Department of Urology, Drum Tower Hospital, Medical School of Nanjing University, Institute of Urology, Nanjing University, China.
Department of Urology, The Third Affiliated Hospital of Kunming Medical University, Tumor Hospital of Yunnan Province, Kunming, China.
Int J Biol Sci. 2024 Jan 27;20(4):1297-1313. doi: 10.7150/ijbs.91925. eCollection 2024.
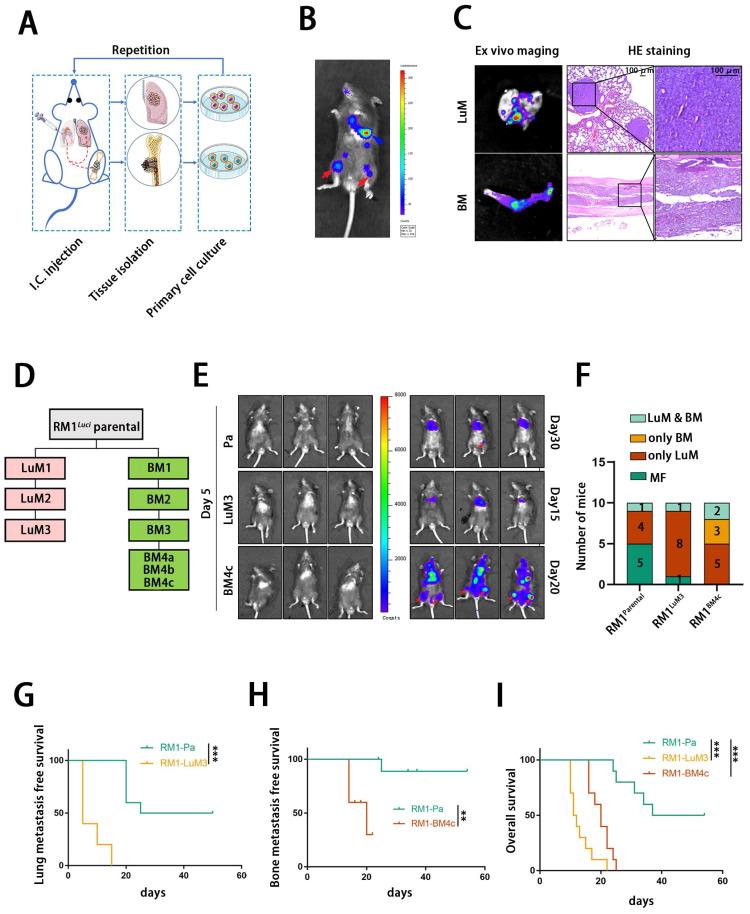
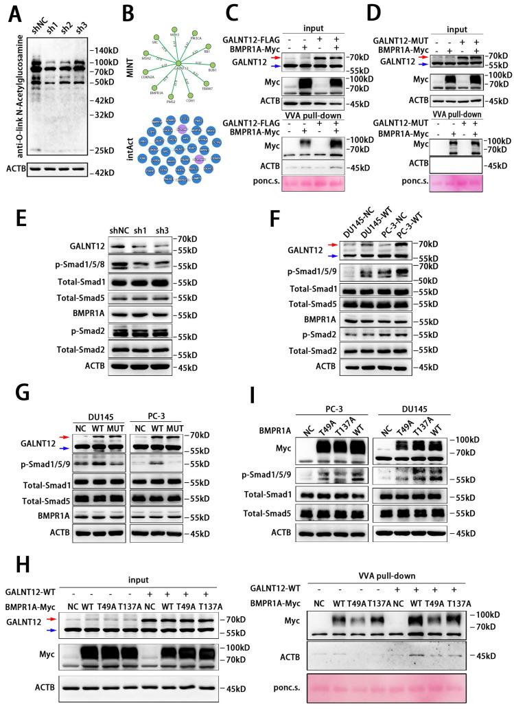
Bone metastasis caused the majority death of prostate cancer (PCa) but the mechanism remains poorly understood. In this present study, we show that polypeptide N-acetylgalactosaminyltransferase 12 (GALNT12) suppresses bone-specific metastasis of PCa. GALNT12 suppresses proliferation, migration, invasion and cell division ability of PCa cells by activating the BMP pathway. Mechanistic investigations showed that GALNT12 augments the O-glycosylation of BMPR1A then actives the BMP pathway. Activated BMP signaling inhibits the expression of integrin αVβ3 to reduce the bone-specific seeding of PCa cells. Furthermore, activated BMP signaling remolds the immune microenvironment by suppressing the STAT3 pathway. Our results of this study illustrate the role and mechanism of GALNT12 in the process of bone metastasis of PCa and identify GALNT12 as a potential therapeutic target for metastatic PCa.
骨转移导致大多数前列腺癌(PCa)患者死亡,但发病机制仍不清楚。在本研究中,我们发现多肽 N-乙酰半乳糖胺转移酶 12(GALNT12)可抑制 PCa 的骨特异性转移。GALNT12 通过激活 BMP 通路抑制 PCa 细胞的增殖、迁移、侵袭和细胞分裂能力。机制研究表明,GALNT12 增强了 BMPR1A 的 O-糖基化,从而激活了 BMP 通路。激活的 BMP 信号抑制整合素 αVβ3 的表达,从而减少 PCa 细胞在骨内的定植。此外,激活的 BMP 信号通过抑制 STAT3 通路重塑免疫微环境。本研究结果阐明了 GALNT12 在 PCa 骨转移过程中的作用和机制,并将 GALNT12 鉴定为转移性 PCa 的潜在治疗靶点。