Suppr超能文献

嗜酸性膀胱炎的误诊:病例报告及文献复习。

Misdiagnosis of eosinophilic cystitis: A case report and literature review.

机构信息

Department of Urology, Fenggang County People's Hospital, Fenggang, Guizhou, China.

Department of Surgery, Guizhou Orthopaedic Hospital, Guiyang, Guizhou, China.

出版信息

Medicine (Baltimore). 2024 Feb 16;103(7):e36668. doi: 10.1097/MD.0000000000036668.

Abstract

RATIONALE

Eosinophilic cystitis (EC) is a rare and specific transmural inflammatory disease in clinic. At present, its etiology is unknown, its clinical manifestations are diverse, and its auxiliary examination lacks specificity, so it is easy to be missed or misdiagnosed in clinical practice.

PATIENT CONCERNS

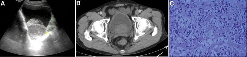
A 72-year-old male patient with symptoms of lower urinary tract obstruction accompanied by hematuria was diagnosed with benign prostatic hyperplasia with bleeding by B-ultrasound and urinary CT examination. After being treated with catheterization, anti-infection and hemostasis, he was selectively treated with transurethral resection of prostate, but he saw a pattern mass on the right back wall of the bladder during the operation. Considering bladder tumor, he removed the lesion and gave pirarubicin for bladder perfusion. However, the postoperative pathological result was EC.

DIAGNOSIS

The diagnosis of EC can only rely on pathological examination, and the accurate and positive rate of biopsy can be improved by obtaining muscle tissue as much as possible at the same time of multi-point biopsy.

INTERVENTION

Prednisone and cetirizine were given orally after transurethral resection of lesions, and tamsulosin and finasteride were given regularly to treat benign prostatic hyperplasia.

OUTCOMES

No recurrence and abnormal urination were found during the follow-up for half a year, and the upper urinary tract function was normal.

LESSONS

The clinical manifestations of EC are atypical, the laboratory examination and imaging examination are not specific, and it is difficult to make a definite diagnosis before operation. The diagnosis depends on pathological examination. Transurethral resection of the lesion can obviously improve the positive rate of biopsy while completely removing the lesion, and the combined drug treatment can achieve satisfactory results in a short period of time. Active follow-up after operation is very important to identify the recurrence of the disease and prevent the upper urinary tract function from being damaged.

摘要

背景

嗜酸性膀胱炎(EC)是一种罕见的、特定于黏膜下的临床炎症性疾病。目前,其病因不明,临床表现多样,辅助检查缺乏特异性,因此在临床实践中容易被忽视或误诊。

患者关注

一名 72 岁男性患者,以下尿路梗阻伴血尿为主要表现,经超声和尿 CT 检查诊断为良性前列腺增生伴出血。经导尿、抗感染、止血等治疗后,行经尿道前列腺电切术,术中见膀胱右侧壁有占位性病变,考虑膀胱肿瘤,遂行病变切除术,并给予吡柔比星膀胱灌注。但术后病理结果为 EC。

诊断

EC 的诊断只能依靠病理检查,多点活检时尽可能获取肌组织可提高诊断的准确性和阳性率。

干预

经尿道切除病灶后给予泼尼松和西替利嗪口服,同时规律给予坦索罗辛和非那雄胺治疗良性前列腺增生。

结果

随访半年未见复发及异常排尿,上尿路功能正常。

教训

EC 的临床表现不典型,实验室检查和影像学检查均不具有特异性,术前难以明确诊断。诊断依赖于病理检查。经尿道切除病灶可在完全切除病灶的同时明显提高活检的阳性率,联合药物治疗可在短期内取得满意的效果。术后积极随访对于识别疾病复发和防止上尿路功能受损非常重要。

https://cdn.ncbi.nlm.nih.gov/pmc/blobs/490b/10869055/c5298310b2cd/medi-103-e36668-g001.jpg

文献AI研究员

20分钟写一篇综述,助力文献阅读效率提升50倍。

立即体验

用中文搜PubMed

大模型驱动的PubMed中文搜索引擎

马上搜索

文档翻译

学术文献翻译模型,支持多种主流文档格式。

立即体验