• 文献检索
  • 文档翻译
  • 深度研究
  • 学术资讯
  • Suppr Zotero 插件Zotero 插件
  • 邀请有礼
  • 套餐&价格
  • 历史记录
应用&插件
Suppr Zotero 插件Zotero 插件浏览器插件Mac 客户端Windows 客户端微信小程序
定价
高级版会员购买积分包购买API积分包
服务
文献检索文档翻译深度研究API 文档MCP 服务
关于我们
关于 Suppr公司介绍联系我们用户协议隐私条款
关注我们

Suppr 超能文献

核心技术专利:CN118964589B侵权必究
粤ICP备2023148730 号-1Suppr @ 2026

文献检索

告别复杂PubMed语法,用中文像聊天一样搜索,搜遍4000万医学文献。AI智能推荐,让科研检索更轻松。

立即免费搜索

文件翻译

保留排版,准确专业,支持PDF/Word/PPT等文件格式,支持 12+语言互译。

免费翻译文档

深度研究

AI帮你快速写综述,25分钟生成高质量综述,智能提取关键信息,辅助科研写作。

立即免费体验

西罗莫司预处理的间充质干细胞植入对大鼠糖尿病视网膜病变的有益作用

Beneficial Effect of Sirolimus-Pretreated Mesenchymal Stem Cell Implantation on Diabetic Retinopathy in Rats.

作者信息

Kang Nanyoung, Jung Ji Seung, Hwang Jiyi, Park Sang-Eun, Kwon Myeongjee, Yoon Haerin, Yong Jungyeon, Woo Heung-Myong, Park Kyung-Mee

机构信息

Laboratory of Veterinary Ophthalmology, College of Veterinary Medicine, Chungbuk National University, Cheongju 28644, Republic of Korea.

Laboratory of Veterinary Surgery, College of Veterinary Medicine, Kangwon National University, Chuncheon 24341, Republic of Korea.

出版信息

Biomedicines. 2024 Feb 7;12(2):383. doi: 10.3390/biomedicines12020383.

DOI:10.3390/biomedicines12020383
PMID:38397985
原文链接:https://pmc.ncbi.nlm.nih.gov/articles/PMC10886997/
Abstract

BACKGROUND

Diabetic retinopathy (DR) is a vision-threatening complication that affects virtually all diabetic patients. Various treatments have been attempted, but they have many side effects and limitations. Alternatively, stem cell therapy is being actively researched, but it faces challenges due to a low cell survival rate. In this study, stem cells were pretreated with sirolimus, which is known to promote cell differentiation and enhance the survival rate. Additionally, the subconjunctival route was employed to reduce complications following intravitreal injections.

METHODS

Diabetes mellitus was induced by intraperitoneal injection of 55 mg/kg of streptozotocin (STZ), and DR was confirmed at 10 weeks after DM induction through electroretinogram (ERG). The rats were divided into four groups: intact control group (INT), diabetic retinopathy group (DR), DR group with subconjunctival MSC injection (DR-MSC), and DR group with subconjunctival sirolimus-pretreated MSC injection (DR-MSC-S). The effects of transplantation were evaluated using ERG and histological examinations.

RESULTS

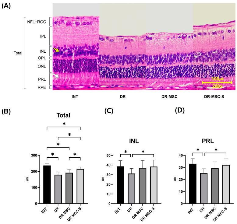
The ERG results showed that the DR-MSC-S group did not significantly differ from the INT in b-wave amplitude and exhibited significantly higher values than the DR-MSC and DR groups ( < 0.01). The flicker amplitude results showed that the DR-MSC and DR-MSC-S groups had significantly higher values than the DR group ( < 0.01). Histological examination revealed that the retinal layers were thinner in the DR-induced groups compared to the INT group, with the DR-MSC-S group showing the thickest retinal layers among them.

CONCLUSIONS

Subconjunctival injection of sirolimus-pretreated MSCs can enhance retinal function and mitigate histological changes in the STZ-induced DR rat model.

摘要

背景

糖尿病视网膜病变(DR)是一种威胁视力的并发症,几乎影响所有糖尿病患者。人们尝试了各种治疗方法,但它们有许多副作用和局限性。另外,干细胞疗法正在积极研究中,但由于细胞存活率低而面临挑战。在本研究中,干细胞用西罗莫司预处理,已知西罗莫司可促进细胞分化并提高存活率。此外,采用结膜下途径以减少玻璃体内注射后的并发症。

方法

通过腹腔注射55mg/kg链脲佐菌素(STZ)诱导糖尿病,在糖尿病诱导后10周通过视网膜电图(ERG)确认DR。将大鼠分为四组:完整对照组(INT)、糖尿病视网膜病变组(DR)、结膜下注射间充质干细胞的DR组(DR-MSC)和结膜下注射西罗莫司预处理间充质干细胞的DR组(DR-MSC-S)。使用ERG和组织学检查评估移植效果。

结果

ERG结果显示,DR-MSC-S组的b波振幅与INT组无显著差异,且显著高于DR-MSC组和DR组(<0.01)。闪烁振幅结果显示,DR-MSC组和DR-MSC-S组的值显著高于DR组(<0.01)。组织学检查显示,与INT组相比,DR诱导组的视网膜层更薄,其中DR-MSC-S组的视网膜层最厚。

结论

结膜下注射西罗莫司预处理的间充质干细胞可增强STZ诱导的DR大鼠模型的视网膜功能并减轻组织学变化。

https://cdn.ncbi.nlm.nih.gov/pmc/blobs/a5a7/10886997/7d84080aa9bf/biomedicines-12-00383-g004.jpg
https://cdn.ncbi.nlm.nih.gov/pmc/blobs/a5a7/10886997/4bebae4e42cb/biomedicines-12-00383-g001.jpg
https://cdn.ncbi.nlm.nih.gov/pmc/blobs/a5a7/10886997/a7dc10a6795f/biomedicines-12-00383-g002.jpg
https://cdn.ncbi.nlm.nih.gov/pmc/blobs/a5a7/10886997/8db68722341c/biomedicines-12-00383-g003a.jpg
https://cdn.ncbi.nlm.nih.gov/pmc/blobs/a5a7/10886997/7d84080aa9bf/biomedicines-12-00383-g004.jpg
https://cdn.ncbi.nlm.nih.gov/pmc/blobs/a5a7/10886997/4bebae4e42cb/biomedicines-12-00383-g001.jpg
https://cdn.ncbi.nlm.nih.gov/pmc/blobs/a5a7/10886997/a7dc10a6795f/biomedicines-12-00383-g002.jpg
https://cdn.ncbi.nlm.nih.gov/pmc/blobs/a5a7/10886997/8db68722341c/biomedicines-12-00383-g003a.jpg
https://cdn.ncbi.nlm.nih.gov/pmc/blobs/a5a7/10886997/7d84080aa9bf/biomedicines-12-00383-g004.jpg

相似文献

1
Beneficial Effect of Sirolimus-Pretreated Mesenchymal Stem Cell Implantation on Diabetic Retinopathy in Rats.西罗莫司预处理的间充质干细胞植入对大鼠糖尿病视网膜病变的有益作用
Biomedicines. 2024 Feb 7;12(2):383. doi: 10.3390/biomedicines12020383.
2
[The protective effect of pigment epithelial-derived factor modified human umbilical cord mesenchymal stem cells on rats with diabetic retinopathy].色素上皮衍生因子修饰的人脐带间充质干细胞对糖尿病视网膜病变大鼠的保护作用
Zhonghua Yan Ke Za Zhi. 2017 Jul 11;53(7):540-547. doi: 10.3760/cma.j.issn.0412-4081.2017.07.013.
3
Mesenchymal stem cells-derived small extracellular vesicles alleviate diabetic retinopathy by delivering NEDD4.间充质干细胞衍生的小细胞外囊泡通过递送 NEDD4 缓解糖尿病视网膜病变。
Stem Cell Res Ther. 2022 Jul 15;13(1):293. doi: 10.1186/s13287-022-02983-0.
4
Preventive Effects of Exosome-Rich Conditioned Medium From Amniotic Membrane-Derived Mesenchymal Stem Cells for Diabetic Retinopathy in Rats.富含外泌体的羊膜间充质干细胞条件培养基对大鼠糖尿病视网膜病变的预防作用。
Transl Vis Sci Technol. 2023 Aug 1;12(8):18. doi: 10.1167/tvst.12.8.18.
5
Ectopic expression of insulin in a type 1 diabetic rat model by injection of manipulated mesenchymal stem cells with an insulin construct driven by a glucose-sensitive promoter in the port vein.通过门静脉注射携带由葡萄糖敏感启动子驱动的胰岛素构建体的经处理的间充质干细胞,在1型糖尿病大鼠模型中实现胰岛素的异位表达。
Cell Biochem Funct. 2023 Dec;41(8):1412-1421. doi: 10.1002/cbf.3876. Epub 2023 Oct 25.
6
[The protective effect of human umbilical cord mesenchymal stem cells-induced neural stem cells in the vitreous on the blood-retinal barrier in diabetic rats].[人脐带间充质干细胞诱导的神经干细胞玻璃体注射对糖尿病大鼠血视网膜屏障的保护作用]
Zhonghua Yan Ke Za Zhi. 2017 Jan 11;53(1):53-58. doi: 10.3760/cma.j.issn.0412-4081.2017.01.010.
7
[The protective effects on the function and structure of retinae in diabetic rats by intravitreal injection of cyclosporin A].玻璃体内注射环孢素A对糖尿病大鼠视网膜功能和结构的保护作用
Zhonghua Yan Ke Za Zhi. 2012 Jul;48(7):591-7.
8
Protection of exendin-4 analogue in early experimental diabetic retinopathy.艾塞那肽-4类似物对早期实验性糖尿病视网膜病变的保护作用
Graefes Arch Clin Exp Ophthalmol. 2009 May;247(5):699-706. doi: 10.1007/s00417-008-1004-3. Epub 2008 Dec 16.
9
Hypoxia preconditioning increases the ability of healthy but not diabetic rat-derived adipose stromal/stem cells (ASC) to improve histological lesions of streptozotocin-induced diabetic nephropathy.缺氧预处理可增强健康而非糖尿病大鼠来源的脂肪基质/干细胞(ASC)改善链脲佐菌素诱导的糖尿病肾病组织学损伤的能力。
Pathol Res Pract. 2022 Feb;230:153756. doi: 10.1016/j.prp.2021.153756. Epub 2021 Dec 31.
10
Intravitreal administration of multipotent mesenchymal stromal cells triggers a cytoprotective microenvironment in the retina of diabetic mice.玻璃体内注射多能间充质基质细胞可在糖尿病小鼠视网膜中触发细胞保护微环境。
Stem Cell Res Ther. 2016 Mar 16;7:42. doi: 10.1186/s13287-016-0299-y.

引用本文的文献

1
Potential therapeutic applications of stem cells in animal models of ocular affections.干细胞在眼部疾病动物模型中的潜在治疗应用。
Inflamm Regen. 2025 Jul 21;45(1):23. doi: 10.1186/s41232-025-00380-7.
2
Shared signaling pathways and comprehensive therapeutic approaches among diabetes complications.糖尿病并发症之间的共享信号通路及综合治疗方法。
Front Med (Lausanne). 2025 Jan 8;11:1497750. doi: 10.3389/fmed.2024.1497750. eCollection 2024.
3
Therapeutic Potential of Dimethyl Sulfoxide Subconjunctival Injection in a Diabetic Retinopathy Rat Model.

本文引用的文献

1
Tacrolimus Improves Therapeutic Efficacy of Umbilical Cord Blood-Derived Mesenchymal Stem Cells in Diabetic Retinopathy by Suppressing DRP1-Mediated Mitochondrial Fission.他克莫司通过抑制动力相关蛋白1(DRP1)介导的线粒体分裂提高脐带血间充质干细胞对糖尿病视网膜病变的治疗效果。
Antioxidants (Basel). 2023 Sep 6;12(9):1727. doi: 10.3390/antiox12091727.
2
Preventive Effects of Exosome-Rich Conditioned Medium From Amniotic Membrane-Derived Mesenchymal Stem Cells for Diabetic Retinopathy in Rats.富含外泌体的羊膜间充质干细胞条件培养基对大鼠糖尿病视网膜病变的预防作用。
Transl Vis Sci Technol. 2023 Aug 1;12(8):18. doi: 10.1167/tvst.12.8.18.
3
二甲亚砜结膜下注射在糖尿病视网膜病变大鼠模型中的治疗潜力
In Vivo. 2025 Jan-Feb;39(1):132-145. doi: 10.21873/invivo.13811.
Laser Treatment Modalities for Diabetic Retinopathy.
糖尿病视网膜病变的激光治疗方式
Cureus. 2022 Oct 7;14(10):e30024. doi: 10.7759/cureus.30024. eCollection 2022 Oct.
4
Therapeutic Effect of Rapamycin-Loaded Small Extracellular Vesicles Derived from Mesenchymal Stem Cells on Experimental Autoimmune Uveitis.雷帕霉素负载间充质干细胞来源的小细胞外囊泡对实验性自身免疫性葡萄膜炎的治疗作用。
Front Immunol. 2022 Mar 29;13:864956. doi: 10.3389/fimmu.2022.864956. eCollection 2022.
5
Review of Studies Comparing Panretinal Photocoagulation and Anti-Vascular Endothelial Growth Factor Therapy in the Treatment of Proliferative Diabetic Retinopathy.比较全视网膜光凝和抗血管内皮生长因子疗法治疗增殖性糖尿病视网膜病变的研究综述
Cureus. 2022 Feb 21;14(2):e22471. doi: 10.7759/cureus.22471. eCollection 2022 Feb.
6
Structure-Function Relationships in the Rodent Streptozotocin-Induced Model for Diabetic Retinopathy: A Systematic Review.啮齿动物链脲佐菌素诱导的糖尿病视网膜病变模型中的结构-功能关系:系统评价。
J Ocul Pharmacol Ther. 2022 May;38(4):271-286. doi: 10.1089/jop.2021.0128. Epub 2022 Mar 22.
7
IDF Diabetes Atlas: Global, regional and country-level diabetes prevalence estimates for 2021 and projections for 2045.国际糖尿病联盟(IDF)糖尿病地图集:2021 年全球、区域和国家糖尿病患病率估算值以及 2045 年预测值。
Diabetes Res Clin Pract. 2022 Jan;183:109119. doi: 10.1016/j.diabres.2021.109119. Epub 2021 Dec 6.
8
Sirolimus loaded chitosan functionalized poly (lactic-co-glycolic acid) (PLGA) nanoparticles for potential treatment of age-related macular degeneration.载西罗莫司的壳聚糖功能化聚(乳酸-共-乙醇酸)(PLGA)纳米粒用于年龄相关性黄斑变性的潜在治疗。
Int J Biol Macromol. 2021 Nov 30;191:548-559. doi: 10.1016/j.ijbiomac.2021.09.069. Epub 2021 Sep 16.
9
Animal models of diabetic retinopathy.糖尿病视网膜病变的动物模型。
Ann Transl Med. 2021 Aug;9(15):1272. doi: 10.21037/atm-20-6737.
10
Clinical electroretinography in diabetic retinopathy: a review.临床视网膜电图在糖尿病视网膜病变中的应用:综述。
Surv Ophthalmol. 2022 May-Jun;67(3):712-722. doi: 10.1016/j.survophthal.2021.08.011. Epub 2021 Sep 4.