Huang Zizhen, Zou Shiwei, Liu Qian, Qi Wanling, Sharma Amit, Wang Yulu, Jin Aifang, Schmidt-Wolf Ingo G H, Lu Ping, Ai Wuping, Liao Fengxiang
Sterilization and Supply Center, Jiangxi Provincial People's Hospital, The First Affiliated Hospital of Nanchang Medical College, Nanchang, China.
Department of Ultrasound Medicine, Dongxiang District Hospital of Traditional Chinese Medicine, Fuzhou, China.
Front Med (Lausanne). 2024 Feb 2;11:1353466. doi: 10.3389/fmed.2024.1353466. eCollection 2024.
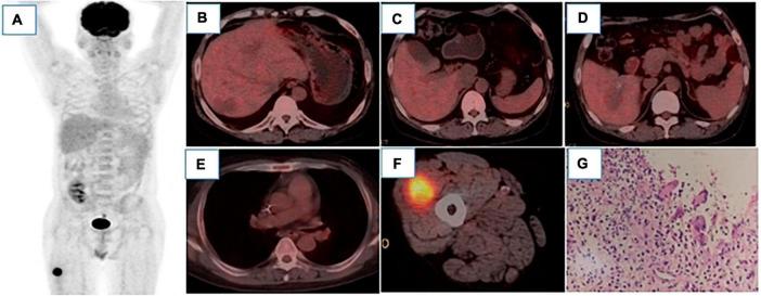
Renal transplantation is undoubtedly an effective treatment for patients with end-stage renal disease, but it is certainly not a cure. Patients require lifelong immunosuppression to maintain optimal allograft function, and post-operative risk complications such as cancer in the transplant recipient cannot be ignored. Besides, infection is a silent complication that follows transplantation. Relatedly, herein, we present a report of a 40-year-old patient who underwent renal transplantation and promptly developed a diffuse large B-cell tumor in the liver and Aspergillus infection in the trachea. In addition, an inflammatory necrotizing granuloma was also observed in the muscles. Of importance, we also described the potential of 18F-FDG-PET/CT, which was instrumental in monitoring and evaluating these relevant post-operative complications in this rare case.
肾移植无疑是终末期肾病患者的一种有效治疗方法,但它肯定不是一种治愈方法。患者需要终身免疫抑制以维持最佳的移植肾功能,并且移植受者术后的风险并发症,如癌症,不容忽视。此外,感染是移植后出现的一种隐匿性并发症。与此相关的是,在此我们报告一名40岁接受肾移植的患者,其肝脏迅速出现弥漫性大B细胞肿瘤,气管出现曲霉菌感染。此外,在肌肉中还观察到炎性坏死性肉芽肿。重要的是,我们还描述了18F-FDG-PET/CT的作用,它有助于监测和评估这一罕见病例中的这些相关术后并发症。