical Pregnancy and Its Successful Management: A Case Report and Review of the Literature.

作者信息

Ray Alokananda, Kumari Sarita, Lal Pooja

机构信息

Obstetrics and Gynaecology, Tata Main Hospital, Jamshedpur, IND.

出版信息

Cureus. 2024 Jan 16;16(1):e52388. doi: 10.7759/cureus.52388. eCollection 2024 Jan.

Abstract

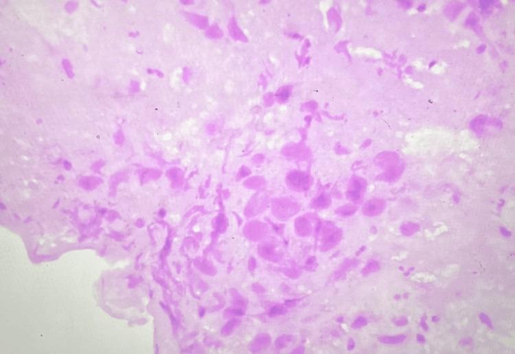
Cervical pregnancy is a very rare form of ectopic pregnancy, which can be life-threatening due to the potential risk of massive haemorrhage. The most likely site of cervical implantation is within the endocervical canal. We report here an unusual and another possible site of cervical pregnancy on the surface of the ectocervix (portio). The patient presented with vaginal bleeding after a period of six weeks of amenorrhea and a positive urinary pregnancy test. Clinical examination was suggestive of a cervical mass on the surface of the portio, which was successfully managed by local excision and the application of haemostatic sutures. Histopathology of the mass was suggestive of trophoblasts amidst cervical epithelium and stroma, which was cytokeratin positive in immunohistochemical staining, confirming the diagnosis of cervical ectopic pregnancy on the portio. Postoperatively, the patient recovered well and beta-human chorionic gonadotropin (βhCG) normalised within two weeks. Thus, the surface of the ectocervix is another possible site of cervical pregnancy, which can be successfully managed by total excision of the ectopic mass and local haemostatic measures.

摘要

宫颈妊娠是一种非常罕见的异位妊娠形式,由于存在大量出血的潜在风险,可能会危及生命。宫颈植入最可能的部位是宫颈管内。我们在此报告一例不寻常的宫颈妊娠,其着床部位在宫颈外口(宫颈阴道部)表面,这是另一个可能的着床部位。该患者停经六周后出现阴道出血,尿妊娠试验呈阳性。临床检查提示宫颈阴道部表面有一宫颈肿物,通过局部切除及应用止血缝线成功处理。肿物的组织病理学检查显示在宫颈上皮和间质中有滋养层细胞,免疫组化染色中细胞角蛋白呈阳性,证实为宫颈阴道部异位妊娠。术后,患者恢复良好,β-人绒毛膜促性腺激素(βhCG)在两周内恢复正常。因此,宫颈外口表面是宫颈妊娠的另一个可能部位,通过异位肿物的完全切除及局部止血措施可成功处理。

https://cdn.ncbi.nlm.nih.gov/pmc/blobs/4698/10868712/7ad4cf7760de/cureus-0016-00000052388-i01.jpg

文献AI研究员

20分钟写一篇综述,助力文献阅读效率提升50倍。

立即体验

用中文搜PubMed

大模型驱动的PubMed中文搜索引擎

马上搜索

文档翻译

学术文献翻译模型,支持多种主流文档格式。

立即体验