Suppr超能文献

结石性胆囊炎中肠化生所致胆囊黏液囊肿:1例病例报告及罕见关联的文献综述

Gallbladder mucocele caused by intestinal metaplasia in lithiasic cholecystitis: A case report and literature review of a rare association.

作者信息

Poget Marion, Salvatori Chappuis Vilma, Carbó Descamps Francesc, Saadi Alend

机构信息

Children and Adolescent Surgery Service, Lausanne University Hospital, Rue du Bugnon 46, CH-1011 Lausanne, Switzerland.

ADMED Pathology, Neuchatel, Switzerland.

出版信息

Int J Surg Case Rep. 2024 Mar;116:109405. doi: 10.1016/j.ijscr.2024.109405. Epub 2024 Feb 23.

Abstract

INTRODUCTION

Mucin hypersecretion promoted by intestinal metaplasia can lead to gallstone formation. The presence of large amounts of mucin induced by a change in biliary epithelium structure is called a mucocele, a usually benign condition studied among animals but rarely described in humans. This entity must be distinguished from hydrops, a condition secondary to an impacted gallstone in the cystic duct leading to an outlet obstruction and distension of the gallbladder.

PRESENTATION OF CASE

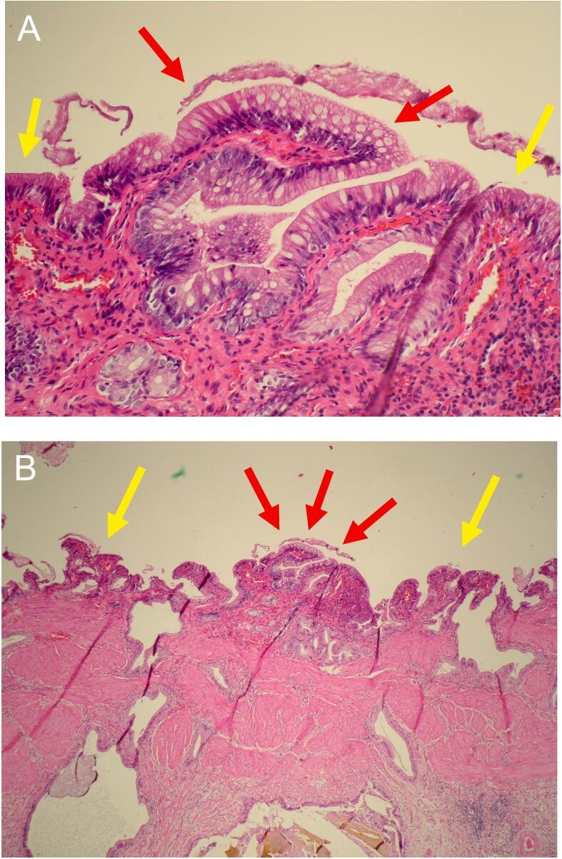
We report a case of a 51-year-old female with lithiasic cholecystitis showing areas of intestinal metaplasia associated with a mucocele. Laparoscopic cholecystectomy was performed with an uneventful postoperative course. Macroscopic findings revealed a dilated gallbladder filled with mucoid fluid. Signs of chronic and focally acute cholecystitis with areas of intestinal metaplasia were observed microscopically.

DISCUSSION

Lithiasic gallbladders can bear a gene that is found in goblet cells of intestinal metaplasia, leading to mucin hypersecretion. Metaplasia - a benign lesion often encountered on cholecystectomy specimens - can be the precursor of carcinoma. Mucin-producing gallbladder carcinoma is a very aggressive tumor that can appear as a mucocele. Consequently, preoperative computed tomography or magnetic resonance cholangiopancreatography should be performed in the presence of an unusual aspect on sonography.

CONCLUSION

Metaplastic changes in gallbladder epithelium associated with an overproduction of mucin and lithiasic cholecystitis reported in this case is a rarity. Malignancy is an alternative diagnosis of gallbladder mucocele that must be suspected whenever preoperative imaging of the gallbladder is atypical.

摘要

引言

肠化生促进的黏蛋白高分泌可导致胆结石形成。胆管上皮结构改变诱导大量黏蛋白的存在称为黏液囊肿,这是一种在动物中研究的通常为良性的病症,但在人类中很少描述。这种情况必须与积水相区分,积水是胆囊管内结石嵌顿导致出口梗阻和胆囊扩张的继发性病症。

病例介绍

我们报告一例51岁女性患有结石性胆囊炎,伴有与黏液囊肿相关的肠化生区域。行腹腔镜胆囊切除术,术后病程顺利。宏观检查发现胆囊扩张,充满黏液样液体。显微镜下观察到慢性和局灶性急性胆囊炎的迹象以及肠化生区域。

讨论

结石性胆囊可能携带在肠化生杯状细胞中发现的基因,导致黏蛋白高分泌。化生——胆囊切除标本中经常遇到的良性病变——可能是癌的前体。产生黏液的胆囊癌是一种非常侵袭性的肿瘤,可表现为黏液囊肿。因此,在超声检查出现异常表现时,应进行术前计算机断层扫描或磁共振胰胆管造影。

结论

本病例报告的胆囊上皮化生改变与黏蛋白过度产生和结石性胆囊炎相关是罕见的。恶性肿瘤是胆囊黏液囊肿的一种替代诊断,每当胆囊术前影像学检查不典型时都必须怀疑。

https://cdn.ncbi.nlm.nih.gov/pmc/blobs/d834/10943954/b218f46436cb/gr1.jpg

文献AI研究员

20分钟写一篇综述,助力文献阅读效率提升50倍。

立即体验

用中文搜PubMed

大模型驱动的PubMed中文搜索引擎

马上搜索

文档翻译

学术文献翻译模型,支持多种主流文档格式。

立即体验